https://v.qq.com/x/page/p0360w2m10t.html

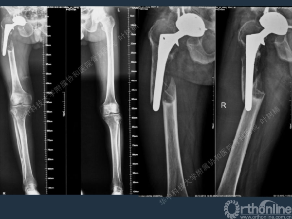
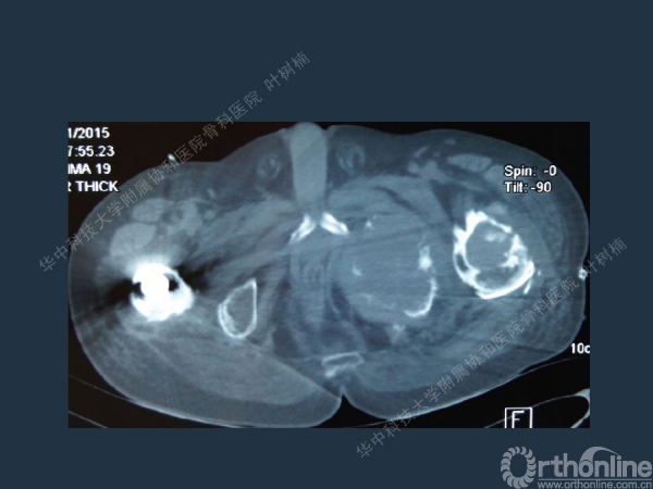
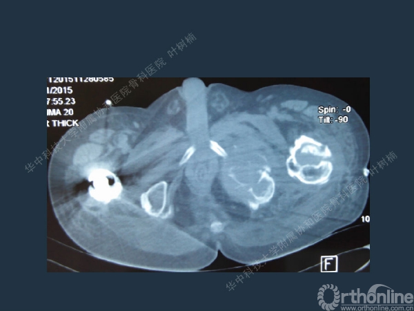
股骨侧翻修
































髋臼缺损的处理


















视频





























作者简介:

叶树楠,副教授,副主任医师,硕士生导师,博士。
学习经历:
2000年,毕业于同济医科大学93级七年制专业;2002年-2005年,华中科技大学附属协和医院骨外科攻读博士研究生;2007年,德国参加人工关节培训班学习深造;2009年,法国参加人工关节培训班学习深造;2011年,美国哈佛大学医学院博士后;2012年,美国哈佛大学医学院附属麻省总医院骨科交流学者。
工作经历:
2000年-2011年,华中科技大学附属协和医院骨科医院关节中心,主治医师;2011年至今,华中科技大学附属协和医院骨科医院关节中心,副教授,副主任医师,硕士生导师;2008年,汶川大地震时期,曾作为支援医疗队专家成员派往绵阳,治疗地震伤员。
科研经历:
1.IPS重编程的骨髓间充质干细胞对激素性股骨头坏死的防治研究,国家自然科学基金面上项目,项目主持人。
2.探讨表观遗传修饰抑制Wnt信号通路在激素性股骨头坏死发病机制中的作用,国家自然科学基金面上项目,项目主持人。
3.细胞因子微球复合内皮细胞水凝胶诱导缺血骨坏死血管化,华中科技大学自主创新研究基金资助项目,项目主持人。
4.糖基化工程及NO供体调控UC-MSC靶向趋化转移性骨肿瘤,湖北省自然科学基金,项目主持人。
5.治疗软组织缺损新型缓释水凝胶及引流系统的开发,武汉市科技攻关,项目主持人。
国际SCI英文杂志发表论文10余篇,参编学术专著9本。
获奖情况:
2010年,同种异体骨支撑架结合自体骨植入治疗股骨头坏死的实验及临床研究,获湖北省科技进步二等奖;2014年,自主创新同种异体骨支架植入治疗股骨头坏死的关键技术突破与推广,获湖北省科技推广一等奖。
社会任职:
SCIOT中国部关节学组委员;SCIOT中国部3D数字骨科学组委员;中国医药教育协会骨科专业委员会脊柱分会委员;中国医药生物技术协会骨组织库分会委员;湖北省骨质疏松学会委员。
专业特长:
股骨头坏死,髋关节发育不良,老年膝关节疾病,强直性脊柱炎,类风湿性关节炎,骨性关节炎,复杂人工关节置换及关节翻修。