上肢骨折

首页 >> 热点关注 >> 正文

CBL手绘|复杂型​肩关节骨折后脱位

来源:骨科在线 编号 : #134711#
2019-04-08
我要评论

南京医科大学第一附属医院李翔教授通过分享六个临床病例,通过将专业学术内容贯穿融合在临床病例中,来全面剖析肱骨近端复杂损伤——骨折合并肩关节后脱位。

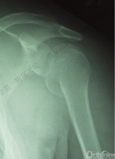
病例1

男性,40岁,摔伤后右肩关节肿痛、活动受限2天。

术后肩关节X线正位片

病例2

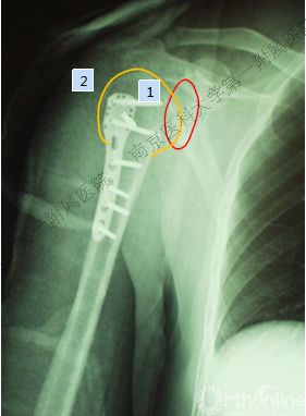
男性,48岁,坠落伤致左肩关节肿痛、活动受限1天。

术后肩关节X线正位片

病例1与病例2是同一类损伤吗?


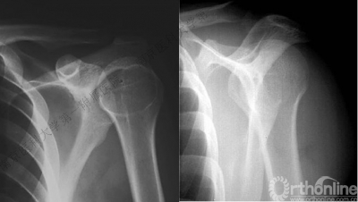
病例3

男性,27岁,车祸致右肩部肿痛、活动受限6小时。

术后肩关节X线片

病例2

VS

病例3


复杂型肩关节骨折后脱位

一、概述

(一)损伤特征:

肩关节后脱位、肱骨头骨折(29%)、肱骨近端骨折(解剖颈18.5%,小结节14.3%,大结节7.8%)。

(二)临床特点:

好发于中年人,高、低能量暴力均可为致伤因素,临床容易误诊(误诊率最高79%)。

(三)流行病学:

属少见肩关节损伤形式(0.6/100000人/年),(最大一组临床研究仅包含26个病例)。

二、损伤机制

暴力始于肱骨头后关节面,随暴力增加累及周围结构,最终导致肱骨近端骨折。

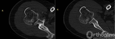
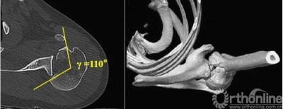
三、影像学

1.X线片

2.肩关节CT

确定肩关节后脱位。

了解反Hill-sachs损伤和程度。

观察肱骨近端主要骨折线和次要骨折线及形态。

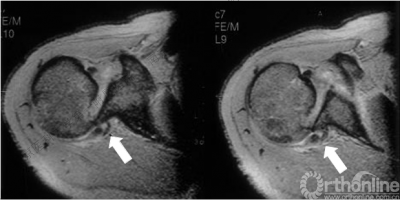
3.肩关节MRI

了解肩胛盂、肩袖及周围软性结构损伤情况。

四、分型

肩关节后脱位:

Ⅰ型: +肱骨颈骨折。

Ⅱ型: +肱骨颈骨折+小结节骨折(病例3)。

Ⅲ型: +肱骨颈骨折+小结节骨折+大结节骨折(病例2),以骨折线向肱骨近端外侧壁延伸为另一特征。

五、反Hill-Sachs 损伤对肩关节稳定性的影响

1.反Hill-Sachs损伤范围对肩关节后方稳定性具有决定性的影响。

2.常规的影像学测量方法不能准确反映损伤范围。

六、肩胛盂及韧带复合体损伤对肩关节后向稳定性的影响

1.肩胛盂后侧可以因骨折导致缺损(反Bankart损伤),或发生盂肱韧带附着处的撕脱骨折。

2.可能损伤的韧带复合体包括:

- 盂唇撕裂。

- SLAP损伤。

- 肩袖撕裂。

- 盂肱下韧带撕裂。

盂肱下韧带肱骨侧止点撕裂

3.反Hill-Sachs损伤合并反Bankart损伤被Moroder命名为“双极损伤”。

4.δ角是发生肱骨头后脱位所需的肩关节内旋角度,在双极损伤中δ角减小,所以在双极损伤中,即使较轻的反Hill-Sachs损伤也需要修复。

5.对此,得出两点结论

(1)目前没有文献介绍复杂型肩关节骨折脱位时肩关节后方软性结构损伤是否需要手术治疗的经验。

(2)我们认为:当肱骨近端骨折和反Hill-Sachs损伤得到较好修复后,肩关节后脱位即得到了有效的复位与稳定。对于不影响肩关节后向稳定性的肩关节后方软性结构损伤可采取非手术治疗。

七、治疗原则

首选手术治疗:

- 恢复正常盂肱关节关系。

- 修复塌陷的肱骨头(长期塌陷部位会因松质骨吸收而仅遗留软骨壳)。

- 稳定肱骨近端骨折。

八、治疗方法

胸大肌——三角肌间隙入路

九、外科技术要点

(一)充分显露肱骨头是治疗成功的先决条件:

- 是解除肱骨头与肩胛盂交锁的前提。

- 是修复反Hill-Sach损伤的前提。

- 以肱二头肌长头为标志切开肩袖,帮助显露肱骨头。

(二)切开肩胛下肌(是进一步显露肱骨头关节面的钥匙)

可能损伤腋神经,降低肩胛下肌肌力;但尽可能保护了骨性结构的完整,利于复位解剖颈骨折。

切开部分肩胛下肌后于肩胛盂前方插入骨撬,帮助显露反Hill-Sachs损伤。

(三)肱骨小结节截骨

显露更为充分,小结节骨块可用于修复反Hill-Sachs损伤;但增加了骨折复位的难度。伴有小结节骨折时更便于处理。

(四)复位脱位的肱骨头

1.用两枚3.5mm克氏针钻入肱骨头内,固定主要的肱骨头骨折块并把持肱骨头,利用Joy-Stick技术将肱骨头牵开、外旋、复位。

2.避免在肱骨头和关节盂之间插入骨撬的方法来复位肱骨头,会加重肱骨头关节面的损伤。

(五)修复反Hill-Sachs损伤

1.外旋肱骨头,显露肱骨头关节面损伤处。

2.改良McLaughlin术、 Underpinning术、球囊扩张术。

3.Dubousset 方法:对肱骨头关节面压缩性骨折均给予直视下复位、填充植骨、螺钉固定,手术指征不受压缩部分占总关节面面积比例的限制。

(六)评估肩关节的稳定性

1.修复反Hill-Sachs损伤、固定肱骨近端骨折后,内旋肱骨头,检查肩关节的后向稳定性。

2.绝大多数情况下肩关节后方均稳定,无需进一步修复后方的韧带结构。

病例4

女性,65岁,坠落伤1天。

病例5

男性,22岁,交通伤致右肩关节肿痛、活动受限2天。

十、术后肩关节稳定性的维持

肩部支具:术后上肢维持在外展20°~30° 、外旋位,降低了肱骨头向后方脱位的风险。

病例6

女性,68岁,跌倒致左肩关节肿痛、活动受限1天。

1.当肱骨头缺血坏死风险较大时,可考虑行人工肩关节置换术。

2.人工肩关节置换还适用于肱骨头骨折面积过大、肱骨头软化、陈旧性骨折等。

3.人工半肩置换临床实际应用中仍然存在着一定的问题。

十一、预后

预后总体欠佳,并发症发生率较高。

常见并发症:

- 再次脱位(非手术治疗)。

- 肱骨头缺血坏死(合并解剖颈骨折)。

- 创伤性关节炎(症状比前脱位严重)。

- 关节僵硬和功能受限。

已评论0

请您登录后再评论

页面

返回顶部
订阅 RSS - 上肢骨折