病例讨论

首页 >> 热点关注 >> 正文

病例讨论

来源:骨科在线 编号 : #4324#
2010-10-21
我要评论

病例讨论 于XX   ID19616,460230

    患者男性 38岁,因交通事故伤致左上臂受伤,疼痛活动受限16小时入院于2003.02.10。患者伤后于其他医院行石膏外固定,转诊至我院。
    患者一般情况良好,生命体征平稳,T37.5,P84次/分,R18次/分,BP 17/10 Kpa左肘部肿胀,下端压痛,可及反常活动及骨擦感。左桡动脉搏动正常,左手感觉活动正常。
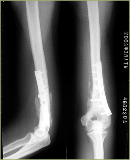
    X-RAY:左肱骨干下端皮质破裂,内侧较大楔形骨块,骨折短端重叠移位,对位对线不良,余骨折未见异常。
    患者入院后,卧床休养,进行各项入院检查未见手术禁忌,2003.2.17于全麻下进行左肱骨干骨折ORIF,取髂骨植骨术,术中输血400ml,液体2500ml。
    2003.2.18 7PM出现胸闷,心慌,大汗。检查:T37.5,P106次/分,R24次/分,BP14/8 Kpa,上下肢未见明显肿胀,进行吸氧后未见好转,血常规:WBC13.7,中性88.5%,HGB12.7,HCT35.2,PLT239,D二聚体:阴性。听诊:心脏无异常,右下肺呼吸音减低,未及肺部干湿罗音。
I导联可见小S波,III导联可见 Q波及倒置T波
V1-6未见明显心肌损伤表现
依患者临床表现,EKG表现以及经验临床考虑为肺栓塞,积极支持,抗凝治疗。平稳后进行CT检查提示:右肺下叶相当外基底段部位可见一尖端指向肺门,基底贴近胸膜之三角形,其尖端开口为细影线与肺门相连,余肺野清晰。确诊为肺栓塞。
 
 
    考虑患者肺部栓塞部位及范围,以及术后不足24小时,存在出血可能,未给予RT-PA溶栓,积极吸氧,积极低分子肝素抗凝,解痉,扩容,监测凝血机能。复查D-二聚体依然阴性,FIB656mg/ml。三天后病情平稳,于2.21行双下肢多普勒检查,提示右股总静脉及股深静脉血栓,给予尿激酶治疗。3.2复查胸部CT,原肺部实变区域消失。随即复查双下肢多普勒依然可见血栓,复查左上臂X光片,固定愈合良好。3.21再次复查血栓再通,患者康复出院。
讨论:
1.忽略的上肢骨折患者DVT
    在临床上,只有10%~17%的DVT患者有明显的症状。DVT发展最严重的临床特征和  体征即是肺栓塞,死亡率高达9%~50%,绝大多数死亡病例是在几分钟到几小时内死亡的。有症状和体征的DVT多见于术后、外伤、晚期癌症、昏迷和长期卧床的病人。多见于下肢骨折,而上肢骨折患者少见,也易为大家忽略。但DVT形成因素:血流减慢,高凝状态,血管内膜损伤三大因素同样存在。此患者伤后活动减少,卧床歇息,考虑是形成DVT主要诱因之一,提示大家对于上肢骨折患者,活动减少的患者同样要进行DVT标准预防,鼓励患者离床活动,降低DVT发病;术前进行双下肢多普勒检查,除外DVT。
2. 彩色多普勒及D-二聚体监测
    多篇文献报道,彩色多普勒检测敏感性大约92-95%,特异性97-100%,准确性92%。应用彩色多普勒诊断下肢深静脉血栓形成准确、快捷、经济、方便、可重复,并对临床治疗有一定的指导意义,是一种无创的、有效的检查方法,与血管检查金标准“血管造影”差异不大,主要受医师经验及检查水平影响。
3.心电图研判
    D-二聚体作为纤维蛋白的一种稳定而特异的降解产物,目前已用于多种血栓性疾病的辅助诊断,检测患者血浆D-二聚体对诊断血栓症有一定的作用,通常认为D-二聚体阴性或<500μg/L可以除外DVT。在临床上,它是作为一个诊断血栓症的阴性猜测指标。猜测值即根据诊断性试验的结果来判定受试者的患病概率的大小。通过ELISA法检测D-二聚体水平正常可以除外PE,传统的乳胶及全血凝集试验诊断敏感性低,不能用来除外PE ,此患者D-二聚体出现PE症状,及CT明确肺栓塞后,D-二聚体依然阴性,也说明存在假阴性可能。但也有报道认为,D-D检测敏感度为78.6%,特异度为19.2%,准确度为40%,阳性预测值为34.4%,阴性预测值为62.5%;彩色多普勒检测敏感度为57.1%,特异度为96.2%,准确度为82.5%,阳性预测值为89%,阴性预测值为81%。D-D检测既不能诊断也不能排除DVT临床工作中尽可能以彩色多普勒作为首选检查方法,且结果更加可靠。
    患者突然出现难以解释的呼吸困难,血压骤降30-50mmHg,同时伴有引起静脉血栓的病史,如骨折、手术及长期卧床等则应考虑急性肺栓塞的可能。急性肺栓塞发生时,部分肺动脉血流阻塞,可导致急性肺动脉血栓形成及压力升高,引起右心室的急性扩张,循环衰竭、休克、甚至死亡。患者通常危重监护治疗,无法进行其他特殊检查,心电图检查成为标准且必须检查方法。急性肺栓塞心电图表现呈多样性,不具特征性,但有其重要的临床诊断价值。心电图特点有:①SⅠQⅢTⅢ改变,反应了右室扩张,但并不特异,左后分支阻滞及正常变异也可出现SⅠQⅢTⅢ改变;②电轴右偏,多在+90°~+100°之间;③Ⅱ、Ⅲ、aVF导联出现肺型P波;④出现暂时性右束支阻滞;⑤顺钟向转位;⑥多数导联ST段下降,T波倒置;⑦可出现窦性心动过速、阵发性室上性心动过速等快速性心律失常。
    此患者尽管D-二聚体为阴性,但依心电图提示:出现心动过速,典型的SⅠQⅢTⅢ的特殊心电图表现(Ⅰ导联S波深而显著,ST段压低,Ⅲ导联Q波显著和T波倒置),结合患者临床表现,以及医生经验,,最短时间内明确了患者诊断,积极救治,赢得时间。
4.上肢DVT预防及急性肺栓塞救治
    对于上肢骨折患者同样要进行预防静脉血栓知识教育,健康教育,鼓励患者减少卧床时间、早期功能锻炼、保护制动患肢,离床活动以及做深呼吸咳嗽动作,促进下肢血液循环,减少DVT发病率。对于因为取髂骨用于植骨患者,因为术区疼痛而被动卧床,应基于预防指南给予药物及机械预防措施。
    上肢骨折患者且活动减少的患者,出现血压骤降,呼吸困难,大汗,甚至出现精神意识障碍情况,同样首先考虑肺栓塞可能,出现猝死情况,积极标准心肺脑复苏程序。此患者肺栓塞面积小,但同样险恶,血压自BP 17/10 Kpa骤降至14/8 Kpa,心率呼吸加快,伴大汗,病史、症状典型,结合监护心电图,即可迅速诊断治疗。对于考虑大面积肺栓塞患者,一旦心率下降至50次/分左右,虽然可能存在大动脉搏动及意识,也应积极标准心肺脑复苏。
 一)、一般处理:使患者安静、保暖、吸氧;为镇静、止痛,必要时可给予吗啡、哌替啶、可待因;为预防肺内感染和治疗静脉炎应用抗生素。
    1.缓解迷走神经张力过高引起的肺血管痉挛和冠状动脉痉挛,静脉注射阿托品0.5~1.0mg,如不缓解可每1~4小时重复1次,也可给罂粟碱30mg皮下、肌内或静脉注射,1次//h,该药也有镇静和减少血小板聚集的作用。
    2.抗休克:合并休克者给予多巴胺5~10μg/(kg/min)、多巴酚丁胺3.5~10μg/(kg/min)或去甲肾上腺素0.2~2.0μg(kg/min),迅速纠正引起低血压的心律失常,如心房扑动、心房颤动等。维持平均动脉血压>80mmHg,心脏指数>2.5L/(min?m2)及尿量>50ml/h。同时积极进行溶栓、抗凝治疗,争取病情迅速缓解。需指出,急性肺栓塞80%死亡者死于发病后2h以内,因此,治疗抢救须抓紧进行。
    3.改善呼吸:如并有支气管痉挛可应用氨茶碱、二羟丙茶碱(喘定)等支气管扩张剂和黏液溶解剂。也可用酚妥拉明10~20mg溶于5%~10%葡萄糖100~200ml内静脉滴注,既可解除支气管痉挛,又可扩张肺血管。呼吸衰竭严重低氧血症患者可短时应用机械通气治疗。
二)、溶栓疗法
    对于大块肺栓塞(超过两个肺叶血管);不管肺栓塞的解剖学血管大小伴有血流动力学改变者;并发休克和体动脉低灌注;循环衰竭者;有症状的肺栓塞可以使用溶栓疗法。常用的溶栓药有链激酶 ,尿激酶,阿替普酶(重组组织型纤溶酶原激活剂,rt-PA)。溶栓最重要的并发症是出血,各家统计不一,平均为5%~7%,致死性出血约为l%。3种溶栓药大出血的发生率相似,阿替普酶(rt-PA)、UK和SK分别为13.7%,10.2%和8.8%。最严重的是颅内出血为1.2%,约半数死亡,舒张压升高是颅内出血另一个危险因素。腹膜后出血症状不多,比较隐匿,多表现为原因不明的休克,应注意观察。对于近期手术后患者,医师应该权衡利弊,酌情使用,做好应急措施。
已评论1

请您登录后再评论

返回顶部