人工全髋置换术(THA)是治疗髋关节终末期疾病的最有效手段,也是外科史上最成功的手术术式之一。但是,THA术中假体位置变异较大,易出现髋臼或股骨假体位置安放不良等并发症。因此,传统THA术中要求术者需要有丰富的临床经验及良好的手术操作技术,但即便如此,临床中最负盛名的医师也无法保证假体安放的万无一失。
随着临床医师及患者对提高手术疗效、降低并发症,加速患者恢复等各方面的要求越来越高,全髋关节置换也越来越向精准化和微创化方向发展,加速康复关节置换、微创髋关节置换、导航或机器人辅助关节置换等新理念、新技术也层出不穷。但由于机器人费用昂贵且耗时过长,现阶段仍无法大量开展,因此,导航辅助THA术是目前最有效的提高髋关节假体位置准确度且性价比较最高的方法。
近日,山东第一医科大学第一附属医院骨关节科张明主任团队完成了山东省内首例国产导航系统(VTS导航,该系统处于临床试验阶段,可免费为入组患者提供使用)辅助人工全髋关节置换术,填补了山东省空白。该国产导航系统具有体积较小、操作界面简洁、注册时间短、配准精确、操作步骤流畅等特点,术前可为医生提供更好的关节置换术实施方案,为每位患者提供个性化治疗。
该导航系统术前利用患者CT数据生成基于功能安全区(脊柱+骨盆+股骨)的策划方案,并可精准策划髋臼侧及股骨侧假体类型与大小,准确、个性化地设计髋臼角度、偏心距、腿长,术中导航系统可视化引导术中操作,全程精准多参数实时动态跟踪、引导、显示,可有效降低术中骨折、术后松动与长短腿的发生率,缩短术中操作时间,有效提升临床工作效率。

VTS导航全貌

VTS对髋臼假体进行精准定位

张明主任在VTS辅助下安放髋臼假体

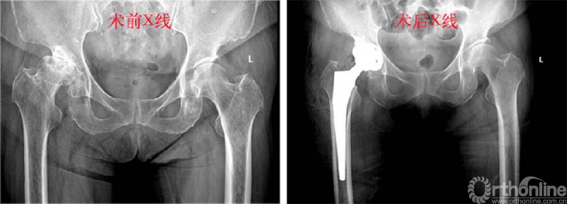
患者术前髋关节发育不良、重度骨性关节炎;VTS辅助下行THA术后双下肢长度及偏心距与对策完美匹配、髋臼外展角及前倾角与术前设计精准对应
我院成功开展山东首例导航系统辅助下髋关节置换术,显示了国产自主研发的导航系统在髋关节置换术中的优势和前景。该系统从假体制造,到术前规划,从术中操作到术后评估,实现全方位AI助力,为我们揭开未来智慧骨科的帷幕,让医生手术更加有的放矢,让精准医疗惠及更多患者。
专家简介

张明
山东第一医科大学第一附属医院(山东省千佛山医院),关节科主任
社会兼职:
山东省医学会骨科学分会委员
山东省医学会运动医疗分会副主任委员
山东省医学会骨科学分会关节外科组膝工作委员会主席
中国健康促进与教育协会骨关节疾病规范化管理公益项目专家委员会委员
山东省医学会第二届运动医疗分会副主任委员
专业擅长:
近二十年来一直致力于骨关节疾病的诊治及运动医学的研究,精于膝髋关节置换术、关节镜手术,目前完成膝髋关节置换术、关节镜手术近万例。山东省千佛山医院“四一0”人才工程学科带头人。曾经师从国内著名关节外科专家、北京大学吕厚山教授及华裔美籍张中南教授学习关节外科,多次到美国、澳大利亚、新西兰、新加坡等国参加学术交流。先后荣获山东省省直职业道德建设十佳标兵、山东省卫生系统“三学三创”标兵、全国卫生系统先进个人。关节置换手术过程中,术中输血率及手术并发症做到同行业最低水平,药品比例一直控制在10%左右,拥有专门的骨库,可以为需要关节置换或者翻修的患者及时提供合适的材料,极大地提高了患者的康复质量和生活质量,也减轻了患者的经济负担。