来源:实用骨科杂志,第26卷,第3期,2020年3月
作者:袁宇,徐林*
(滨州医学院烟台附属医院手足外科,山东滨州 256600)
石骨症是一种罕见的以破骨细胞减少或功能障碍为主要特征的遗传性骨代谢性疾病,过高的骨密度结构造成了骨质过脆,可继发骨折,因临床表现缺乏特异性,影像学表现是诊断要点。本文报道1例成人型石骨症合并有股骨转子下骨折的患者,采用骨折切开复位髓内钉内固定术予以治疗。现将本病例的诊疗过程报告如下,以期为石骨症合并股骨转子下骨折的诊断及治疗提供参考。
患者资料

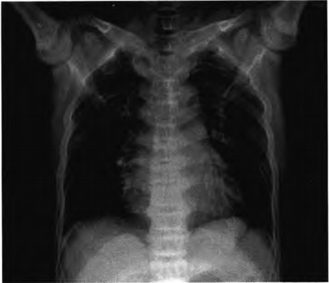
图1.术前胸椎正位X线片示椎体上下缘增厚致密,中央部密度相对较低,呈现“夹心蛋糕征”

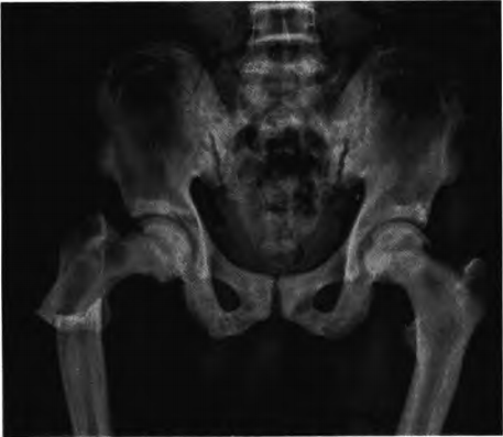
图2.术前骨盆正位X线片示右股骨粗隆下骨折,断端移位明显,髂骨翼呈“同心圆征”
患者,女,49岁,因“摔伤致右髋部疼痛伴活动障碍2h”就诊。
查体:右髋部肿胀明显,可见散在皮下瘀斑,患肢外旋畸形,缩短约2.5 cm,大转子远端局部压痛明显,叩击痛(+),下肢轴向叩击痛(+);骨盆分离挤压试验(—),膝关节及踝关节活动度可。
X线检查:①全身多发骨密度增高,骨小梁粗糙、模糊,骨皮质厚,髓腔窄小;②椎体呈“夹心蛋糕样”特征性改变;③两侧髂骨翼呈典型“同心环状征”;④双侧髋关节、膝关节软骨下骨密度增高,关节间隙窄(见图1~2)。
实验室检查:血沉59 mm/h,白蛋白53.5 g/L,球蛋白19.7 g/L,白细胞计数4.9 X 109/L,红细胞3.1×109/L,血红蛋白93 g/L,碱性磷酸酶98.4 U/L,D-2聚体0.78 mg/LFEU,血钙、磷、尿酸等均未见异常。
诊断:①石骨症;②右股骨转子下骨折;③贫血。父母非近亲结婚,家族中未发现有同类疾病者。

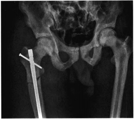
图3.术后骨盆正位X线片示骨折对位对线良好,内固定安全可靠

图4.后右股骨正位X线片示髓内钉长度及位置适宜
患者人院后给予消肿、镇痛、改善微循环等对症治疗,行骨牵引纠正骨折畸形。排除手术禁忌证后在腰硬联合麻醉下行右股骨骨折切开复位髓内钉内固定术。患者取平卧位,采用右大腿近端前外侧人路,显露骨折断端,探查见股骨转子下横行骨折,股骨近端髓腔相对较窄,骨质致密坚硬,多为硬化增厚的皮质骨,断端坎顿少量碎骨片及软组织,清理骨折断端,继而自切口内向近端逆行开口扩髓,再从股骨大转子自近端做纵行切口6 cm,依次切开皮肤皮下及阔筋膜张肌,自梨状窝开口处放人导针,借复位钳及牵引骨折复位后将导针插入股骨远端,近端扩髓至13 mm,远端扩髓至11mm,测量无误后放置lO mm*360 mm股骨顺行髓内钉,在C臂机透视下应用瞄准器锁人2枚远端锁钉,回敲加压断端,近端锁入1枚锁钉。手术历时2.5 h,术中出血量约250mL。定期复查股骨正侧位x线片,监测骨折愈合情况及石骨症病情进展情况(见图3~4)。
讨论
石骨症多无特异性的临床表现,多因外伤后骨折就诊,目前对于石骨症的确诊多依靠影像学检查。X线片中常见的有全身骨密度普遍增高、颅底硬化明显,椎体呈“夹心蛋糕样”特征性改变,两侧髂骨翼呈典型“同心环状征”,肋骨可呈“串珠样”改变等等。本例患者因跌倒后就诊,肢体外观并无异常性改变,诊断也主要靠影像学的特征性表现。成人石骨症合并骨折多可手术治疗,国内报道的数篇关于石骨症合并股骨近端骨折的手术方式多为锁定钢板固定及髓内固定。考虑因石骨症骨质致密且内部血管网稀疏,髓腔过于狭窄,扩髓钻孔的方式难以实现且可能发生医源性的再骨折,但此患者骨皮质硬化出现了少见的不对称性,右股骨骨皮质明显低于左侧,相对更易于实现扩髓操作,故此患者采用髓内固定的手术方式,从X线片和术中探查见右股骨远端骨皮质较近端逐渐增厚,不需阻挡钉辅助固定尾端。术后复查X线见内固定装置位置可,下肢力线良好,内固定装置无松动。
综上所述,石骨症合并股骨转子下骨折时,骨折保守治疗难以愈合,须选择手术治疗。手术的入路及手术方式选择需要根据具体情况进行选择。
作者简介:袁宇,男,研究生在读,滨州医学院烟台附属医院手足外科,256600。