小儿骨科

首页 >> 热点关注 >> 正文

Ilizarov技术结合非融合理念矫治创伤后马蹄内翻足

来源:骨科在线 编号 : #130247#
2017-01-11
我要评论

 创伤导致的马蹄内翻足是足踝部常见畸形之一。传统矫形方法需切开行足三关节截骨融合,通过大量切除跗骨组织达到目的,但外伤后的马蹄内翻足患者软组织情况较差,不宜行较大的侵入性手术。Ilizarov环形外固定矫形器根据张力-应力法则,通过微创安置,任意改变环形结构,使局部软组织条件差的足踝部畸形逐步矫正,为创伤后马蹄内翻足畸形提供了一种新的治疗选择。2011年2月-2012年4月我们应用Ilizarov技术治疗42例创伤后马蹄内翻足,效果满意。报告如下。

  1 临床资料

  1.1 患者纳入标准

  ①外伤性马蹄内翻足;②无僵硬马蹄足畸形;③X线片示骨骺线已闭合。2011年2月-2012年4月,共42例患者符合选择标准纳入研究。

  1.2 一般资料

  本组男29例,女13例;年龄17~55岁,平均34.3岁。左足24例,右足18例。致伤原因:交通事故伤22例,高处坠落伤10例,机器绞榨伤5例,重物砸伤4例,爆炸伤1例。胫骨干开放性骨折合并前外侧肌群缺损或感染17例,胫骨远端合并跟骨骨折8例,胫骨平台骨折伴跟骨骨折8例,腓总神经损伤伴跟腱挛缩4例,胫骨骨折致小腿骨筋膜室综合征伴跟腱挛缩5例。患者小腿下段和/或足踝部均有不同程度瘢痕形成;均有行走障碍,足跟不能着地,用足外缘或足尖行走。病程6个月~6年,平均2.7年。

  1.3 手术方法

  根据畸形情况设计治疗方案,术前根据畸形及踝正侧位、足正侧斜位X线片设计并组装外支架。患者于全麻(27例)或椎管内麻醉(15例)下取仰卧位,均在气压止血带下手术。将组装好的Ilizarov环形支架套于患肢上,小腿两环平行踝关节面,以踝关节平面为旋转中心,内低外高,两侧安装可旋转的铰链关节,前足与跟部安置可伸缩的螺纹杆及组件。跨踝安置一长的牵拉螺纹杆,高弓足者足底安置牵拉螺纹杆。本组患者选择全炭环10例,钢环32例。小腿中上段1个全环,用1根2.0~2.5mm克氏针贯穿固定,另用4.0mm Schanz钉于胫骨前方固定;小腿远端1个全环,用2根2.0~2.5mm克氏针贯穿胫骨交叉固定(角度30~40°);跟部为1个半环,用2.5mm克氏针贯穿跟骨,另取2根半针成角固定;前足1个半环,用1根2.0~2.5mm克氏针于干骺贯穿5根跖骨,注意该针从跖骨中心穿过,平面在跖骨干,31例前足内收畸形较严重者于第1跖骨侧予以2.5mm半针增强固定。10例有较严重的高弓足者在足底加1个半环。根据患者畸形情况选择以下3种微创软组织松解方式:①跟腱微创延长术:本组5例既往跟腱延长失败、外伤或烧伤瘢痕挛缩马蹄足畸形者,于跟腱止点部近端1.5cm和4~6cm处,用11号尖刀分别切断跟腱的内侧和外侧半,背伸踝关节,使切断的跟腱分离。②经皮跖筋膜松解术:本组3例跖筋膜有挛缩且存在高弓足患者,绷紧跖腱膜后,于足底内侧用11号尖刀刺入,切断紧张的跖筋膜,用小骨膜起子探入后作剥离松解。③跟骨微型截骨术:本组3例矫形后有跟骨内翻者,行跟骨外侧切口,使用微型截骨器外翻截骨后纠正畸形,同时予以2枚无头加压空心钉(Acumed)垂直骨折线固定。

  1.4 术后处理及评价指标

  患者术后即可扶拐非负重行走,主被动练习跖趾、趾间关节背伸,术后24h使用抗生素预防感染。围绕固定针用纱布挤压固定皮肤,教患者自行用生理盐水冲洗针道,同时用莫匹罗星软膏(百多邦)涂抹针道。根据术后复查踝关节正侧位X线片,对关节间隙狭窄者牵开踝关节5~7mm,避免踝关节软骨受压。

  术后3~7d根据畸形情况旋转相应的螺纹杆和关节铰链逐渐矫正足畸形。矫形顺序:先矫正前足内收及后足内翻畸形,然后旋转踝前后方的螺纹杆长度,通过后方的推拉和前方的上提逐渐矫正跖屈畸形。以六边形螺母的面为参照,第1周旋转螺母3~4面/次、3~4次/d,1周后2面/次、3次/d。矫形速度应先快后慢,并根据患者反应、瘢痕畸形程度调节速度;若疼痛明显、瘢痕及皮肤张力过大,需暂停2~3d。第1个月每2周复查踝关节X线片观察是否有脱位,1个月后每月复查。定期随访6个月,开始调整支架后即嘱患者扶拐部分负重行走。

  矫形基本满意后,于足底安放软厚鞋垫,在支架保护下负重行走。8~12周使矫正后的纤维瘢痕组织、骨与关节结构遵循Woff定律重新构建后拆除外支架,佩戴行走支具和睡眠支具至少16周。手术前后采用美国矫形足踝协会(AOFAS)踝与后足评分系统评价功能,采用疼痛视觉模拟评分(VAS)评价疼痛改善情况。

  1.5 统计学方法

  采用SPSS12.0统计软件进行分析。数据以均数±标准差表示,手术前后比较采用配对t检验;检验水准取双侧α=0.05。

  2 结果

  本组手术时间20~100min,平均40.6mim;术中出血量5~10mL,平均7.6mL。42例均获随访,随访时间10~24个月,平均14.3个月。术后4~13周,平均6.8周患侧踝关节恢复中立位;继续佩戴外支架行走10~16周,平均10.7周。2例患者各有1处针道轻度感染,经加强针道护理换药后缓解;1例发生前足克氏针断裂,及时更换后无异常;2例拆除外支架后常速行走时轻度疼痛(VAS评分分别为4、5分),予以口服止痛药加外用非甾体抗炎药物疼痛缓解。所有患者无血管、神经损伤。3例因患者自身原因于术后10周内拆除外支架后足跖屈畸形复发,跖屈畸形10°,未作特殊处理。末次随访时,患者均能弃拐正常行走。AOFAS评分为(93.4±8.0)分,较术前(52.7±10.1)分显著增加,比较差异有统计学意义(t=—7.035,P=0.008);AOFAS综合评分获优24例,良14例,一般2例,差2例,优良率90.5%。VAS评分为(3.51±1.44)分,较术前(7.55±1.39)分明显降低,差异有统计学意义(t=—0.564,P=0.025)。

  3 典型病例

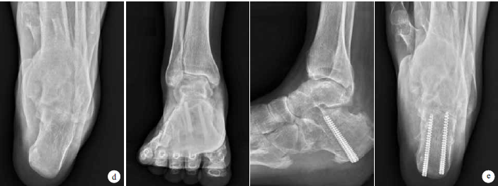
  患者 男,27岁。因“重物砸伤致右下肢马蹄内翻足畸形1余年”入院。查体:足跖屈、前足内收、后足内翻畸形,右小腿、足踝部大量贴骨瘢痕。诊断为创伤后右马蹄内翻足。术前AOFAS评分为4分,VAS评分为8分。入院后行右马蹄内翻足Ilizarov外支架矫形术,逐步调整外支架;术后1个月患足跖屈、内收畸形得到纠正,拆除外支架后佩戴行走支具及睡眠支具,但患者后足内翻未得到纠正。6个月后患者再次入院行跟骨截骨矫形空心钉内固定,术后后足内翻纠正。术后18个月随访时走平路、上下楼梯基本正常;AOFAS评分94分,评价为优;VAS评分3分。见图1。

  4 讨论

  4.1 瘢痕挛缩的创伤后马蹄内翻足

  下肢创伤急性期不仅会引起皮肤软组织缺损及肌肉组织坏死、变性、挛缩,还会导致严重的神经(腓总神经)、血管、韧带、关节囊变性,一般小腿三头肌结构和功能损伤相对较轻,跖屈功能尚可全部或部分保存,从而导致马蹄内翻足畸形;另外,在处理小腿及以远的骨折及软组织损伤过程中,常忽略小腿三头肌的挛缩,创伤后的小腿骨筋膜室综合征可导致肌肉变性而丧失收缩功能。因此,创伤后马蹄内翻足一般会伴软组织瘢痕及挛缩,软组织条件极差,不适宜行开放手术。此类畸形需要一种更加微创、更利于保护软组织的矫正方式。

  4.2 Ilizarov技术矫正马蹄内翻足的张力-应力法则

  张力-应力法则是通过大量动物实验研究发现的一个生物学理论。生物组织受到缓慢、持续牵伸产生一定张力,可刺激组织再生和活跃生长,其生长方式为细胞分裂。由于肢体是复合组织,所有被牵拉的骨与软组织皆出现再生与重建过程,简称“牵拉组织再生技术”。Ilizarov 三维器械构型与技术特点适于创伤后严重足踝畸形的矫正。

  本组患者均安装的是非限制性Ilizarov外支架,术中首先要确定踝关节的旋转中心,马蹄内翻足畸形外踝高于内踝,因此外支架的旋转中心调整为外高内低位,在术后矫形过程中发现旋转中心随着畸形的矫正逐步回归正常。对于外支架的固定,成人均使用直径2.5mm全长克氏针交叉固定,儿童予以2.0mm克氏针固定,交叉固定的角度越大越利于系统稳定性;从肌间隙进针,避免损伤重要神经、血管及形成拴桩效应;最近端的全环加用直径4.0mm Schanz钉加强固定,亦有利于避开重要血管、神经;前足牵拉侧及撑开侧予以半针加强。本组术后无重要血管、神经损伤,仅1例患者由于足形较大(达48cm)发生前足克氏针断裂,及时更换后无异常。综合来看直径2.5mm克氏针固定效果确切。

  对于单纯跟腱挛缩患者,我们仅在肢体上贯穿2.0mm或2.5mm克氏针,矫正过程中未再额外采取任何手术,治疗完毕未发现跖屈畸形。对于跟腱挛缩较严重的患者,若单纯采用Ilizarov外支架作背伸牵引,不能很好达到矫正跖屈畸形的目的,本组5例一期行跟腱微创延长,术后经半年随访发现患者跖屈畸形均纠正良好。本组未行跟腱微创松解的患者跖屈畸形亦得到了良好矫正,这与国内外研究结果类似,因此是否有必要行跟腱微创松解还需进一步观察。

  4.3 矫形速度及矫形后处理

Bradish等认为外支架矫形速度应不超过1mm/d。本组在3~5d急性疼痛期后,第1周开始旋转螺母3~4面/次、3~4次/d,1周后2面/次、3次/d,获得了较好结果。我们认为,术后第1周快速牵拉主要作用于跟腱及踝关节周围粘连和挛缩的软组织,使其受到直接张力,在一定程度上被机械性拉长;1周后按理论矫正速度和频率进行拉伸,跟腱及踝周围粘连和挛缩的软组织继续受到直接张力被机械性拉长,当到达牵伸极限后发生组织再生。有研究认为矫形成功后外支架佩戴行走1个月左右,去除外支架后支具佩戴时间应尽量长,防止矫形丢失,特别是对于未成年人,大部分学者认为佩戴支具时间应在2~3个月。本组患者负重行走8~12周后拆除外支架,佩戴行走支具和睡眠支具至少16周,患者对行走及睡眠支具耐受性较好,无1例发生矫形丢失。

1 典型病例 a术前右足正位、侧位及后位像 b术前右足侧位X线片 c术后1个月右足正位、外侧位、内侧位及后位像 d拆除外支架后跟骨轴位X线片示跟骨内翻 e跟骨矫形术后18个月正位、侧位及轴位X线片

  4.4 并发症防治

  严重马蹄内翻足患者因软组织及骨质长期代偿,处于一种畸形状态,Ilizarov外支架矫形是一种缓慢牵引、生长的过程,固定螺钉和针对软组织及骨膜有刺激,疼痛症状不可避免。本组患者均常规口服非甾体抗炎药物,急性期予以冰敷患肢。术后VAS疼痛评分均在5分以下,能够正常进行功能锻炼。

  Lee等认为外伤后残留的马蹄内翻足均存在神经肌肉病变,外支架虽能矫正畸形,但不能长期维持矫正效果,软组织松解及肌腱转移可解决肌力不平衡,维持远期效果。本组有3例因患者自身原因拆除外支架后足畸形复发,均为佩戴外支架时间<10周者,说明瘢痕纤维组织仍可能回缩,提示后期治疗时足踝畸形矫正后应延长外支架佩戴时间,嘱患足完全负重行走≥10周再拆除外支架,术后严格佩戴行走支具和睡眠支具,必要时配合穿矫形鞋,一般可避免畸形复发。

  针道感染与一期手术时皮肤张力及针的温度有关,瘢痕挛缩患者皮肤张力较高,在穿针过程中应密切注意张力变化情况,若张力高,针道周围需作部分松解,我们在针的远份用11号尖刀片顺肢体方向作2mm小切口松解;进针过程中用酒精纱布将针包裹,以免穿透近侧皮质,再用骨锤敲击打穿对侧皮质;围绕固定针用纱布挤压固定皮肤,减轻皮肤与针间摩擦,以免诱发感染;术后针道护理均予以生理盐水冲洗,不刺激皮肤,同时予以莫匹罗星软膏涂抹针道,通过油脂性膏剂避免患者换药时疼痛剧烈,同时也可有效预防感染。本组仅2例患者各有1处针道轻度感染,经加强针道护理换药后缓解。

  综上述,Ilizarov外支架通过微创、张力-应力法则矫正马蹄内翻足畸形,不增加肌肉软组织损伤,特别对创伤后残留大量瘢痕、软组织情况极差、无法行开放手术的患者,提供了一种新途径。


 参考文献()


1 四川大学华西医院西藏成办分院骨科;

2 四川大学华西医院骨科

李浪1,2 黄奇1 高峰1 张晖2


已评论0

请您登录后再评论

页面

返回顶部
订阅 RSS - 小儿骨科