临床骨坏死中,股骨头坏死最为常见,因而诊断、分期及分型以此为叙述重点,其他部位坏死有各自临床特点,但影像学改变均类似。
诊断标准
1.病史:有骨坏死高危因素。
2.临床症状和体征:髋关节痛,以腹股沟最常见且典型,其次为臀部、大腿外侧。
3.髋关节内旋活动受限,强力内旋时疼痛加重。
4.X线片改变:
①股骨头塌陷,不伴关节间隙变窄;
②股骨头内有分界的硬化带或囊性变;
③软骨下骨有透X线带(新月征阳性)。
5.CT扫描显示坏死病灶和硬化带。
6.核素骨扫描示股骨头内热区中有冷区(炸面包圈征)。
7.MRI的T1WI显示带状低信号、T2WI显示双线征(double line sign)。
8.骨活组织检查显示骨小梁的骨细胞空陷窝多于50%,且累及邻近多处骨小梁,骨髓坏死。
具有以上3、4、6、7中一项结合病史、临床症状和体征即可诊断。
诊断方法
(一)临床检查
仔细询问病史,包括髋部外伤、应用皮质类固醇、饮酒或贫血史等,包括疼痛部位、性质、与负重的关系等。体检包括髋关节屈伸及旋转活动情况。
(二)X线检查

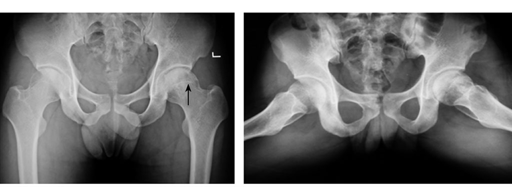
X线摄片可显示Ⅱ期骨坏死,股骨头内硬化(↑)
诊断早期(0,Ⅰ期)骨坏死是不可能的,Ⅱ期以上的部分病灶可呈阳性改变,如硬化带、透X线的囊性变,斑点状硬化等,Ⅲ期骨坏死可较清楚显示。推荐双髋后前位(正位)和蛙式位。
(三)MRI检查

MRI显示Ⅰ期骨坏死
A.T1 WI带状低信号(↑);B.T2 WI双线征(↑);C.T2压脂示带状高信号(↑)
对骨坏死诊断的敏感度和特异性均可达96%~99%,是骨坏死早期诊断最敏感且最可靠的方法。典型MRI的T1WI显示股骨头内蜿蜒状带状低信号(band like pattern),包绕高或混合信号。T2WI显示双线征,但约20%的患者可缺如。建议同时行T1及T2加权序列。对可疑病灶可另加T2压脂或STIR序列。常规应用冠状位与轴位成像,为更精确估计坏死体积及更清晰显示病灶,可另加矢状位成像。应用Gadolinium增强的MRI对检测早期骨坏死非常有价值。
(四)核素骨扫描

核素骨扫描显示早期骨坏死炸面包圈征(热区中有冷区)(↑)
可用于诊断早期骨坏死,敏感度高而特异性低。采用99mTC-MDP扫描,热区中有冷区即可确诊。仅有核素浓集(热区)则应与其他髋关节疾病鉴别。此检查可用于筛查早期及多灶性骨坏死。单光子放射断层扫描(SPECT)可增加敏感度,但特异度仍不高。
(五)CT扫描

CT扫描可清楚显示坏死病灶及修复情况及软骨下骨折(↑)
对Ⅰ期骨坏死的诊断无价值,但可清楚显示Ⅱ、Ⅲ期坏死灶的边界、面积、硬化带、病灶的修复状态及软骨下骨折情况。清晰度与阳性率优于MRI及X线片。确定有否软骨下骨折,轴位价值最大,其次为冠状位,矢状位最差。
参考资料:《骨内科学》
主编:秦岭