上肢骨折

首页 >> 热点关注 >> 正文

CBL手绘|肩关节后脱位

来源:骨科在线 编号 : #134559#
2019-02-25
我要评论

在首期的CBL|漂浮锁骨中,我们详细剖析了漂浮锁骨的损伤机制,通过手绘病例要点的形式,对其分型、流行病学进行了深度讲解,并借用病例对骨科医生比较关注的手术治疗方法提供了一种新思路和见解。

在本期的肩关节后脱位中,我们继续用手绘述说病例,并期待与您切磋交流!

一直以来,肩关节后脱位的讨论话题很多,我们借用张翊充博士经历的肩关节肱骨近端骨折后脱位治疗经验和体会与大家分享。为了让同道们轻松分享,我们用简明的图示展现给大家。

  小小知识点:肩关节后脱位与灯泡征

后脱位AP View 灯泡征

手绘后脱位AP View 灯泡征

Rim Sign

手绘Rim Sign

一、分型

Robinson&Aderinto分型

(一)简单脱位(不合并结节骨折或肱骨近端骨折)

急性:≤6周

慢性:>6周

(二)骨折-脱位(合并结节骨折和/或肱骨近端骨折)

常包含于肱骨近端骨折分型

两部分小结节骨折;两部分解剖颈骨折;复杂三部分和四部分骨折

与骨折-半脱位的区分:是否锁定于关节盂后方

(三)肱骨头缺损程度

小:<25%

中等:25%~50%,

大:>50%


手绘分型

二、影像学检查

1.X线检查——

前后位(AP)

腋位(Axillary View)

冈上肌出口位(Y)—判断肱骨头与关节盂位置

2.CT*—评估缺损大小及关节盂情况

3.MRI—非必要检查,软组织损伤较少见

三、病例分享

我们接诊的病人:谷××,男,61

一过性意识丧失,右肩疼痛伴活动受限14小时入院

(一)查体:右肩关节肿胀,前方空虚,喙突凸起可触及。后方饱满,可触及肱骨头。局部压痛明显,活动受限。右手拇指指尖部轻度麻木,末梢血运良好。

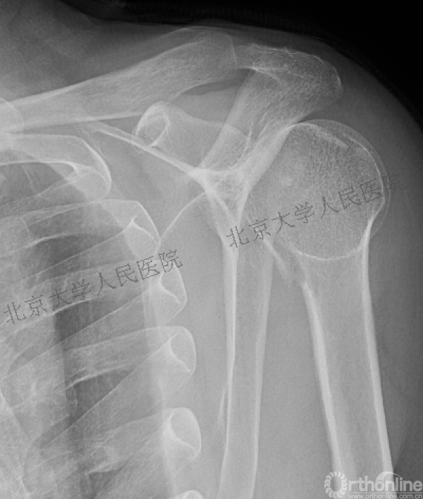
X线检查

手绘X线检查

CT检查

(二)目前诊断:

1.右肱骨近端骨折

2.右肩关节后脱位

3.晕厥原因待查

4.心律失常(室性早搏)

(三)我们的治疗计划与实施:

全麻下行切开复位内固定术,备植骨+关节镜检

(关节镜准备是必要时修复后盂唇)

胸大肌三角肌间隙入路

手绘胸大肌三角肌间隙入路

操作步骤

手绘操作步骤

术后影像学检查

(四)治疗

方法多,治疗个体化

1.保守治疗

(1)监督下忽视

疼痛轻微+前屈上举满足日常需要

1)老年患者对肩关节功能要求低

2)慢性后脱位

(2)手法复位

2.手术治疗

(1)切开复位内固定:McLaughlin,改良McLaughlin,前方入路植骨,后方开放Bankart手术,关节镜下后方Bankart修复

(2)肩关节置换

(一)McLaughlin手术

1.最早由Wilson在1931年提出

2.McLaughlin命名:1944年,根据肌腱断端具体情况提出不同手术治疗方法(肩胛下肌腱移位手术)

采用肩胛下肌止点内移的方式填充肱骨头缺损,增强肱骨头复位后的稳定性

3.较大缺损术后影响内旋功能

手绘肩胛下肌腱移位手术(填充肱骨头骨缺损)

(二)改良McLaughlin手术

1.Hughes和Neer提出改良

2.将肱骨小结节连同其附着的肩胛下肌同时内移固定,能够获得更好的骨性愈合以及稳定性

3.缺损范围:20%~40%

4.优点:更好的骨性填充,更安全的肩胛下肌腱止点重建

手绘改良McLaughlin手术

四、拓展阅读

如果感兴趣更多知识,可继续阅读…

(一)流行病学



1.最早由Cooper A在1839年发现

2.发生率

(1)占所有肩关节损伤的2-5%

(2)前脱位发生率是后脱位发生率的 15.5-21.7倍

(3)年发生率1.1例/10万人

(4)男:女=2:1

(5)肩关节骨折-后脱位占所有肩关节骨折-脱位的0.9%

3.青壮年多见

4.初诊漏诊率:60%~79%诊断陷阱

漏诊原因:三个“不充分”

——不充分的病史、不充分的查体、不充分的X线片分析

(二)病因

1.高能量损伤:如交通事故、高处坠落

2.其他:电击伤,癫痫,药物或酒精戒断症状发作,糖尿病低血糖发作

其中以癫痫最常见。机制如下:

(1)肩部肌肉收缩失衡:肌肉强直收缩力量>骨骼强度

(2)意识丧失间接导致的创伤

Step1:进行活动时(如驾驶、骑车、高处站立)丧失肢体支配

Step2:肢体撞击坚硬固体物

3.(直接高能量损伤)体位:前屈、内收、内旋位

(三)病理

1.肱骨头后脱位

2.反Hill-Sachs损伤:肩关节前上方骨质压缩

——小结节及小结节后上方的骨折及骨质压缩

3.伴发伤:肩袖损伤、肱骨近端骨折、神经损伤

(四)临床表现

1.前方空虚、后方饱满、喙突明显

2.活动受限—易误诊

3.内收,10-60°内旋畸形,不能外旋

4.前臂不能旋后

(五)肩关节置换术

1.半肩置换适应征

(1)肱骨头缺损>50%

(2)肱骨头骨质松软不可用

2.Matsen等观点:

3.禁忌证:年龄<55+缺损>40%的患者

4.全肩置换适应征

——上述适应征+同时合并关节盂侵蚀

5.肱骨柄后倾约35°~40°

(六)康复

1.术后20°外展+外旋制动4周

(1)不论治疗方式

(2)有助于后方关节囊恢复

2.肩关节钟摆样运动+肘关节活动 tid

3.术后4周无范围限制活动+等长后方肩袖锻炼

4.术后3月内——非接触性体育锻炼

5.术后4-6月——接触性体育锻炼

评论区留下你的看法,让我们一起交流下!


你最想学习、交流哪方面的临床病例?


你是否也有病例要一起分享?


那就联系我们吧!


病例提供者简介

张一翀,北京大学人民医院创伤骨科医师。本科于中山大学中山医学院临床医学专业,硕士、博士毕业于北京大学医学部。曾于2017年赴美国华盛顿大学肩肘外科访问学习。

已评论0

请您登录后再评论

页面

返回顶部
订阅 RSS - 上肢骨折