上肢骨折

首页 >> 热点关注 >> 正文

CBL手绘|孤立性的大结节骨折你可要当心!

来源:骨科在线 编号 : #135091#
2019-06-11
我要评论


本期CBL系列学术文章继续为大家介绍孤立性大结节骨折,由上海市第一人民医院吴晓明医生通过多个临床病例,来讲解肱骨近端骨折和肩关节脱位伴有的大结节骨折,而对于常常被忽视的孤立性大结节骨折,又该如何更好的预防呢?文中吴晓明医生也会与大家一同分享经验。

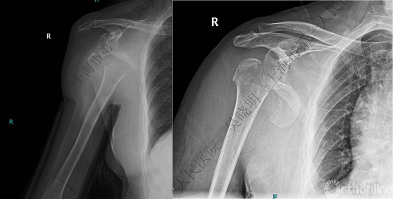
一:高质量的平片能否发现隐型解剖颈骨折?


常规X线难发现外科颈骨折

下图考虑为孤立性的大结节骨折?

看完片子,你会发现高质量的平片甚至3D CT也难以发现

二、高危因素

一、患者的因素

(一)医源性肱骨近端骨折的高危因素分析:患者

本组医源性骨折的患者特点:

1.老年女性,平均年龄:78.2 yrs

2.低能量创伤

3.初发的肩关节脱位

  4.均合并大结节骨折

(二)肩关节前脱位的流行病学调查

与肱骨近端骨折流调结论重合

二大发病高峰,70岁以上:老年女性,低能量损伤。随着发病年龄升高合并伤发生率增加。

(三)高危因素:年龄

  与肱骨近端骨折:同样的发病人群,年龄,创伤机制

  1.患者特点

  2.中老年与年轻人比较 : 5 倍

  3.初发脱位与复发性脱位: 4 倍

  4.高能量损伤

Gerber ( 1994) : 5 例(60,46-79)

Renawat(2007):6 例 (59,32-92)

Atoun (2012):5 例 (58,46-89)

重视老年性肩关节初发前脱位的伴随骨折高发生率

医源性肩关节骨折脱位与患病年龄关系密切

三、分析的影像学特点

(一)与医生过于自信产生的疏忽有关

本组医源性骨折患者的影像学特点

均伴有大结节骨折;

可伴有外科颈骨折;

肱骨头可内移至喙突下;

肱骨头外翻畸形。

警惕伴大结节骨折的老年性前肩关节脱位

均伴随大结节骨折

Mourgues(1965):4 例

Eckardt (1984):2例

Gerber ( 1994) : 5 例

Renawat(2007): 6 例

Atoun (2012): 5 例

(二)大结节骨折的创伤机制

  肩关节前脱位伴大结节骨折创伤机制1:肩袖的撕脱性骨折

肩袖的牵拉作用:向上,后方向移位

前提:年轻患者,肩袖质量良好

X线看不清骨折线,三维CT也看不清

肩关节前脱位伴大结节骨折创伤机制2:肩胛盂与肱骨头撞击

警惕伴大结节骨折的老年性前肩关节脱位

二头肌建联合腱使复位更困难

老年性肩关节脱位伴大结节骨折:与肩胛盂和肱骨头撞击有关

骨折线可以延伸到肱骨头

三、医源性肱骨近端骨折的成因分析和对策

有时我们很幸运,能够成功复位。

但有时却问题重重

此时你的心情&病人的心情??......

四、反思

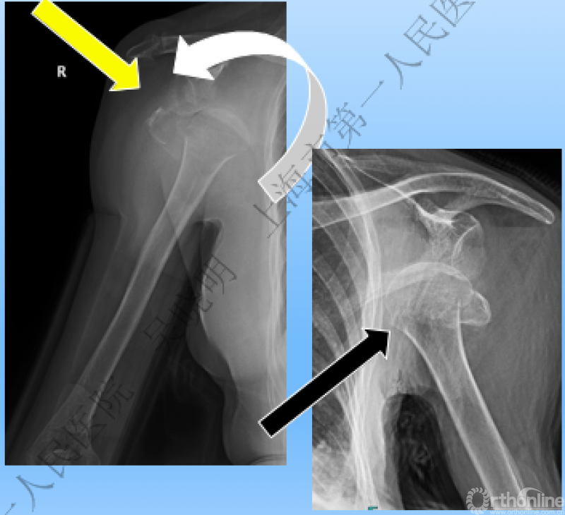
警惕喙突下老年性肩关节前脱位

肩关节内移程度与创伤暴力大小有关

喙突内脱位                              肩胛盂下脱位

必要时进一步CT检查

特别警惕伴肱骨头外翻合并大结节骨折的肩关节脱位

警惕:有无肱骨头外翻

肩关节前脱位伴大结节骨折:颈干角正常

无肱骨头外翻伴大结节骨折的老年性肩关节前脱位

Neer 分型:二部分大结节骨折脱位:手法复位

伴大结节骨折的老年性肩关节前脱位伴肱骨头外翻

肩关节前脱位合并大结节骨折&肱骨头外翻:外翻压缩型(Neer 分型)

对这型骨折进行手法复位会导致肱骨头和肱骨干之间的连续性消失。肱骨头和肱骨干之间连续性尚存,肱骨头前脱位(Robsion 3b)

警惕伴大结节骨折的老年性肩关节前脱位

必需时进一步急诊CT检查

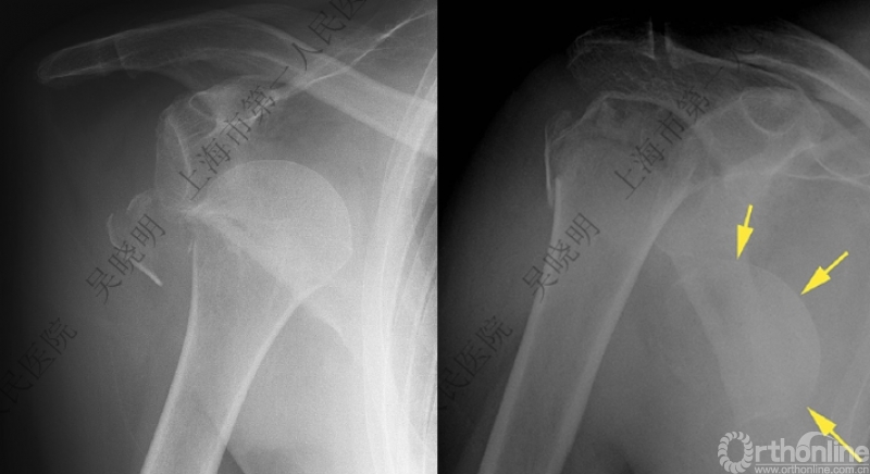
警惕孤立性向下移位的大结节骨折

外翻压缩型肱骨近端骨折

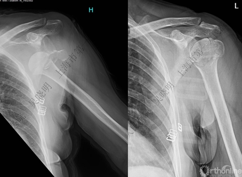
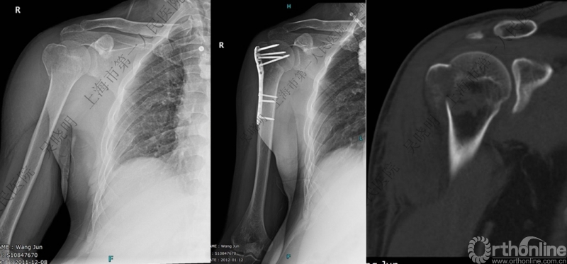
钢板固定

X线是孤立性向下移位的大结节,一定要小心,多伴有肱骨外科颈骨折

五、如何应对-复位方法?

肱骨解剖颈伴大结节骨折的老年性肩关节前脱位

切开复位

VS

闭合复位

全麻下闭合复位,钢板固定

六、经验

1.高危人群:老年女性,初发脱位

2.影像学特点:大结节骨折

             喙突内侧脱位

             肱骨头外翻

3.治疗:诊断明确,充分告知患者和家属

       手术室

       充分麻醉

       轻柔操作

       必要时切开复位内固定或人工肩关节置换

吴晓明,1992年7月毕业于上海医科大学医学系获医学学士学位,2002年7月毕业于华东政法大学第二本科获法学学士学位,第二本科获法学学士学位2005年获法国政府Mira奖学金赴法学习。2000年获上海市第一人民医院骨科主治医生,2007年获上海市第一人民医院骨科副主任医师。

上海医学会骨科专科分会第十届委员会关节镜学组成员,中国医师协会骨科医师分会肩肘外科专业委员会委员,第一届SICOT 中国创伤学会委员,SICOT 中国部肩肘外科学第一届委员会常务委员,首届中国研究型医院学会骨科创新与转化专业委员会常务委员,肩肘外科学组副组长。

中华创伤骨科通迅编委,中华关节外科通讯编委,中华肩肘外科杂志编委,中华骨科杂志审稿人,中国骨与关节损伤杂志审稿人,Internatioanl Orthopaedic 审稿人。

已评论0

请您登录后再评论

页面

返回顶部
订阅 RSS - 上肢骨折