上肢骨折

首页 >> 热点关注 >> 正文

CBL|漂浮锁骨

来源:骨科在线 编号 : #134505#
2019-02-08
我要评论

2019年春节期间,北京大学人民医院付中国教授携手团队特别推出CBL(Case-Based Learning)栏目,其初衷是研究临床常见病例,关注临床容易出现问题的病例,提升临床诊疗水平。

在首期推出的CBL课堂,我们将通过详细的文字说明、手绘的解剖图、病例影像图和术中关键步骤图解,为大家详解令很多同道头疼的一种复杂病例——由锁骨近端骨折合并锁骨远端骨折导致的漂浮锁骨。

锁骨近端骨折和锁骨远端骨折均有各自的治疗特点,各种固定材料都有长足的创新和发展,锁骨近端骨折脱位治疗困难相对更多,失败率较高,许多临床实践的医生深有感触。如果锁骨远近端同时骨折,病例更加复杂,治疗难度更大。

在同一锁骨上:

锁骨近端骨折+锁骨远端骨折=漂浮锁骨

一、损伤机制

(一)机制:肩部侧方受力或受重压(挤压)伴锁骨干扭转

1.锁骨受力:两个独立但相继发生的力

(1)向内的力作用于肩部外侧

(2)与锁骨干扭转相关的损伤

2.假设锁骨充当杠杆锚定于喙锁韧带(支点)

(1)首先:胸锁关节前脱位/前上方脱位/上方脱位

(2)然后:肩锁关节半脱位/锁骨远端骨折

(3)喙锁韧带作为支点:喙肩、斜方韧带可能不累及

(二)假定机制的示意图

1.F1和F2分别是作用力及反作用力

2.以锁骨下方的第一肋为支点

3.蓝色箭头表示移位方向

二、病例分享

以下是来自北大人民医院创伤骨科张晓萌医生的病例报告,通过张医生的治疗体会和文献查询及创伤编委的讨论认识,与同道分享收获。

(一)病情介绍

43岁男性,骑电动车时发生交通事故摔伤左肩及左胸

主动外展45°

主动前屈40°

查体:左胸壁后方压痛;左锁骨近端区域凸起,压痛(+),远端未见明显畸形,压痛(+),锁骨轴向叩痛(+)

影像学检查—X线

你是否认为容易漏诊?

  影像学检查—CT平扫

  影像学检查—CT三维重建

(二)了解认识一下分型

1.锁骨远端骨折Neer分型

2.肩锁关节脱位Rockwood分型

3.锁骨近端骨折分型

(1)Robinson分型

根据骨折断端移位是否超过100%分型

无移位型(IA型)

有移位型(IB型)

关节内骨折

关节外骨折

(2)Throckmorton分型

A型:横形骨折

B型:斜形关节内骨折

C型:斜形关节外骨折

D型:粉碎性骨折

E型:撕脱骨折

(3)移位程度定义

移位<2mm:轻度移位

移位2~10mm:中度移位

移位>10mm:重度移位

4.胸锁关节解剖及损伤分型

1967年,Allman分型

1型:单纯胸锁韧带及关节囊扭伤,不伴脱位

2型:胸锁韧带及关节囊扭伤伴内侧锁骨半脱位

3型:创伤造成所有支持韧带断裂及完全的脱位(前或后)

(三)本病例诊断

1.创伤性漂浮锁骨(左侧)

(1)锁骨远端骨折

(2)锁骨近端骨折

(3)胸锁关节脱位

2.左侧肋骨骨折(2-3后肋)

3.软组织损伤(左肩部及胸壁)

(四)对骨折类型的了解及认识

1.定义

(1)锁骨两端骨折脱位是指锁骨远端和近端(或其相应的肩锁关节、胸锁关节)同时发生损伤[6]

(2)多种名称(类型),包括:

Complete dislocation

Bipolar dislocation

Panclavicular dislocation

Bifocal clavicular dislocation

Traumatic floating clavicle

胸锁关节脱位和(或)锁骨近端骨折 + 肩锁关节脱位和(或)锁骨远端骨折

2.流行病学

首次由 Porral(1831)描述

1924年 Beckman报道了16例

1982年 Gearen和Petty报道了17例

1984年Rockwood报道了5例

1900年Sanders等报道了6例

1988年 Le Huec等报道了2例

2007年 Dieme等报道了3例

2011年 Schemitsch等报道了2例

其他多为单个案例报道

检索万方、知网3篇国内文章

(五)治疗的选择认识

1.治疗

(1)相关文献较少,无明确治疗方案,存在争议

(2)早期多主张保守治疗(观念传统,内固定落后)

(3)手术治疗——方法多种多样

2.保守治疗

(1)八字绷带+颈腕吊带

(2)颈腕吊带

三、手术方法

13岁男性左肩交通伤,手法复位吊带制动

(一)本病例特点

本病例手术方法介绍给同道

体位:仰卧位,患侧肩胛骨下放置软垫

治疗原则与术式选择

——坚强固定(近端-板钉)+弹性固定(远端-钩板)

(二)手术

入路与显露——胸锁关节

入路与显露——肩锁关节

复位与固定——肩锁关节(锁骨钩板)

术中透视

近端骨折脱位复位难、固定难(胸骨骨质特点),借用外科缝线复位捆扎方法达到满意疗效。

复位与固定——胸锁关节

  复位与固定——胸锁关节(对侧锁骨远端解剖板塑形)

  术中透视

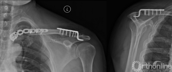
  术后复查(肩关节正位及出口位)

(三)手术注意事项

四、总结

(一)仔细检查:避免遗漏一侧损伤或合并伤 X-ray + CT ……

(二)治疗

1.复位固定兼顾两端

2.避免两侧跨关节固定

3.注意韧带、关节囊的修复

(三)术后随诊:建议同时完善CT检查评估近端锁骨/胸锁关节情况

评论区留下你的看法,让我们一起交流下!

你最想学习、交流哪方面的临床病例?

你是否也有病例要一起分享?

那就联系我们吧!

真诚的拜个年:猪事顺利

已评论0

请您登录后再评论

页面

返回顶部
订阅 RSS - 上肢骨折