概 述
深静脉血栓形成(deep venous thrombos, DVT)是指血液在深静脉腔内不正常地凝结,阻塞静脉管腔,导致静脉回流障碍,造成不同程度的慢性深静脉功能不全。最常见的是下肢及下腔静脉血栓形成,尤 其是髂-股静脉血栓形成,已成为危害人类生命安全的重要因素之一。除可遗留下肢水肿、继发性静脉曲张、皮炎、色素沉着、淤滞性溃疡等并发症外,更严重的是 可继发肺栓塞危及生命。DVT是骨科十分常见的并发症,近年,尤其多见于下肢手术或创伤患者。吕厚山等[1]报道,人工关节置换术后下肢深静脉栓塞发生率 为62.5%。预防深静脉血栓形成有多种方案,磺达肝癸钠的应用为近年来抗凝治疗的新进展。我科采用磺达肝癸钠2.5mg皮下注射,作为一例深静脉血栓形 成高危患者行人工股骨头置换术后的抗凝治疗,效果较好,现报告如下。
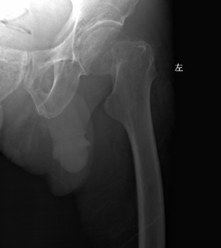
一般情况介绍 患者张XX,男,69岁,因“跌倒致左髋疼痛、活动障碍6天”入院。既往史:“糖尿病”15年,一直服“拜糖平”、“二甲双胍”治疗,血糖控制在 7~15mmol/L之间。高血压病史4年,最高达180/90mmHg,未系统服药治疗。曾有脑梗塞病史,2月前因“双侧颈动脉粥样硬化、右颈内动脉中 度狭窄”行右颈动脉支架成形术,现服用波立维、拜阿斯匹林联合抗血小板治疗。查体:左髋部无肿胀、瘀斑,关节活动受限,叩痛、压痛(+),左下肢外旋 60°畸形。双足多处皮肤破溃坏死,创面干燥,右足足背动脉搏动不明显。影像学资料:骨盆正位、左侧髋关节侧位示“1、左侧股骨颈骨折;2、骨盆骨质疏 松”(图1、2)。颈动脉超声示“双侧颈动脉粥样硬化伴多发斑块”(图3)。下肢动脉彩超示“双下肢动脉粥样硬化闭塞症声像;右侧胫前及左侧胫前、足背、 胫后动脉广泛狭窄(中-重度);右足背动脉狭窄(轻度)” (图4)。下肢静脉彩超示“左下肢深静脉血栓栓塞声像:左侧腓静脉(后一条)及左小腿多发肌间静脉完全栓塞。双侧股静脉及腘静脉血流缓慢。余双下肢深静脉 及大隐静脉近段未见明显异常声像” (图5)。心脏彩超示“主动脉硬化、主动脉瓣退行性变;左房增大,心内血流未见明显异常;左室收缩功能未见异常,舒张功能减退”。血生化指标:凝血四项示 “纤维蛋白原6.64g/L”,D-二聚体“1499ng/ml”。结合患者病史、体征及辅助检查,诊断“1、左股骨颈骨折;2、Ⅱ型糖尿病;3、高血压 病;4、脑梗塞后遗症;5、右颈动脉支架成形术后”。请内分泌科、心血管内科会诊,停用波立维、拜阿斯匹林,行降糖、降压、营养支持等对症治疗。入院后两 周在气管插管全麻下行“左侧人工股骨头置换术”,术程顺利。患者麻醉清醒后即嘱其行双下肢肌肉主动舒缩及膝踝关节屈伸活动,术后12h开始首次应用磺达肝 癸钠2.5mg皮下注射,以后每天以同等剂量皮下注射一次。患者术后5天即可在助行器帮助下下床活动,磺达肝癸钠持续用至10天停止,并防治感染、降糖、 降压、营养支持治疗。治疗期间每日观察患肢是否有肿胀情况,测量双侧大腿及小腿周径并记录。术后两周复查双下肢动静脉彩超,与术前结果相同;行肺部X线片 及CT检查,未见肺动脉栓塞征象。骨盆X线片示人工股骨头置换术后改变,人工假体位置佳(图6)。患者顺利出院,并恢复波立维、拜阿斯匹林联合抗血小板治 疗。
讨论 1946年,Virchow提出:静脉壁损伤,血流缓慢和血液高凝状态是造成深静脉血栓形成(DVT)的三大因素,至今仍被沿用。DVT常见的危险因素有 遗传性和获得性危险因素,前者由于先天基因缺陷而引起血液成分,血流动力学和血管之间的协调性发生紊乱使血液呈高凝状态所致[2]。后者多见于产后、盆腔 术后、外伤、晚期癌肿、昏迷或长期卧床的患者。骨科手术涉及创伤、应激、制动、长期卧床等多种因素,与Virchow学说的三大因素密切相关。因此是 DVT的高发人群。深静脉血栓形成,在骨科发生率较高,不仅影响治疗效果,延长患者住院时间,更加重了患者经济负担,严重时还可引起肺栓塞导致死亡。目前 防治静脉血栓的药物主要包括维生素K拮抗剂、肝素或低分子肝素等。尽管这些药物已在临床普遍应用,但其疗效未让人满意,并且存有许多缺点,尤其在安全性和 使用便利性方面。而磺达肝癸钠通过与抗凝血酶Ⅲ特异性结合,选择性抑制Ⅹa因子,从而发挥抗凝/抗栓作用。大量动物实验和临床研究证实,磺达肝癸钠能够有 效阻止血栓形成及血栓发展,可用于动-静脉分流的抗栓治疗;对于出血时间和血小板凝聚无任何影响;药代动力学优越,适宜每天一次给药。正是因为磺达肝癸钠 相比传统抗凝药具有较多优势,其于2001年获得美国FDA正式批准用于预防骨科手术后静脉血栓形成,并在临床应用中进一步证实了这些优点[3]。
本病例报告中,患者为69岁男性,因“左侧股骨颈骨折”行人工股骨头置换术。既往有糖尿病、高血压、脑梗塞病史及颈动脉支架成形手术史,血糖及血压均控制 欠佳,彩色多普勒提示双下肢动脉粥样硬化闭塞症、左下肢深静脉血栓栓塞,说明此患者为深静脉血栓栓塞、肺栓塞的高危患者。如若因此放弃手术治疗,患者可能 因骨折难以愈合、股骨头缺血坏死而终身残疾,生活质量极大下降,更有可能因卧床时间过长而罹患多种卧床并发症,乃至死亡,给家庭及社会带来沉重负担。而如 果决定手术,首先要考虑的是:如何最大程度地减少术中、术后发生深静脉血栓栓塞、肺栓塞的机率?选择何种抗凝药物才能真正为这个危险度极高的手术起到保驾 护航的作用?维生素K拮抗剂自身的药代动力学和其作用特点造成该类药物治疗窗窄小,需高频率动态监测并存在较大潜在出血风险等弊端;肝素则易引起自发性出 血,表现为各种黏膜出血、关节腔积血和伤口出血等,而肝素诱导的血小板减少症是肝素治疗中的一种严重并发症。直接Xa因子抑制剂具有治疗窗宽、无需常规凝 血功能监测、口服方便,出血风险低的优势,但较贵的价格使其不能成为多数患者的首选。考虑到磺达肝癸钠良好的安全性、使用便利性和适中的价格,笔者及所在 手术组选择了磺达肝癸钠作为本例患者术后的抗凝药物,再加上术前充分的准备、术中规范的操作、术后周全的治疗,使患者顺利地度过了围手术期。总结此例患者 能够按时、安全地完成治疗,应做到以下几点:①术前请相关内科医师协助治疗,控制血糖、血压于正常范围,并停用抗血小板药物,避免术中出血多、难以止 血;②术中应注意避免患者下肢受压,尤其是在暴露髋臼和股骨上端的过程中,手术操作应快速轻柔,减少组织损伤及对下肢静脉系统的牵拉刺激。③术中、术后保 持水电解质平衡,避免血液粘稠度过高,④术后鼓励病人早期行下肢肌肉主动舒缩及膝踝关节的功能锻炼,早期下床活动;⑤药物预防方面则是在术后12h,观察 到患者髋部伤口引流量减少、引流速度减慢后,确定活动性出血已停止,开始应用磺达肝癸钠2.5mg每天一次皮下注射,按照药物说明书要求用至术后10天。 考虑到患者术前即有左下肢深静脉血栓栓塞,未行下肢间歇充气加压治疗及不适当的按摩揉捏,避免栓子脱落。治疗期间注意患者下肢不适症状并仔细及时做体格检 查及影像学检查,做到早期诊断、早期治疗。

图1 术前骨盆正位片

图2 术前左髋侧位片

图3 颈动脉超声示双侧颈动脉粥样硬化伴多发斑块

图4 下肢动脉超声示双下肢动脉粥样硬化闭塞征

图5 下肢静脉超声示左下肢深静脉血栓栓塞

图6 人工股骨头置换术后骨盆正位片
参考文献
[1] 吕厚山,徐 斌.人工关节置换术后下肢深静脉血栓形成[J].中华骨科杂志,1999,(3):155.
[2] Bertina RM,Koeleman BPC, Koster T,et al. Mutation in blood coagulation factor vassociated with resistance to activated protein C[J].Nature,1994,369(6475):64-67.
[3] 预防骨科大手术后静脉血栓的新型抗凝药物-磺达肝癸钠[J].中华关节外科杂志,2009,(1): 71-72.