背景:尽管假体周围骨折发生率在增加,但缺乏对于胫骨假体周围骨折(PTx)最佳处理方法的循证医学指南。因此本文的目的是评估针对全膝置换术(TKA)后PTx的不同治疗方法的临床效果。
方法:本回顾性研究纳入在2个研究中心中完成的34名TKA术后出现PTx的非肿瘤患者(2008-2016年)。骨折采用Felix分型法分型(本组病例中包括Felix分型I-II-III型;进一步分为 A-B-C亚组),治疗方法包括闭合复位、切开复位内固定、TKA翻修或胫骨近端采用特殊假体置换。收集了患者的基本情况和手术情况。翻修或者再手术被认为是治疗失败。统计学方法包括独立t检验、单向方差分析、卡方检验和Fisher精确检验。
结果:相对Felix III型骨折,Felix I型的非手术操作并发症更高(P=0.006)。Felix I型术后出现贫血需要输血的发生率高于Felix III型(P=0.009)。所有骨折类型的病例中>30%的翻修和>50%的再住院是由于感染所导致,因此感染是最常见的并发症。这个并不因为骨折类型不同而存在差异。采用胫骨近端特殊假体置换的患者术后感染(P=0.030)、翻修(P=0.046)和需要做皮瓣覆盖创面手术(P=0.005)的发生率更高。
结论:TKA术后出现PTx的病例具有高的翻修率和再住院率。Felix I型骨折的非手术操作并发症和术后因贫血而输血的发生率更高。采用胫骨近端特殊假体置换的病例似乎具有更高的术后感染率和再手术率。

图1. 胫骨假体周围骨折Felix分型。

图2. Felix I型骨折术前、术后的正侧位X光片。

图3. Felix II型骨折术前、术后的正侧位X光片

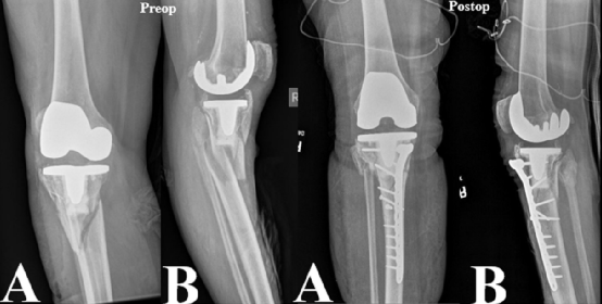
图4. Felix III型骨折术前、术后的正侧位X光片
原文导读:
Periprosthetic Tibial Fractures After Total Knee Arthroplasty: Early and Long-Term Clinical OutcomesBackground: Although periprosthetic fractures are increasing in prevalence, evidence-based guidelines for the optimal treatment of periprosthetic tibial fractures (PTx) are lacking. Thus, the purpose of this study is to assess the clinical outcomes in PTx after a total knee arthroplasty (TKA) which were treated with different treatment options.Methods: A retrospective review was performed on a consecutive series of 34 nontumor patients treated at 2 academic institutions who experienced a PTx after TKA (2008-2016). Felix classifification was used to classify fractures (Felix ¼ I-II-III; subgroup ¼ A-B-C) which were treated by closed reduction, open reduction/internal fixation, revision TKA, or proximal tibial replacement. Patient demographics and surgical characteristics were collected. Failure of treatment was defined as any revision or reoperation. Independent t-tests, one-way analysis of variance, chi-squared analyses, and Fisher’s exact tests were conducted.Results: Patients with Felix I had more nonsurgical complications when compared to Felix III patients (P ¼ .006). Felix I group developed more postoperative anemia requiring transfusion than Felix III group (P ¼ .009). All fracture types had >30% revision and >50% readmission rate with infection being the most common cause. These did not differ between Felix fracture types. Patients who underwent proximal tibial replacement had higher rate of postoperative infection (P ¼ .030), revision surgery (P ¼ .046), and required more flap reconstructions (P ¼ .005).Conclusion: PTx after a TKA is associated with high revision and readmission rates. Patients with Felix type I fractures are at higher risk of postoperative nonsurgical complications and anemia requiring transfusion. Fractures treated with proximal tibial replacement are more likely to develop postoperative infections and undergo revision surgery.
文献出处:Pannu TS, Villa JM, Cohen EM, Hayda RA, Higuera CA, Deren ME. Periprosthetic Tibial Fractures After Total Knee Arthroplasty: Early and Long-Term Clinical Outcomes. J Arthroplasty. 2021 Apr;36(4):1429-1436. doi: 10.1016/j.arth.2020.10.035. Epub 2020 Oct 26. PMID: 33190998.