骨科大手术后静脉血栓栓塞症(VTE)的发生率较高,是患者围手术期死亡的主要原因之一,也是医院内非预期死亡的重要原因。对骨科大手术患者施以有效的预防方法,可以有效降低发生VTE的风险、减轻患者痛苦。为提高骨科相关静脉血栓栓塞症的预防水平、规范其预防方法,中华医学会骨科学分会在2009年5月颁布了《中国骨科大手术静脉血栓栓塞症预防指南》(以下简称指南)。然而在临床工作中应如何严格执行指南,做到综合性、个体化的预防性抗凝仍然需要我们进一步去探索。本例多发伤患者因各种因素而未能按照指南进行预防性抗凝,最终导致患者猝死在手术台上,这给我们带来深刻的警示,现汇报如下。
1、病例资料
患者,男性,56岁, 因车祸伤致腰痛、胸痛、骨盆痛6小时来我院就诊。患者2009-11-8被汽车撞伤腰部,当时双下肢不能活动,伴头晕、大汗,无明显外出血,就诊于当地医院,查血压70/50mmHg,诊断为“多发伤,休克”,予抗休克治疗,X线和CT检查示“胸12椎体爆裂骨折、腰2-4右侧横突骨折(见图1、图2);右肩胛骨骨折(见图3、图4);多发肋骨骨折、右侧血胸(见图5);右耻骨上下支粉碎性骨折、右髂骨骨折合并右骶髂关节半脱位(见图6、图7)”。

图1、图2 正侧位X线片示T12爆裂骨折、L2-4右侧横突骨折

图3、图4 X线片和CT三维重建示右肩胛骨骨折
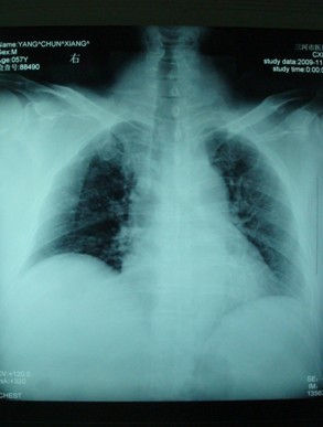
图5 X线片提示多发肋骨骨折、右侧血胸

图6、图7 X线片和CT三维重建示右耻骨上下支粉碎性骨折、
右髂骨骨折合并右骶髂关节半脱位
患者于伤后6小时转入我院急诊抢救室,入室时已留置尿管,引流通畅,尿色呈淡红色,泌尿外科会诊认为可排除尿道损伤,但尿色发红,不能除外肾挫裂伤。予禁食水、补液、抗感染、抑酸、止血、输血等对症处理。查血常规WBC 19.84*109/L,NEU 85.7%,HGB 108g/L,PLT 160*109/L,肝肾功能和凝血功能基本正常,患者病情基本平稳。
受伤后第2天患者转至骨科病房,完善各项术前检查。拟行双下肢深静脉彩超,但搬动患者时因其剧痛不能配合且双下肢存在多处挫裂伤而取消。入室后尿色已转清,泌尿外科再次会诊认为血尿为一过性,无抗凝禁忌症。受伤后第五天开始予皮下注射速碧林4100U Qd预防性抗凝。请相关科室会诊认为无手术禁忌证,遂决定行骨盆骨折切开复位、内固定术。
受伤后第9天在气管插管全麻下行骨盆骨折切开复位、内固定术,手术开始5分钟切开皮下组织显露髂棘时,患者突然出现血压急剧下降,氧分压急剧下降,急查血气分析:pH6.93,pCO2 127mmHg,pO2 10mmHg。心脏出现心律失常、最后停跳。立即停止手术、关闭切口,由麻醉科、内科及骨科医师共同施行抢救,行胸外心脏按压、应用促进呼吸和循环药物、心脏电除颤。2小时后抢救无效,宣布临床死亡。
尸检报告:肺栓塞(见图8、图9)。

图8、图9 尸检显示肺栓塞
2、讨论
这是一例伤情比较严重的多发伤病例,患者入院时存在复杂骨盆骨折、多发肋骨骨折合并血胸、脊柱骨折、肩胛骨骨折,损伤部位多、病情危重,转来我院时呈休克状态。经过积极的抗休克治疗,患者的病情转危为安,遂转入骨科病房,我们决定为其施行骨盆骨折切开复位、内固定手术。然而就在手术开始后的5分钟,患者停止了呼吸,这是所有人始料不及的。虽经各科全力抢救,患者还是被宣布临床死亡。虽然大家对患者的死因莫衷一是,但大多数意见认为是大面积肺栓塞所致,尸检的结果也证实了大家的推断 ——正是肺栓塞夺去了患者的生命。
我们知道,髋部骨折的患者要积极预防血栓,尤其对于本例多发骨折的患者更应如此。根据指南规定,骨盆骨折延迟手术(受伤12小时后)的患者,应自入院日始至手术前12小时应用LMWH预防抗凝,本例患者入院后因不能除外肾挫裂伤而未能及时抗凝。髋部骨折后凝血过程的激活非常迅速,而患者受伤后第5天才开始抗凝,较指南规定延迟了4天,从而使患者失去了药物抗凝的最佳时机,换言之,此时血栓很可能已经形成了。
应该说我们充分考虑到了药物抗凝的禁忌证,但实际上却并没有充足的临床证据提示存在活动性出血。患者入院时尿色虽偏红但呈一过性,且无腹部体征;血小板、凝血功能和血红蛋白均基本正常,肾挫裂伤的可能性较小。此时如能动态监测血小板、凝血功能和血红蛋白,动态CT观察是否存在肾周血肿及其变化情况,进行试验性预防抗凝应该是相对安全的。即使对药物抗凝心存顾虑,我们对预防血栓也应持积极的态度。指南指出,对于高出血风险患者,推荐单独使用物理预防,待风险下降后可联用药物预防。本例患者是可疑高出血风险患者,因此在不存在禁忌症的情况下,物理预防措施应是非常有益的。物理预防的禁忌症之一是已经存在静脉血栓栓塞症,然而患者入院后并没有进行双下肢深静脉彩超检查,更没有采取物理预防措施。当然,患者因搬动时疼痛而不能配合是客观存在的事实,但这些困难与患者的生命安全相比是应该也必须克服的,如果我们能为患者进行床旁深静脉彩超或搬动患者前给予充分的镇痛治疗都可以很好地解决这一问题。
一旦患者已经形成下肢深静脉血栓,那么LMWH应调整为治疗剂量,且患者应绝对卧床、避免一切搬动。正是因为术前未能发现患者的下肢存在深静脉血栓、未能及时调整抗凝剂量并制动、在不恰当的时机进行了手术,最终导致患者术中出现大面积肺栓塞、抢救无效而猝死于手术台上。归根结底,还是我们对指南的理解不够深入,对DVT带来的严重后果估计不足。
通过这个病例,我们应该反思对骨科大手术患者DVT的认识。首先,应强调切实遵照指南的规定,强调综合性、个体化预防;其次,要正确判断出血和血栓这对矛盾的利与弊,对药物抗凝的禁忌证要强调充足的临床证据,对可疑禁忌证应在确保安全的前提下审慎大胆地采用试验性药物预防抗凝; 最后,也是最重要的,对指南的理解和重视永远不能停留在口头,在临床践行过程中要时时绷紧这根弦,不能存在任何侥幸心理,只有这样,才能切实保证骨科大手术患者的围手术期安全。