Jump to navigation
返回PC版
登录
|
注册
脊柱其他
首页
>>
热点关注
>> 正文
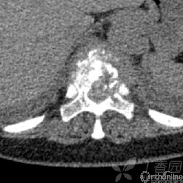
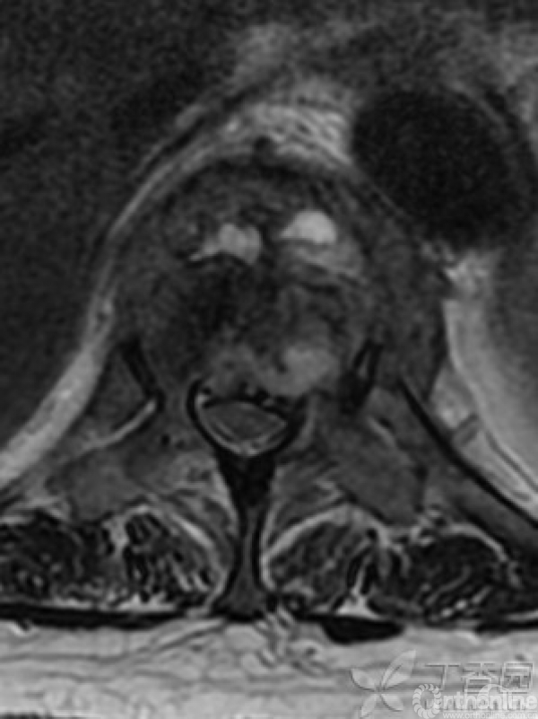
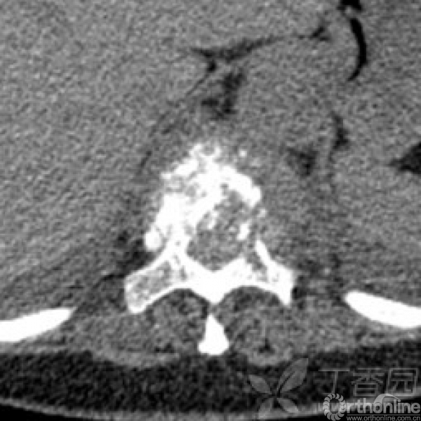
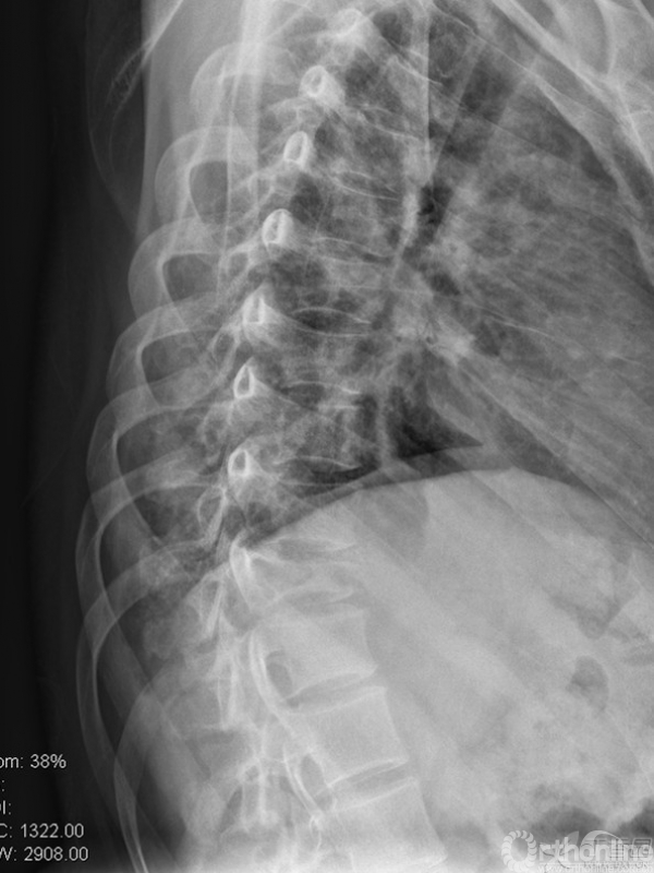
胸椎多椎体病变,如果诊断和治疗?
来源:骨科在线
编号 : #104955#
2014-01-20
我要评论
已评论
1
次
分享到:
请您
登录
后再评论
页面
首页
上一页
…
1581
1582
1583
1584
1585
1586
1587
1588
1589
…
下一页
末页
返回顶部
首页
会议
直播
资讯
收藏
搜索