上肢骨折

首页 >> 热点关注 >> 正文

从“神仙姥姥”谈老年股骨转子间骨折

来源:骨科在线 编号 : #136765#
2020-07-25
我要评论

近日,“神仙姐姐”刘亦菲的一则微博动态引起了不少人的关注,91岁老年人不慎摔伤后前往华中科技大学附属协和医院(下称武汉协和医院)骨科就诊,行X线检查提示左侧股骨转子间骨折,该院创伤骨科刘国辉主任接诊后随即收治老人入院。

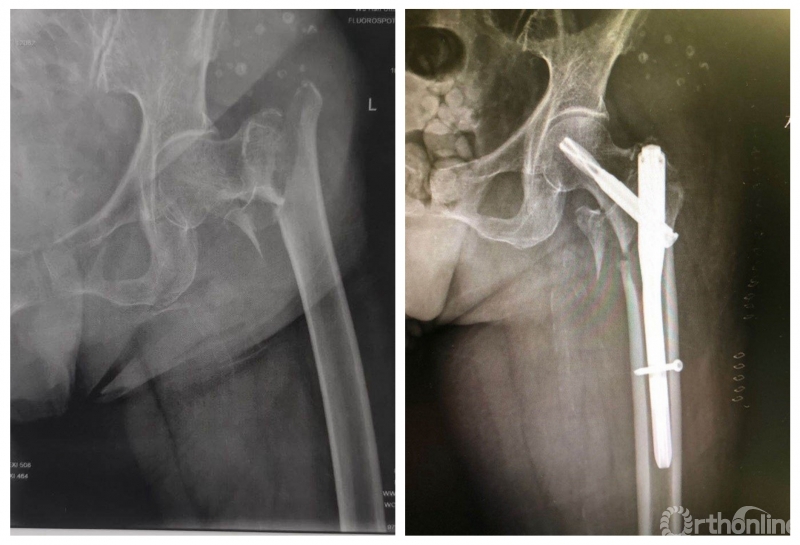
91岁高龄的姥姥入院后完善检查,无明显手术禁忌症,但如此高龄的患者给手术麻醉和病房护理也出了个大大的难题,刘国辉主任与麻醉科魏欣教授评估患者后,决定早期安排手术,避免长期卧床导致的褥疮、肺炎、下肢深静脉血栓等并发症。入院后第二日全麻下行PFNA微创手术,所幸手术及麻醉苏醒顺利,老人术后恢复良好,在病房的精心护理下术后开始早期下床功能锻炼。

网络截图

“神仙姐姐”刘亦菲发微博感谢武汉协和医院骨科,引起了广泛的点赞和关注。实际上,像这样的患者还有很多很多,刘国辉教授团队诊治的最高龄老年转子间骨折为101岁,这样高龄髋关节骨折患者的收治,不仅需要经验丰富的治疗团队,还与病房护理,麻醉,所在医院的综合实力息息相关。随着我国人口老龄化加剧,老年转子间骨折已然成为临床医师需经常面对的难题。

患者术前、术后影像对比

一、概述

老年股骨转子间骨折是一种严重的骨质疏松性髋部骨折,致死、致残率高,不少学者将老年转子间骨折称为“人生最后一次骨折”。股骨转子间骨折对老年人危害巨大,一方面骨折后长期卧床导致下肢深静脉血栓、肺部感染、褥疮等并发症,严重甚至可导致死亡;另一方面骨折后活动能力下降,需要专人陪护,给家庭增加了经济和人力负担。

事实上,老年人股骨转子间骨折并不少见,由于骨质疏松,骨骼强度下降,即使轻微的暴力也可能导致骨折,据报道75~84岁人群在10年内髋部骨折的发生率高达7%,其中50%为股骨转子间骨折。随着我国人口老龄化的加重,老年人转子间骨折也日益成为临床医生需要经常面对的挑战。

二、临床诊断和早期处理

此类患者多有明确外伤史,通常为低能量损伤,伤后髋关节剧痛,不能主动及被动活动,可伴有肢体畸形。但是需注意,部分患者可在日常活动中发生应力性骨折,此类患者多为无移位骨折,髋关节疼痛较轻,甚至可以勉强下地负重,需避免漏诊。

接诊患者后,若体检考虑髋关节外伤,首选X线检查,随后可完善髋关节CT扫描以明确骨折类型及移位程度,若症状和体检提示髋关节骨折骨折而X线检查阴性,可考虑行磁共振检查排除隐性骨折。

如影像学检查证实为转子间骨折,在完善急诊评估后应立即收治入院,若无相关禁忌症则应早期抗凝及镇痛治疗。老年患者基础疾病较多,对手术麻醉同样也是挑战。尽快完善下肢血管超声、心脏超声、肺部CT、血常规、凝血功能、生化常规等检查。术前可使用“丁”字鞋制动,无需常规行股骨牵引。

三、手术方案

年转子间骨折除病理性骨折和既往严重髋关节骨性关节炎等外,切开复位内固定是首选。常用的内固定为股骨近端髓内钉如PFNA,Intertan等,锁定钢板也是部分医生的选择,目前这两类内固定的选择仍是老年转子间骨折治疗中的讨论热点。

老年股骨转子间骨折手术目的是允许患者尽早下床活动,因此对骨折的复位、内固定的强度和手术微创提出了较高的要求。优良的复位是坚强内固定的前提,尤其是股骨内侧支撑的恢复最为重要,理想的复位要求骨折线的正、侧方均有皮质接触,这样有助于肢体承重功能的恢复及减轻内固定应力。如固定选择髓内钉,则主钉的长度,粗细,刀片在股骨颈中的位置及深度均应深思熟虑后制定。最后,在不影响手术操作的前提下应尽量微创手术,尽量减少软组织破坏,有助于术后疼痛管理及髋关节早期功能锻炼。

四、麻醉与围手术期管理

很多老年患者会因为不同的原因服用抗凝、抗栓药物,在术前准备时要考虑所用药物的类别和原因,兼顾这些药物带来的围手术期出血风险和停用这些药物带来的栓塞风险。如抗栓药物阿司匹林和氯吡格雷,目前有证据支持可以不用推迟手术时机。如果停药后心血管系统血栓的风险低,可以停药;如果停药后血栓的风险高、尤其是对近期放置了冠状动脉内支架的患者,应该与心内科医生协商,血栓高危患者不能停药;如果术中出血量多可通过输注血小板拮抗。

老年股骨转子间骨折手术的麻醉,建议由对老年人麻醉有经验的麻醉医生实施或在其指导下进行。椎管内麻醉和全身麻醉是最常采用的麻醉方式,除非存在禁忌,应首先考虑椎管内麻醉。对服用抗凝抗栓药的患者,要进行针对性分析。

目前无证据表明单纯服用阿司匹林或氯吡格雷会增加椎管内麻醉时血肿的风险,但对于联合双抗的患者,建议避免采用椎管内麻醉,因为椎管内血肿的风险会升高。对使用低分子肝素的患者,可以在停药10~12h后进行椎管内麻醉。外周神经阻滞更多是一种镇痛手段,可以做为全身麻醉的辅助,也可以作为术后多模式镇痛的一部分。

五、康复与并发症预防

积极的康复锻炼对降低卧床并发症发生率、恢复髋关节功能、促进骨折愈合至关重要。建议术后在良好的疼痛管理基础上早期开始床上踝泵及直腿抬高锻炼,建议在助行器的帮助下早期下床站立及行走。

患者术后并发症主要为切口感染,褥疮,肺部感染,褥疮,泌尿系感染等。自患者就诊时起,包括整个住院和康复过程,都应该进行褥疮风险的评估。

对足跟、骶尾部等褥疮的高危部位,可用软垫进行保护。对褥疮的高危患者,建议选用可调节压力的充气床垫。鼓励患者坐起活动,进行呼吸训练,以预防肺部感染。老年患者易发生吞咽困难而导致吸入性肺炎,应加强护理。除非必要,应尽量避免应用导尿管。谵妄在老年股骨转子间骨折患者手术前后很常见,要注意预防、评估和处理。骨折后便秘较为常见,要注意预防和治疗。

老年股骨转子间骨折是静脉血栓的高危人群,建议常规预防。预防措施包括基本预防、物理预防和药物预防。基本预防包括尽早手术、缩短手术时间、减少手术创伤、围手术期适度补液及尽早开始康复锻炼等。物理预防包括足底静脉泵、间歇充气加压装置及梯度弹力袜等。可以选择的预防药物包括普通肝素、低分子肝素、磺达肝素、华法林、阿司匹林等,其中低分子肝素是首选,用药时间为10~14d,可以延长至术后35d。

六、家庭护理

老年人骨折的预防及术后恢复,与家庭护理密切相关,良好的家庭护理可降低老年人骨质疏松性骨折几率,提高生活质量,降低术后并发症几率。具体包括定期体检,科学的抗骨质疏松治疗,适量的锻炼,专人照顾,与家人便捷的通讯等,此外还有对居住环境的改装,如在厕所、厨房等地放置防滑垫、扶手,在楼梯上安置传动装置,桌角包胶等。

我国是世界上老年人口规模最大的国家,目前进入高速老龄化时期,最终会转向重度老龄化,老年转子间骨折的诊治是骨科医生需共同面对的难题,相信随着我们的努力,“姥姥”们能够得到更好的治疗。(单独放)

已评论0

请您登录后再评论

页面

返回顶部
订阅 RSS - 上肢骨折