随着交通运输业及现代工业的迅猛发展,高能量创伤造成的下肢严重开放性损伤日益增多。此类损伤不仅具有污染严重、骨折类型复杂等特点,而且多伴有广泛软组织缺损或重要血管、神经损伤,治疗相当棘手。患者术后常合并感染、慢性骨髓炎、骨不连、肢体坏死,致残率及截肢率相当高。2008年10月至2012年1月我们共收治82例下肢严重开放性损伤患者,按开放性骨折的治疗原则,采用负压封闭引流(vacuum sealing drainage,VSD)技术和延期组织瓣修复的综合策略进行治疗,取得满意效果,报告如下。
资料与方法
一、一般资料
本组82例,男64例,女18例;年龄21~64岁,平均45.3岁。致伤原因:交通伤61例,高处坠落伤11例,机器绞伤6例,重物压砸伤4例。骨折Gustilo分型:IIIB型63例,IIIC型19例。骨折部位:胫腓骨37例,胫骨6例,股骨9例,双侧胫腓骨5例,胫腓骨合并股骨11例,胫腓骨合并跖趾骨14例。合并脱套伤25例。血管损伤情况:胫后、胫前动脉3例,腘动脉11例,股动脉5例。主干神经损伤情况:胫神经挫伤7例,腓总神经挫伤5例。软组织缺损大小:3cm×5cm~19cm×17cm,皮肤脱套面积8cm×5cm~40cm×35cm。本组患者肢体损伤严重程度评分(mangled extremity severity score,MESS):>7分29例,6~7分32例,<6分21例。受伤至清创时间:Gustilo IIIB患者40例在6h内,23例在6~12h;Gustilo IIIC患者14例在6h内,5例在6~12h。
二、手术方法
患者入院后积极行抗休克、抗感染、包扎固定及止血等治疗,待全身情况改善后行保肢手术,即清创、外固定支架固定、血管神经探查修复(Gustilo IIIC型)、VSD技术及延期组织瓣修复术。
全麻成功后,患者取仰卧位或俯卧位,尽量使用止血带控制出血。用肥皂水刷洗患肢后,用生理盐水、双氧水、碘伏交替冲洗创面。常规消毒铺巾,由浅入深逐层清除创面内坏死组织及异物。骨骼清创时应注意保护骨膜组织的完整性,标记需修复的神经及血管。彻底清创后,再次冲洗创面。
骨折固定应稳定、快速,并注意保护软组织,减少对骨折周围血供的破坏,多采用有限内固定与外固定支架相结合的方式。对于Gustilo IIIC型患者,骨折固定后及时修复血管重建肢体血供。对缺血时间较长的患者,可在骨折固定前先临时重建患肢血供,待肢体通血15~30min后再行骨折固定手术。此类患者均行预防性深筋膜切开术。尽量一期修复肌腱、神经等组织。吻合的血管、神经组织及骨折端尽量采用周围有活力的软组织进行覆盖。
皮肤、软组织缺损创面采用一期VSD技术治疗、延期组织瓣修复的策略。对于脱套的皮肤,用锐利薄剪去除皮下脂肪,11号刀片戳洞,使之成为网状全厚皮片。根据创面面积设计VSD敷料覆盖,外用伤口愈合快示格胶贴(15cm×20cm)密闭VSD敷料。负压维持在100~125mmHg(1mmHg=0.133kPa)。术后密切观察患者一般情况及患肢血供情况,予以输血、补液、抗感染等对症支持治疗。每天检查VSD敷料的密闭性、负压引流状况及引流量,保持引流管通畅。术后5~7d麻醉下打开VSD敷料,视创面清洁情况、组织缺损的形状、大小和部位及深部组织外露情况行再次清创VSD敷料覆盖,或者行确定的组织瓣修复术,包括植皮、局部肌瓣移植、筋膜瓣移植及游离皮瓣移植。本组患者软组织缺损的具体修复方式:直接缝合(部分脱套伤患者)4例,植皮13例,腓肠肌瓣移植11例,比目鱼肌瓣移植5例,局部筋膜瓣移植33例,健侧交腿筋膜瓣移植8例,游离腓肠神经营养血管皮瓣移植4例。确定的骨折固定方式:钢板、螺钉固定21例,外固定支架结合克氏针固定34例。
结 果
82例患者术后获4~53个月(平均17个月)随访。78例(95.1%)患者保肢成功,其中Gustilo IIIB型61例,IIIC型17例,保肢率分别为96.8%(61/63)和89.5%(17/19)。4例患者行二期膝下截肢术(IIIB型2例;IIIC型2例)。保肢成功的患者负压封闭吸引1~2次,平均1.6次,平均手术次数为3.7次(2~5次)。急诊清创至确定组织瓣修复的时间平均为6.3d(3~8d)。经负压吸引后,创面肉芽组织生长良好、红润,骨外露面积均不同程度减小,无感染迹象。脱套皮肤存活面积为8cm×5cm~35cm×28cm,平均存活率为92.56%(83%~100%),坏死皮肤二期中厚植皮修复。所有植皮处均完全成活,组织瓣中仅2例皮瓣远端部分坏死,予换药后植皮愈合。
患者骨折一期愈合66例(84.6%),愈合时间为4~8个月,平均6.4个月;骨延迟愈合7例(9.0%);骨不连5例(6.4%),予二次植骨修复。9例(11.5%)患者出现创面感染现象,表现为窦道形成、外固定钉道感染,予换药、清创、皮瓣推进或局部转移修复。3例(3.8%)发展为慢性骨髓炎,经清创后肌瓣填塞修复。
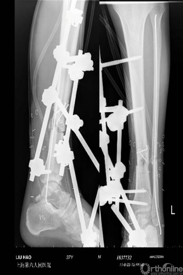
4例(4.8%)二期截肢的患者中,Gustilo IIIB型、IIIC型各2例,MESS评分均为10分。3例因患者肌肉广泛挫伤或缺血坏死,1例因患者无法承受多次修复手术的痛苦,放弃保肢治疗。4例截肢均为膝下截肢,保留了患者的膝关节功能。典型病例图片见图1。
讨 论
一、保肢与截肢的急诊选择
下肢严重损伤的治疗常面临保肢与急诊截肢的决择。近年来,显微外科技术、创面VSD技术、软组织修复重建技术、抗感染药物、骨折固定技术,以及骨移植与骨搬移技术的发展与进步,为严重创伤肢体的保肢治疗提供了重要技术保障。但保肢治疗常需多次手术处理感染、肢体软组织缺损、骨不连、慢性骨髓炎机骨缺损等复杂问题,治疗时间长、难度大、费用高,此外,还有最终截肢的风险。因此,保肢的过程对医生和患者都是一个挑战。
目前国内外对保肢与截肢的指征仍存在争议。为了科学地评估患者的伤情与预后,国内外学者提出了一些有关保肢和截肢的量化指标,如MESS评分、肢体损伤综合征指数(mangled extremity syndrome index,MESI)、截肢指数(limb salvage index,LSI)等。而MESS评分最为常用,一般认为,MESS评分3~6分可以保肢,>7分为截肢的指征。随着保肢技术的进步及医疗团队经验的提高,近年来的研究认为,MESS评分≤9分的创伤肢体都可行保肢治疗。但在临床应用中,上述评分标准都存在各自的局限性,无任一种评分适合所有患者。
传统观点认为足底感觉的存在与否是判断保肢与截肢的1个重要指标,对于无感觉的肢体,主张急诊截肢处理。2005年Bosse等报告对29例足底无感觉的患者肢体进行保肢治疗,2年随访结果表明:55%的患者恢复了正常的足底感觉。他们认为足底感觉不能作为判断预后功能的决定性指标。
结合本组保肢患者的结果,我们认为急诊判断肢体严重损伤的预后需综合考虑以下几点:①肢体热缺血时间:大肢体缺血超过6h的患者保肢预后较差;②肌肉损伤程度:小腿2个以上筋膜室的肌肉毁损患者可优先考虑截肢;③骨缺损的程度:骨缺损长度超过胫骨长度1/3的患者预后较差;④MESS评分:≤9分的患者可予以保肢治疗,>9分的患者倾向截肢治疗;⑤患者及家属的主观意愿、医从性及经济能力;⑥医疗团队的保肢技术。
二、创面修复的时机
关于急诊清创至确定组织瓣修复的间隔时间仍存在争议。早期的观点认为创面的覆盖需延期进行,一方面等待肿胀消退,另一方面可以对创面进行观察及二次清创。随着显微外科技术的成熟,创面早期(72h以内)覆盖的优势日益突出。与二期修复相比,急诊治疗方案可充分利用幸存的健全组织缩小修复范围,提高修复效果,最大限度地保留肢体功能。Godina等的回顾性研究表明,创面早期覆盖可明显降低骨不连和骨髓炎的发生率,缩短住院时间和骨折愈合时间。但急诊显微外科修复的手术风险较大,对手术团队的综合能力要求较高。
近年来,VSD技术在促进创面愈合方面的作用已得到广泛认可,其可能的机制包括:①去除渗液,减轻创面的慢性水肿;②增加创面血流灌注;③抑制细菌生长和防止交叉感染;④刺激细胞增殖和促进肉芽组织生长;⑤促进多种细胞因子和酶类的基因表达。本组患者中,我们利用VSD技术在急诊清创后覆盖创面,将其作为急诊创面处理和择期组织瓣修复的桥梁。这种新择期修复策略的优势主要有:①早期覆盖创面,减少交叉感染,几乎能达到与急诊皮瓣修复创面相当的效果;②为创面修复提供了二次清创的机会,可以观察创面内可疑组织的活性;③负吸后新生的肉芽组织可以为确定的组织瓣修复提供良好的组织基床;④降低了急诊手术的难度与风险,为患者和医生提供了宽裕的时间考虑治疗方案及预后。此外,对于合并脱套伤的患者,VSD技术的使用可以提高原位植皮的成功率。本组患者结果显示,VSD技术的应用降低了患者术后感染率,缩小了骨外露面积,简化了手术方式,达到了提高保肢成功率的目的。
三、VSD技术的注意事项
近年的研究认为,创面经VSD技术处理5~7d可以明显降低感染率,而超过7d则会明显提高感染率。Rinker等的回顾性研究显示,VSD技术治疗1周患者的并发症发生率为35%,感染率为6%,皮瓣相关并发症发生率为12%;而治疗超过1周的患者分别为53%、18%和21%。Stannard等的前瞻性研究表明,采用VSD技术治疗创面4d,患者术后感染率较传统组降低5倍。Burns等报告采用VSD技术治疗67例Gustilo IIIB胫骨开放性骨折患者,其间隔时间平均为19d,感染率为34%。目前的证据表明,感染率的升高与院内感染有关,VSD技术治疗可增加局部创面的血供,同时提高细菌的繁殖率。
由于Gustilo IIIB和Gustilo IIIC型骨折患者创面污染重、肌肉软组织坏死范围广,若感染在VSD负吸期间发生蔓延且未得到及时处理,VSD技术治疗则会加重病情。因此,利用VSD技术治疗下肢严重损伤创面时,需密切观察患者全身和局部情况及VSD的引流情况,一旦有感染迹象,应及时清创探查。对于Gustilo IIIC型患者,还需监测肢体血供,必要时减小负吸压力。
综上所述,我们认为对于严重创伤的肢体,在认真评估伤情、明确保肢指征的前提下,通过彻底清创和合理骨折固定,配合VSD技术及延期组织瓣修复技术,可有效地恢复肢体功能。

a

b

c

d

e
图1 男性患者,34岁,因交通伤致左胫腓骨开放性骨折(Gustilo IIIB型),术前广泛软组织损伤,胫前动脉及腓动脉断裂,骨折严重粉碎(a,b);
急诊予清创、外固定支架及腓骨弹性钉固定骨折,修复胫前肌腱和伸趾肌,采用VSD技术治疗创面(c,d);
1周后拆除VSD装置,见胫前肌腱及胫骨外露;清创后再次行VSD技术治疗,2周后创面肉芽生长良好,无感染征象,创面面积为10cm×6cm,拟行腓肠神经皮瓣移植修复,术中见皮瓣无血供,改全厚皮植皮,VSD负吸加压;术后6周,创面愈合良好;术后10个月,创面获修复(e)