简要案情
患者于国洲,男,72岁,因“摔伤右髋部及右大腿疼痛、活动受限8天余”于2010-07-13被家人送往我院诊治。专科检查:右髋部及右大腿外侧肿胀,可见皮肤青紫,右下肢屈曲、外旋、短缩畸形,大腿上端环形压痛,可及骨擦感,右Bryant三角底边变短,右大粗隆叩痛阳性,右下肢纵叩痛阳性,右下肢较对侧短缩约3cm。右足背动脉搏动好,趾动及血运好。余肢未见明显异常。既往体健。入院前X线片示:右股骨粗隆间骨折,错位明显。
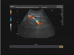
入院后化验检查示:D-dimer:584ug/L;予右胫骨结节骨牵引、注射用低分子肝素钙 5000iu 皮下注射 QD配合应用红花注射液 20ml+生理盐水 250ml 静滴 QD治疗三天后,患小腿出现肿胀、疼痛,踝过度背屈试验(Homans征)阳性,行右下肢静脉彩超示:考虑右侧腘静脉不全血栓形成(如图1)。暂停手术后嘱患者绝对卧床休息, DVT发病1~2周内最不稳定,栓子极易脱落,需绝对卧床休息,床上大小便;反复叮嘱患者及其家属切忌使患肢受压,忌做热敷,注意患肢保暖,绝不可按摩患肢或做运动;患肢下放软垫以抬高其至20°~30°,以利静脉回流,减轻水肿、疼痛。改用注射用低分子肝素钙(4100u)(速碧林) 皮下注射 QD配合应用疏血通注射液 4ml+生理盐水 250ml 静滴 QD。两天后复查D-dimer示:927ug/L;四天后再次复查D-dimer示:487ug/L,复查右下肢静脉彩超示:考虑右侧腘静脉陈旧血栓形成(如图2 )。科室内集体讨论后认为估计患者能够耐受手术,发生血栓脱落致严重肺栓塞的可能性较小,于两天后在硬膜外麻醉下行切开复位股骨近端锁定板内固定术。术后继前一般治疗,续用注射用低分子肝素钙(4100u)(速碧林) 皮下注射 QD配合应用疏血通注射液 4ml+生理盐水 250ml 静滴 QD。术后第十二天再次复查彩超回示:右髂外、股、腘静脉未见明显异常(如图3);复查D-dimer示:220ug/L。患肢肿胀也明显消退。于术后两周时拆线出院。

图1:考虑右侧腘静脉不全血栓形成

图2:考虑右侧腘静脉陈旧性血栓形成

图3:右侧腘静脉未见明显异常
讨 论
下肢深静脉血栓形成(Deep Venous Thrombosis,DVT)是指血液在下肢静脉腔内不正常凝集,阻塞静脉腔,导致静脉回流障碍,是下肢骨折患者的常见并发症之一。有临床报道[1]在急性创伤DVT患者的发生率为12 4%,其中股骨干骨折的发生率高达27 3%,髋部骨折的发生率为18 2%。静脉损伤、血流缓慢和血液高凝状态是造成深静脉血栓形成的三大基本因素,即所谓Virchow三联征。如不积极进行防治,DVT可进一步发展成致命的肺动脉栓塞或造成慢性静脉功能不全而危及患者生命或影响生活质量。治疗DVT的目的[2]是迅速恢复静脉血流,预防血栓延伸及肺动脉栓塞,保护静脉瓣膜功能,预防深静脉血栓形成后综合征。
我国于2005年发表的《预防骨科大手术后深静脉血栓形成的专家建议》[3]中对骨科大手术DVT的预防给出了指导性意见,其中围手术期低分子肝素的预防应用为主要的药物预防办法。低分子肝素为小分子量的硫酸氨基葡聚糖,分子量4000~5000D,具有明显而持久的抗血栓作用。其对抗Xa/IIa>2.0,对PT和APTT影响很小[4],抗血栓形成活性强于抗凝血活性,因而在出现抗血栓作用的同时出血的危险性较小,不需要血液监测,更少因抗凝导致并发症而带来的额外花费;而且使用低分子肝素可以减少住院天数,甚至不需要住院,因此低分子肝素的费用/效益比是好的,尤其适用于基层医院或住院有困难的患者。一般的用法[5]是低分子肝素钙 4100U皮下注射,每日1或2次,连用1周(5~10日)以上。对于肝素的并发症,临床上的报道不一,主要有出血、血小板减少和骨质疏松,后者常见于长期应用者尤其是妊娠妇女;也有一些个案报道引起血小板聚集功能亢进,所以定期复查血小板还是有必要的]6]。
参考文献:
[1] 王云清,李艳红,王爱国,等.骨科创伤549例深静脉血栓深静脉[J]. 中国误诊学杂志,2010,10(12):2991-2992.
[2] 马欣,苏毅,赵倡武.疏血通联合低分子肝素钙治疗下肢深静脉血栓形成[J].中国现代药物应用,2009,3(22):115-116.
[3] 刘争,陈昕,丁华.低分子肝素钙预防下肢深静脉血栓形成的临床观察[J].江苏医药,2010,36(8): 986.
[4] 李春元,杜平中.低分子肝素应用研究进展[J].国外医学—合成药 生化药 制剂分册[J]. 1998,19(6):340-345.
[5] 许俊堂,郑华,胡大一.深静脉血栓形成的预防和治疗(二)[J].中国临床医生,2001,29,6: 22-23.
[6] 盛爱珍,王新德.低分子肝素在治疗血栓性疾病中的应用[J].国外医学脑血管疾病分册,1997,5(2):99-104.