郭卫
摘要: 目的 对于髋臼部位转移癌的外科治疗目前还没有统一的标准。本文回顾总结了髋臼周围转移瘤的治疗经验。资料与方法 2000年7月至2007年7月,我院共收治43例髋臼转移瘤患者。其中男性24例,女性19例,平均年龄55.3岁(29-79岁)。术前21例有明确恶性肿瘤原发灶,10例术前活检证实转移瘤。其余12例根据术前检查临床诊断为转移瘤,术后病理证实为转移瘤。其中乳腺癌8例,肺癌6例,肾癌7例,甲状腺癌4例,膀胱癌2例,前列腺癌4例,肝癌3例,胃肠道癌2例,妇科肿瘤2例,其他肿瘤2例,不明来源转移瘤3例。43例患者中,12例为骨盆孤立性转移灶,31例为多发性骨转移。肿瘤切除及重建方法:采用刮除术35例,整块切除8例。重建方式包括骨水泥型全髋置换、或网杯加固髋臼+全髋置换12例, 带翼网杯+全髋置换16例,斯氏针骨水泥加固髋臼顶、网杯+全髋置换7例,可调试半骨盆假体置换8例。结果 所有患者均平稳度过围手术期。43例髋臼周围转移瘤患者中11例失随访,随访时间6-36个月,平均18个月。患者术前均存在不同程度的髋部或腿部疼痛,多数负重时疼痛明显加重,术前疼痛评分平均7.2分,手术治疗后41例(95.4%)有不同程度疼痛缓解和行走能力恢复,术后疼痛评分平均3.5分。功能评分平均24.5分。随访32例患者中, 6例(18.5%, 6/32)患者出现局部复发,其中仅1例为采取整块切除的病例,其余均为刮除病例,平均复发时间为术后6.6个月。 随访期间死亡14例(14/32, 43.7%)。术中平均出血量1600ml,3例肾癌转移出血量超过3000ml。主要并发症包括2例伤口感染、1例多器官功能衰竭、2例假体脱位。 结论 对于髋臼转移癌导致严重疼痛和行走困难的病人,外科治疗可以缓解症状。手术目的是缓解疼痛,力求恢复和维持髋关节的活动度和稳定性。手术方式以病灶内手术为主。对于单发的、预后较好的骨转移病灶,可行广泛切除。
The Strategy of Surgical Treatment of Metastatic Periacetabular Tumors
Wei Guo
Objective: The treatments of periacetabular metastases still remain diverse without a standard protocol. We retrospectively viewed our experience with different surgical procedures for periacetabular metastases. Materials and Methods: We operated on 43 patients with periacetabular metastases between July 1998 and July 2007. The patient population consisted of 24 males and 19 females, with the average age of 55.3 years (range from 29-79). There were 21 patients with primary malignant tumors at the beginning, and 10 patients diagnosed metastases by preoperative biopsy. The other 12 patients presented skeletal involved as initial manifestations of metastases prior to the pathological diagnosis of the primary tumor. The pathological diagnoses included carcinomas of breast (eight), lung (six), renal (seven), thyroid (four), bladder (two), prostate (four), liver (three), gastrointestinal (two), gynecological (two), other cancers (two) and unknown primary lesions (three). Twelve patients had solitary metastasis and the others had multiple bone metastases. The Surgical procedure included curettage (thirty-five) and en blot excision (eight). The techniques of reconstruction of acetabular defect included total hip replacement (THR) with cemented components or titanium acetabular reconstruction cup (twelve), THR with partial pelvis replacement with Candal Hook (sixteen), THR with Steinmann pins and cement augmented or titanium cup reconstruction (seven), and modular hemipelvic prosthesis reconstruction (eight). Results: All the patients received successful operations. We followed up 32 of 43 patients with periacetabular metastases, and the follow-up time ranged from 6 to 36 months with an average time of 18 months. Most patients had pain around the hips or the legs, even worse with weight-bearing forces. We prospectively assessed the average score for preoperative pain of 7.2. 41 patients (95.4%) were evaluated for relief of pain and resumption of walking, and the pain score improved to 3.5 after surgery. The average functional score was 24.5 postoperatively. Six of 32 patients had local recurrence during the follow-up, one of those treated by en blot resection and the others by curettage. The average time from surgery to local recurrence was 6.6 months. Fourteen patients died of diseases during follow-up period. The average blood loss during the operation was 1600ml in 43 patients and the bleeding exceeded 3000ml was in 3 patients with renal carcinomas. Major complications included two superficial wound infections, one multiple organ failure and two dislocations. Conclusions: Periacetabular reconstruction for metastatic disease can lead to marked improvement in pain relief, and functional restoration of hip joint. The intralesional excision was the major surgical procedure for the metastatic lesion around acetabulum, but wide margins could be obtained in patients the solitary metastasis.
骨盆是转移瘤的好发部位。与原发骨肿瘤不同,转移癌的控制主要依赖于放、化疗或激素治疗。但髋臼周围的转移瘤通常可导致严重疼痛和髋关节功能障碍,限制负重或单纯放疗均不能缓解。对于骨盆破坏后导致严重疼痛和行走困难的病人,常需要外科治疗以缓解症状(1-3)。对于髋臼部位的转移癌治疗,没有统一的标准,治疗中存在一定的困难。本文回顾总结了我们近年来对不同类型的髋臼周围转移瘤的治疗经验,探讨恰当的转移性髋臼肿瘤的治疗方法。
一、资料与方法
2000年7月至2007年7月,我院共收治43例髋臼转移瘤患者,男24例,女19例,平均年龄55.3岁(29-79岁),术前21例有明确恶性肿瘤原发灶,10例术前活检证实转移瘤,其余12例根据术前检查临床诊断为转移瘤,术后病理证实为转移瘤。其中乳腺癌8例,肺癌6例,肾癌7例,甲状腺癌4例,膀胱癌2例,前列腺癌4例,肝癌3例,胃肠道癌2例,妇科肿瘤2例,其他肿瘤2例,不明来源转移瘤3例。经X线、CT、MRI及全身骨扫描(ECT)骨质破坏检查显示,43例患者中,12例为骨盆孤立性转移灶,31例为多发性骨转移。
根据Enneking骨盆分区(4),单纯累及II区22例,I+II区11例,II+III区10例。
Harrington(1)根据肿瘤破坏髋臼的部位及范围,将髋臼转移癌缺损进行分型。I型:髋臼下壁骨质破坏, 内侧壁、外侧壁、髋臼上壁皮质完整;II型:髋臼内侧壁骨质破坏;III型:髋臼外侧壁、内侧壁、上壁骨质破坏; IV型:孤立性转移, 以治愈为目的的肿瘤。
本组病例中不同部位髋臼转移癌的手术方式(图1):I型:髋臼下壁骨破坏、上壁及内、外侧壁完整, 采用肿瘤刮除、普通水泥型全髋置换术。II型:髋臼内、外侧壁破坏,上壁骨质完整, 采用带翼网杯+水泥型全髋置换术。 III型:髋臼上壁及内、外侧壁均破坏,采用肿瘤刮除后、骨水泥填充髋臼上壁骨缺损,带翼网杯+水泥型全髋或组合式人工半骨盆。IV型:孤立性骨盆转移, 以治愈为目的, 采用肿瘤整块切除,组合式人工半盆置换术。
肿瘤切除及重建方法:采用刮除术35例,整块切除8例。重建方式包括骨水泥型全髋置换、或网杯加固髋臼+全髋置换12例, 带翼网杯+全髋置换16例,斯氏针骨水泥加固髋臼顶、网杯+全髋置换7例,可调试半骨盆假体置换8例。术后每3个月对患者进行随访至术后1年,其后根据患者具体情况进行随访。采用MSTS93保肢功能评价标准进行功能评价,同时采用疼痛等级评定对术前和术后疼痛进行比较,疼痛分级按照数字分级法(NRS法)评定。术后肺癌、乳腺癌病人均接受了全身化疗,肾癌病人进行免疫治疗及药物治疗,甲状腺癌进行放射性碘131治疗。21例患者术后接受局部放疗。对于较大的、预计术中出血多的肿瘤,如肾癌、甲状腺癌、肝癌等患者,术中常规结扎患侧髂内动脉,临时阻断髂总或腹主动脉以减少术中出血。
二、结果
所有患者均平稳度过围手术期。43例髋臼周围转移瘤患者中11例失随访,随访时间6-36个月,平均18个月。患者术前均存在不同程度的髋部或腿部疼痛,多数负重时疼痛明显加重,术前疼痛评分平均7.2分,手术治疗后41例(95.4%)有不同程度疼痛缓解和行走能力恢复,术后疼痛评分平均3.5分。随访32例患者中,6例(18.5%, 6/32)患者出现局部复发,其中仅1例为采取整块切除的病例,其余均为刮除病例,平均复发时间为术后6.6个月。随访期间死亡14例(14/32, 43.7%), 包括6例肺癌、3例肝癌、2例前列腺癌、1例甲状腺癌、1例乳腺癌、1例胆管癌。 术中平均出血量1300ml, 3例肾癌转移出血量超过3000ml。 术后MSTS93功能评分:43例患者术后功能平均评分24.5分。 12例骨水泥型全髋置换的患者,术后均能正常下地行走,平均MSTS评分26分,16例带翼网杯+全髋置换的患者,13例术后6周扶拐下地行走,MSTS功能评分平均21.5分;7例斯氏针骨水泥加固髋臼顶、网杯+全髋置换的患者,平均约21分;8例可调试半骨盆假体置换的患者,平均约23.3分。主要并发症包括,2例伤口感染、1例多器官功能衰竭、2例假体脱位。髋臼转移瘤患者术后均转往其他科室行辅助性放化疗。
三、讨论
(一)骨盆转移瘤外科治疗目的及手术适应症的选择
对于骨盆转移癌导致严重疼痛和行走困难的病人,外科治疗可以缓解症状。手术目的是缓解疼痛,力求恢复和维持髋关节的活动度和稳定性,可负重走路。手术方式以刮除后骨水泥填充为主(1-3)。对于单发的、预后较好的骨转移病灶,可行广泛切除(5,6)。例如,肾癌骨转移的患者预期生存时间较长,而肿瘤对放疗不敏感,这种情况下就需要切除骨转移病灶。对于患者预期生存期在6个月以上,孤立性骨转移或重要部位的骨转移只有一处,全身状况良好者应考虑手术治疗。骨盆转移癌外科治疗目的包括:1、最大可能的切除肿瘤,采用适当的方法重建骨盆的缺损;2、通过清除肿瘤病灶缓解疼痛,减少疼痛药物的使用;3、改善患者功能,恢复一定的生活、工作,提高生活质量;4、通过手术取材明确诊断,以便采用合适的放化疗等辅助性治疗。转移瘤切除是否能够延长患者的生存期目前尚不能肯定,但对于临床预后较好的恶性肿瘤,如乳腺癌、甲状腺癌等,病人生存期较长,应采取积极的外科手术治疗,消除症状,改善生活质量。目前,骨盆转移瘤的外科治疗仍然面临许多问题,其中最重要的问题是如何综合判断患者的手术适应症及手术时机。 在对转移癌患者进行外科治疗前首先要观察患者的全身状况,其次考虑肿瘤的性质、患者可能的生存期、转移灶的数量、病损的范围以及患者的生活期望等。
(二)髋臼周围转移瘤的切除重建
髋臼周围转移瘤破坏常导致股骨头逐渐向髋臼顶部及内侧移位,有时可发生髋臼骨折或塌陷。 即便进行了有效的放疗后仍可能因为局部骨破坏及放疗导致的骨坏死而发生病理骨折或关节塌陷。外科重建时需要保留髋关节修复骨缺损,以保证向脊柱方向的力量传导。外科手术重建的目标包括防止病理骨折及中心性脱位,缓解疼痛和迅速的术后功能恢复,同时要考虑术后放疗的问题。在处理转移性髋臼周围肿瘤时应有别于原发性骨盆肿瘤的治疗,由于病人生存期较短,髋臼周围转移性肿瘤切除或刮除后,要求采用简单、迅速稳定的方法进行骨盆和关节重建。因为多数转移性髋臼周围肿瘤为多发,处理原则应该是姑息性手术,而非彻底性手术。为达到这些目标最佳的选择是采用水泥型的全髋置换,带翼网杯重建髋臼缺损等。 手术多采用刮除、而非大块切除手术。不宜采用关节融合、异体骨移植、瘤骨灭活再植等重建髋臼肿瘤切除后骨缺损,因为上述方法复杂、骨愈合时间长、并发症多。可采用斯氏针、钢板、钉棒系统等联合应用骨水泥重建髋臼及髋关节。治疗骨转移瘤时应尽量避免需要骨性愈合的过程。
当全髋关节置换用于髋臼转移癌的手术时,需要根据骨破坏的程度、股骨头移位情况采取与常规髋关节置换不同的技术和器械。多数情况下,髋臼部分采用骨水泥固定。如果骨破坏较小,股骨头移位不明显,应用普通骨水泥型髋臼可取得良好效果。如果髋臼周围骨质因转移瘤或放疗后骨坏死大范围破坏,在安装髋臼假体时就需要特殊技术。因为残留的骨质难以防止髋臼组件的移位和松动,所以普通的全髋置换难以成功。骨水泥可以抵抗压力,但不能抵抗剪切应力。用骨水泥来连接大范围的骨缺损并固定髋臼部件的失败率较高。如将髋臼组件安装在高于正常、直接与残存髂骨接触的位置,也容易导致重建失败。股骨部分的假体可以采用常规水泥型全髋置换柄。术前应对整个股骨全长进行X线及骨扫描检查。1981年Harrington根据肿瘤的部位、骨破坏的程度,以及稳定固定的特殊技术要求对髋臼转移癌缺损进行了分类(1)。
Ⅰ型:髋臼外侧皮质,上方及内侧壁完好,髋臼下及前后方破坏缺损。可以采用骨水泥固定的普通全髋置换术以达到长期牢固固定。手术入路一般采用后外侧入路,不需要大转子截骨,可在髋臼深部放置金属网以加强骨水泥的固定效果,阻挡股骨头向内移位。术后第一天病人即可在耐受范围内下地活动并完全负重。
Ⅱ型:髋臼内侧壁缺损,而周边骨质完好。采用普通髋臼会导致假体及骨水泥早期向内侧移位。对于这种情况,应采用特殊设计的带翼髋臼网杯将应力引至髋臼缘。安装时在保持髋臼假体正确解剖位置的同时需注意将网杯的翼放置在完整的髋臼缘,因为部分髋臼边缘可能存在破坏。可以采用后外侧入路,通常无需大转子截骨,尽量使用长颈人工头,以防止粗隆部撞击网杯延伸缘。股骨粗隆部,股骨干有潜在骨折时,应使用长柄髓内针的人工股骨头。术后第一天病人即可下地负重活动。
Ⅲ型:髋臼内壁、顶部及外侧壁均破坏。仅使用带翼网杯的全髋假体是不够的。在这种情况下,需要在骨盆缺损处放置数根斯氏针以便于将位于解剖位置的髋臼假体所承受的应力传导至脊柱(1-3)。在大多数髋臼周围破坏广泛的病例,需要采用扩大的髂股骨切口入路,以便于探查骨盆内外侧区域。在显露清楚后,自髋臼缺损处沿残留的正常髂骨向骶髂关节方向钻入2-3根斯氏针,并越过关节达到骶骨。应采用较粗的斯氏针,术中还需要X线监测以保证斯氏针的位置。在钻入斯氏针的同时,应用手指触摸坐骨切迹,以保证斯氏针的方向,防止其穿入骨盆内壁。当髋臼缺损较大时,还可以自前部髂嵴向前柱的耻骨及后柱的坐骨钻入更多的斯氏针做进一步的加强。在髋臼假体顶部切断斯氏针,并安装带翼网杯,在髋臼深部可以用金属钛网加强骨水泥固定。术后病人可全部负重行走,但需置患肢外展中立位约4周时间以防止脱位。也有采用马鞍式假体置换的报道, Benevenia等对20例髋臼III型转移瘤患者进行了马鞍假体置换,术后MSTS 93评分平均16.6分,多数病人可以扶拐行走(5)。对于髋臼上壁及内、外侧壁均破坏的HarringtonIII型患者,本组病例中,有7例患者采用了肿瘤刮除后、于骶髂关节处植入3-4枚斯氏针, 骨水泥填充髋臼上壁骨缺损,水泥型全髋重建髋关节。其中,有2例患者出现下地后髋部痛疼,负重时髋部不稳定。考虑为负重时骶骨内斯氏针承受较大剪力, 出现髋关节不稳。因此,在本组病例中,我们对4例Ⅲ型患者实施了整块切除、可调式人工半骨盆置换术。术后6周患者可以扶拐下地行走。平均MSTS93评分为23.3分。
Ⅳ型:为了达到治愈而需要进行整块的髋臼切除。对于部分单一髋臼转移的病例,以及髋臼周围骨质破坏范围较大的病变,在广泛切除肿瘤后,重建髋关节(内半盆切除)有时较为困难。在这些病例,可以选择马鞍式假体。这种方法最开始用于全髋关节置换术后的骨缺损,后来也用于原发或转移性髋臼肿瘤的治疗。也可以选用带有固定翼,能固定于残存髂骨和耻骨支的定制型髋臼假体(7-9)。这种假体制作前通常需要进行CT模拟重建设计。固定方式常用螺丝钉和骨水泥。有时想要应用定制型假体达到理想的固定位置较为困难。对于骨盆环的完整性重建,纵向稳定是极其重要的,同时要考虑人工假体在术中的可操作性。定制型骨盆假体为非组配式,其髂骨固定螺钉是单轴向的,不能根据术中截骨情况调整假体,固定也不够牢固。 我们设计使用的可调式半骨盆假体,其髂骨固定钉改为双轴向或多轴向固定,假体与骨之间的界面为垂直压力、而非剪力,增加了稳定性,同时可以根据髂骨截骨的高度选择颈长的臼杯,利于安装和保持骨盆平衡(10)。组配式骨盆假体还考虑到骨盆纵向和侧方的稳定因素, 尽量达到恢复骨盆环连续性和稳定性的目的。对于髂骨区和髋臼上缘的骨缺损重建,钉棒系统简单,易于操作,但固定钉在骨内的应力较大,容易在负重的情况下对骨质产生切割,尤其骨质疏松的病人固定更加不稳,因此需用骨水泥加强。由于组配式人工骨盆是一个组合装置,因而体积较小,便于软组织覆盖,伤口感染率大大下降。
髋臼转移癌的病人进行全髋置换和髋臼重建可以显著缓解疼痛、提高功能,但有时由于病人一般情况较差、手术过程复杂、创面较大,可能会出现较高的围手术期并发症。髋臼周围转移瘤切除重建方法要根据髋臼周围的骨质破坏情况具体选择,同时还要辅助术后有效的放化疗。
参考文献
1. Harrington KD: The management of acetabular insufficiency secondary to metastatic malignant disease. J Bone Joint Surg [Am] 1981;63:653-664.
2. Vincent E.Vena, James Hsu: Pelvic reconstruction for severe periacetabular metastatic disease. Clin Orthop,1999, NO.362:171-180.
3. Johan Nilsson, Pelle Gustafson: The Harrington reconstruction for advanced periacetabular metastatic destruction. Acta Orthop Scand 2000;71(6):591-596.
4. Enneking WF, Dunham WK. Resection and Reconstruction for Primary Neoplasms Involving the Innominate Bone. J Bone Joint Surg [Am] 1978;60:731.
5. Benevenia J, Cyran, FP, Biermann JS, et al. Treatment of advanced metastatic lesions of the acetabulum using the saddle prosthesis. Clin Orthop, 2004, 426: 23-31.
6. Albert J. Aboulafia, Rich Buch, Joseph Mathews: Reconstruction using the saddle prosthesis following excision of primary and metastatic periacetabular tumors. Clin Orthop,1995, NO.314:203-213.
7. Y.Falkinstein,E.R.Ahlmann: Reconstruction of type II pelvic resection with a new peri-acetabular reconstruction endoprosthesis. J Bone Joint Surg [Br] 2008;90-B:371-6.
8. Robert L.Satcher, Richard J.O’Donnell: Reconstruction of the pelvis after resection of tumors about the acetabulum. Clin Orthop,2003, NO.409:209-217.
9. C.Hoffmann, G.Gosheger, C.Gebert: Functional results and quality of life after treatment of pelvic sarcomas involving the acetabulum. J Bone Joint Surg Am 2006;D.02488:575-582.
10. Guo Wei, Dasen Li, Xiaodong Tang, et al. Modular Hemipelvic Prosthesis Reconstruction of Acetabulem after Resection of Periacetabular Tumors. Clin Orthop, 461:180-188, 2007.

图1, 髋臼转移癌的分型示意图(北京大学人民医院)


图2,女,31岁,乳腺癌髋臼转移, Harrington I型
图3,女,55岁,肺癌髋臼转移, Harrington II型
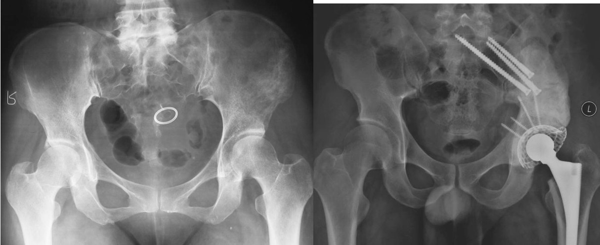
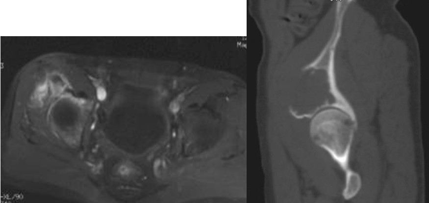
图4,女,52岁,乳腺癌髋臼转移, Harrington III型

图5,男,69岁,肾癌髋臼转移, Harrington IV型