之前我们详细介绍了髋臼骨折后入路手术技术在髋臼后壁骨折和后柱骨折的应用(https://mp.weixin.qq.com/s/aIj5emHBFjhnzwg5Z2sSVg)。本期主要讨论通过前路固定的髋臼骨折,重点描述髂腹股沟入路和最近流行的Stoppa入路复位和固定髋臼骨折的基本原则。
本期内容目录:
前髂腹股沟入路
前髂腹股沟入路进行固定应用
Stoppa入路
预后
典型病例
总结
前髂腹股沟入路
髂腹股沟入路首先由Letournel提出,用于复位和治疗各种髋臼骨折,例如横行骨折、前柱骨折、双柱骨折以及T型骨折。此入路的主要优点是,不会损伤外展肌群,因此异位骨化的发生率会降到最低。
但是,由于髂腹股沟入路需要经过大量的神经血管组织,此入路不利于直视下观察骨折类型。该入路最主要的缺点是骨折复位较困难;如果想高效地使用该入路,需要外科医生具有丰富的经验。同时,由于手术过程中不能直视关节面,只能通过关节外骨折块准确的复位间接获得关节面的复位。
采用髂腹股沟入路,虽然可以复位一些后柱骨折和横行骨折,但是不能处理后壁骨折及后缘压缩骨折。如果存在后壁骨折及后缘压缩骨折,有必要增加后侧入路。通过单一切口可以将螺钉从前向后拧入后柱,用于固定双柱骨折或者横行骨折或T型骨折。如果术中病情需要,手术医生应毫不犹豫地采取前后联合入路。我们不太倾向于延长的髂股入路或者“Y”型切口。
熟悉腹股沟韧带的解剖结构,腹股沟区血管神经束、股鞘结构对应用此种手术入路至关重要。腹内斜肌、腹外斜肌、腹横肌构成腹股沟管的顶部和底部。腹股沟管深环和腹股沟管浅环非常重要。
男性的精索及女性的子宫圆韧带从腹股沟管深环通向浅环。在腹股沟韧带的深处存在外侧间室,包含髂腰肌、股神经、股外侧皮神经;内侧间室从外至内包含股动脉、股静脉及股鞘内的淋巴组织。髂耻筋膜将内外侧间室分隔开。髂耻筋膜在髂腹股沟入路中至关重要。确认并分离髂耻筋膜可以使外科医生获得骨盆骨折复位和固定的空间。

髂腹股沟入路
开始使用该手术入路前,外科医生需要进行良好的训练,包括尸体标本操作。采用髂腹股沟入路时,虽然一些医生推荐漂浮侧位,我们更倾向于仰卧位。采用仰卧位,很容易就可以将透视机器从患者的骨盆下方通过。皮肤切口:后方从髂前上棘开始,沿腹股沟韧带至耻骨联合上方两横指。
我们喜欢向上方延长该切口,至髂棘外侧。这样的话,可以通过筋膜间隙进行深部分离,避免直接切断肌肉结构。可以减少出血并利于伤口缝合。分离皮下脂肪组织后,确认筋膜在髂嵴上的止点。切开筋膜,使用手指或者Cobb将髂肌从髂骨翼的内侧面剥离。向上分离至骶髂关节。在骶髂关节处采用骨膜下分离,注意保护来自骶骨翼的L5神经根。在建立其他窗口时,可以使用湿纱布填塞已建立的第一个窗口或侧窗进行止血。仰卧位时,在膝关节下方放置无菌包,屈曲髋关节可以放松腰大肌,改善髂腹股沟入路时第一窗的视野。
切开下方的皮肤之后,可以观察到腹外斜肌腱膜。确认腹股沟浅环,拉开精索。可以在精索周围留置无创性悬吊带,用于保护精索。从腹股沟浅环的外上方打开腹股沟管顶。根据皮肤切口,使用弯剪从髂前上棘至腹股沟管浅环平行切开腹外斜肌腱膜。在下方,至少保留1cm宽的筋膜,最后才能缝合筋膜。拉开精索或子宫圆韧带,并进行悬吊保护。
确认腹股沟管的底部和腹股沟韧带。腹股沟韧带从尺骨联合至髂前上棘。然后识别腹股沟管底部的联合腱,并使用圆刀片切开。使用手指并联合锐性分离,找到髂腰肌间室。找到髂耻筋膜,明确髂耻筋膜的双侧非常重要。在内侧,外科医生使用手指或者窄的右弯拉钩保护股鞘。相似的,明确髂耻筋膜的外侧,保护其外侧的股神经和髂腰肌。将髂耻筋膜拉向耻骨上支。
屈曲髋关节,有助于放松腰大肌以及确认髂耻筋膜的边界,因为屈髋时腰大肌张力降低。肌肉发达的年轻患者与老年患者髂耻筋膜的厚度存在差异,但常常是薄薄的一层。在分离这层筋膜之前,一定要特别注意,内侧的股动脉、外侧的股神经必须得到完全保护,才能避免灾难性的神经血管损伤。这一步可能是暴露过程中最重要的步骤。使用剪刀可以安全切断髂耻筋膜。在骨盆部分,可以钝性分离剩余的筋膜,显露盆腔内部分。

使用扁带悬吊保护腰大肌、股神经、股鞘、精索
有时候,“死亡冠”可能导致大出血。在分离之前,如果发现明显的血管,需要仔细进行结扎或者电凝止血。分离髂耻筋膜之后,进行深部分离,显露耻骨联合的内侧和四边体。使用悬吊带包绕股鞘,以便保护血管束。中间窗位于髂腰肌之间,外侧临近股神经(悬吊保护),内侧临近股鞘(悬吊保护)。
可以在耻骨上支的内上方直接进行深部分离,显露耻骨联合的后表面,分离的过程中注意保护膀胱。在特定的骨折类型中,例如双侧耻骨联合损伤,如果需要更广泛的暴露内侧或者对侧,可以切断耻骨联合上的腹直肌筋膜。

髂腹股沟入路的三个窗——Schanz针位于骶骨翼
建立三个窗口(图25.3)。第一窗口在髂腰肌的外侧;第二窗口位于外侧的髂腰肌和股神经,内侧的股鞘之间;第三窗口位于外侧的股鞘和内侧的腹直肌之间。一些著者将耻骨后间隙称为第四窗口。腹直肌可以分开使得上述窗口与所谓的第四窗口连续。联合使用拉钩和手指触诊,可以在这三个间室之间进行转换,有助于观察、复位骨折以及放置内植物。间歇性放松悬吊带,避免过度牵拉神经血管组织,避免内膜损伤导致静脉或者动脉血栓形成。
前髂腹股沟入路进行固定应用
前壁骨折
单纯的前壁骨折很少见。通常情况下,前壁骨折合并其他复杂的骨折。通过髂腹股沟入路的窗口进行骨折复位和固定。使用顶棒辅助复位骨折块,克氏针临时固定。沿骨盆边缘采用钢板固定骨折,钢板可以支撑骨块,在钢板的两端拧入螺钉。由于螺钉穿入关节的风险大,因此直接固定前壁骨折块较困难。
也可以采用Smith-Petersen入路固定前壁骨折。通过Smith-Petersen入路,还能行髋关节切开术,能够观察到股骨头并固定股骨头骨折。在支撑钢板的两端拧入螺钉,而不直接在前壁骨折块上拧入螺钉,以避免螺钉进入关节腔。部分前壁骨折会累及四边体,此时可以采用腹股沟下或者Stoppa入路进行固定,直接沿四边体放置钢板固定。当骨折累及四边体时,如果仅仅固定前壁骨折,不能提供足够的支撑力,可能出现骨折再次移位或者髋关节前突。在这些病例中,直接将钢板置于四边体的表面,垂直拧入螺钉,从生物力学方面考虑,骨折固定更稳定。
前柱骨折
前柱骨折时,骨折线的位置可能高,也可能低。通常情况下,前柱骨折会累及髂嵴。髂骨翼可能是粉碎的。我们倾向于采用髂腹股沟入路进行固定。部分病例可能存在后侧半横行骨折或者只是双柱骨折的一部分。

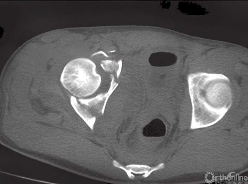
A和B双柱粉碎性骨折合并骶髂关节脱位

上述骨折的轴向断层CT扫描
部分骨折严重粉碎,固定难度大。骨折固定的原则包括:从后向前复位骨折;从髂骨完整的部分向前柱骨折的部分复位,纠正前柱骨折块外旋移位。复位髂骨骨折块时,可以采用钩状复位钳或者将Schanz针拧入髂嵴,当作操作杆,对抗内旋力量,将前柱复位到完整的后柱上。
从中间窗处触诊,明确骨折复位情况。可以使用克氏针进行临时固定。对于大的骨折块,在每个骨折块上拧入1枚螺钉,再使用复位钳夹住螺钉,有助于骨折复位。直接使用球端顶棒也有助于骨折复位。克氏针临时固定之后,骨折块之间使用螺钉进行稳定的固定。在上述固定前提下,再沿髂嵴和(或)沿髂窝放置预弯的骨盆重建钢板。

沿骨盆边缘预弯钢板

使用非对称骨盆复位钳复位四边体
复位的步骤是:首先,复位前柱粉碎骨折块的高出部分,它们本来位于后方;使用Shanz针控制髂嵴,使用内旋力使前柱内旋,使其靠近后柱,并通过中间窗触诊骨折复位情况;稍微过度弯曲髂嵴和髂窝钢板,有助于维持内旋和复位。再使用长的预弯钢板复位和固定前柱骨折块。单独复位四边体,使用偏心的骨盆复位钳维持复位。

仰卧位进行侧方牵引
仰卧位时,在大粗隆上或者下方使用Shanz针,向外侧牵拉,有助于复位髋关节前突。复位四边体时需要格外小心,避免固定后股骨头前突,特别是四边体是一块单独的、游离的骨块,并不与前柱骨块相连。弹簧钢板是一种重要的固定技术,但是预塑形困难。同时,髋关节的力量可能会使薄的弹簧钢板失效。
因此,在骨盆边缘的内侧,四边体的表面放置钢板是一种非常重要的技术。可以通过髂腹股沟入路或者Stoppa入路都可以完成上述操作。通过第一窗进行观察,可以在耻骨支和四边体表面之间放置钢板。将骨盆重建钢板预弯放置在四边体的表面,从内向外置入螺钉,支撑四边体。
如果四边体也存在骨折,可以借助于非对称性球端骨盆复位钳进行复位,复位钳上存在球端,可以分散力量,避免再次发生骨折。外侧面,复位钳置于髋臼上区,靠近髂前下棘。暴露髂嵴的外表面之后,通过中间窗或者外侧窗放置复位钳,位于四边体的表面,进行骨折复位。
确保置入螺钉的方向正确,避免螺钉穿入关节腔。采用髂腹股沟入路时,大部分的操作都是在触诊下完成的,因为直视观察很困难。同样,放在四边体表面,朝向坐骨棘的手指触觉很重要,可以确保置入前柱的螺钉方向正确。可以通过透视,进一步明确螺钉置入情况。使用电改锥有助于置入长螺钉。
从前柱向骶髂关节置入长螺钉,使用环扎线复位耻骨支长斜形骨折。髋关节屈曲,放松髂腰肌有助于非对称骨盆复位钳的放置。通过中间窗或内侧窗,将骨盆复位钳的一端放在四边体上。松解完髂嵴外侧面的筋膜组织之后,将骨盆复位钳的另一端放置在髂嵴的外侧,这样就可以复位四边体。但是使用骨盆复位钳时,用力过大会导致四边体骨块粉碎。注意使用球端复位钳可以避免这种情况。

A和B从后向前进行复位,放置骶髂关节钢板进行固定,通过前入路放置长的后柱螺钉
如果骨折非常粉碎,需要从后向前进行固定。前柱骨折块外旋是常见的畸形。因此,在髂嵴上置入Shanz针,施加内旋的力量,纠正骨块外旋畸形。可以在直视下使用复位钳复位髂骨翼骨折块和累及髂嵴的骨折块,也可以使用Shanz针纠正骨折旋转和移位。在骨盆边缘,采用12、14或者16孔预弯的骨盆重建钢板进行确定性固定。
联合使用髂腹股沟入路第一窗、Stoppa入路可以处理一些简单的前柱骨折。单纯固定骨盆边缘而忽视四边体的移位,会导致骨折再次移位及股骨头突出。进行确定性固定之后,可以根据关节外骨折块的力线来判断骨折的复位情况。但是采用髂腹股沟入路不能直接观察到关节面。
一些移位不明显的前柱骨折或者前柱骨折是横行骨折的一部分时,可以采用经皮前柱螺钉固定。另一项有用的复位技术是,在骨块上置入3.5mm皮质骨螺钉,使用Farabeuf齿状复位钳夹持螺钉,进行骨折复位。
横行骨折
根据横行骨折移位的情况,可以采用前方腹股沟入路或者后方入路,进行复位和固定。高位横行骨折或者骨折累及髋臼负重区,其治疗效果往往不佳。横行骨折时,精确的骨折复位非常重要。髋臼负重区可能存在压缩或者粉碎。

A和B后方入路固定横行骨折
部分学者认为,为了准确复位关节面,可以延长手术切口。俯卧位、后方入路也可以进行骨折固定,因为重力有助于前方骨块的复位。
使用后方入路时,进行股骨大粗隆截骨,可以改善术野。骨折前方的复位很重要。手指沿四边体通过坐骨切迹进行触诊,可以明确骨折复位情况。将Shanz针置入坐骨、外侧牵引等复位技术,有助于纠正下方骨折块的旋转畸形。通过坐骨大切迹放置成角的骨盆复位钳,利于骨折前方复位。
我们发现,对于超过2周的陈旧骨折患者,采用后侧入路时进行坐骨棘截骨(保护坐骨神经之后)非常有助于纠正下方骨折块的旋转畸形。采用一块过度预弯的后柱钢板进行固定。预弯不足的钢板可能会引起骨折前方分开,形成间隙。
如果横行骨折合并后壁骨折,可以采用两块钢板进行固定:预弯不足的钢板支撑固定后壁骨折块,过度预弯的钢板固定后柱骨折。
如果采用髂腹股沟入路,可以固定骨折的前面部分。当使用前方入路时,通过中间窗采用钝性骨钩或者在四边体区域使用非对称性骨盆复位钳,可以获得骨折后方抗旋转的力量。使用后柱螺钉固定骨折的后方。
在年轻患者中,如果病情需要,我们会联合使用前后入路,虽然这种情况很少见。通过单一切口复位骨折的两面,具有一定的难度,特别是年轻患者。最好采用前后联合入路,以获得骨折的准确复位。
也可以采用Stoppa入路或者髂腹股沟下入路,直接复位骨折的后面部分,直视下放置钢板。通过Stoppa入路进行复位固定时需要提高警惕,特别是螺钉的位置以及长度,避免影响下一步操作。部分著者发现,此时采用锁定钢板很有用,因为可以置入短的锁定头螺钉。
另一种策略是,从后方固定骨折,采用经皮前柱螺钉固定骨折的前面部分。如果采用髂腹股沟入路从前方固定骨折块,那么经第一窗口置入后柱螺钉,可以增加后柱骨折块固定的稳定性。或者,采用Stoppa腹股沟下窗口直接复位、固定骨折块。
其他合并骨折可能更加难以固定。可以根据上面描述的原则,固定后柱骨折以及后壁骨折。骨折的后壁部分决定了手术的预后。在这些病例中,通过X线片很难诊断后柱骨折,因为绝大部分骨折都没有移位。我们发现,后柱骨折复位和固定都比较容易。后柱骨折复位固定之后,在此基础上进行后壁骨折的复位和固定。当后柱骨折复位以后,轻微牵开后壁骨折块,向侧方牵引髋关节,就可以观察到后柱骨折关节内部分的复位情况。
将钢板尽量往后放置,可以增加后柱骨折固定的稳定性。然后,按照标准的方法复位后壁骨折,可以使用第2块钢板进行固定,此时钢板可以预弯不足,以便稳定固定后壁骨折。部分后柱骨折是长斜形,向上累及坐骨大切迹。此时,复位后柱骨折可能会引起臀上动脉大出血。如果出现大出血,钉夹对于控制出血非常有用。
术者应该清理骨折端的血肿,在上述危险区域行骨膜下剥离。如果后柱钢板会影响后壁骨折的复位,可以联合使用克氏针、拉力螺钉或者使用可以夹持螺钉的骨盆复位钳进行临时固定。Farabeuf复位钳可以把持骨折块上的螺钉。将Shanz针置入坐骨结节,可以纠正骨折旋转畸形。Farabeuf复位钳也可以纠正骨折块在多个平面的移位。
通常情况下,如果坐骨大切迹区域暴露不充分,Farabeuf复位钳的位置往往放置不满意,而且要避免损伤坐骨神经。后柱骨折复位固定之后,可以按照之前描述的方法复位后壁骨折。如果准备放置弹性钢板,一定要设计好弹性钢板放置的位置,避免与后柱钢板相互干扰。可以先放置弹性钢板,再在弹性钢板上表面放置重建钢板。采用前腹股沟入路,比较容易处理高位横行骨折。但是,如果合并后壁骨折,需要联合后方入路。
T型髋臼骨折
T型髋臼骨折是髋臼骨折中处理难度最大的一类骨折,而且预后较差。因此,需要根据骨折类型以及手术医生的经验制定手术方案。手术的关键点是骨折解剖复位。T型骨折的每一块都可能存在移位和旋转。T型骨折横行部分移位的距离,以及是否合并后壁骨折,会决定手术入路的选择。根据病情的需要,特别是年轻患者,应该毫不犹豫地选择联合前后入路,以获得良好的骨折复位。
使用后方入路并进行股骨大粗隆截骨,可以通过单一切口进行骨折复位和固定。有时候,骨盆内环扎线非常重要。有时候,采用DrMears描述的“Y”型切口非常有用,但是需要避免皮瓣坏死,特别是三个皮瓣汇合处。
骨块移位最大的区域将决定手术入路。例如,可以首先通过后方入路复位和固定后方骨折块。通过坐骨大切迹,使用手指进行触诊,有助于复位前方骨折块。如果复位满意,则拧入前柱螺钉。复位后方骨折块时,不仅要触诊后柱的关节外部分,也要触诊四边体部分,确保前方复位良好。
拧入螺钉时,需要避免螺钉影响其他骨折块的复位。当后方骨折块固定之后,如果前方骨折块仍然不稳定或者复位不良时,应该增加前方入路。如果在伤后5~7天内进行手术治疗,通过单一入路进行复位,往往较容易。骨折时间超过1周,通过单一手术切口进行复位的难度逐渐增加。
双柱骨折
双柱骨折可能非常粉碎,没有完整部分与髋臼相连。对于老年患者,如果已经获得继发性匹配,可以采取保守治疗。
我们倾向于髂腹股沟入路固定主骨折块。手术策略非常重要,通常从后向前进行复位。某些情况下,有一条不完整的骨折线通过髂骨翼,而不通过髂嵴。为了复位骨折,需要对非完全骨折进行截骨,形成完全骨折。
Letournel曾经描述了髂骨翼存在的一种典型的三角形骨折,可能存在不全骨折,因此在复位和固定之前,需要使用骨凿将其变成完全骨折。另一种典型的骨折类型是,骨盆边缘存在的三角形骨折块或者“重点”骨折块。
首先以骶髂关节为标记物,对影响髂骨翼和髂骨嵴的后柱骨折进行复位和固定。屈曲髋关节、放松髂腰肌之后,可以通过髂腹股沟入路的第一窗完成上述操作。将Schanz针置入髂嵴,作为操纵杆,施加内旋的力量进行复位。使用复位钳直接复位,或者在骨折块上置入螺钉之后再使用复位钳进行骨折复位。
使用克氏针进行临时固定,使用拉力螺钉、髂窝预弯的骨盆重建钢板、髂嵴钢板进行固定。前柱骨折进行复位之后,复位后柱骨折和四边体骨折。按照之前的描述,可以经髂腹股沟入路的中间窗或内侧窗,将非对称性骨盆复位钳放置在四边体上进行复位;或者采用改良Stoppa入路、腹股沟下窗直视下进行复位。股骨头可能突入骨盆,需要将股骨大粗隆用Shanz针向外侧、纵向进行牵引,复位骨折。
采用上述提到的技术或者使用骨钩,纠正后柱骨折旋转移位。将钝头骨钩穿过中间窗或内侧窗时,不要伤及周围组织,使用骨钩纠正后柱骨折旋转移位并使其贴向已经复位的前柱骨折。
完成上述骨折复位之后,在骨盆缘采用预弯的骨盆重建钢板固定前柱骨折。前方在耻骨上固定前柱骨折;后方在骶髂关节附近的髂骨上固定后柱骨折。钢板的中间不置入螺钉,而只是支撑复位的前后柱。前柱置入的螺钉不能影响后柱骨折的复位。将后柱和四边体向前柱复位,可以使用后柱螺钉进行直接固定,也可以利用Stoppa入路或者腹股沟下窗口采用朝向四边体的钢板进行固定。
如果骨折粉碎严重,我们应该明白准确复位和固定是不现实的。在这种情况下,我们倾向于通过单一切口,常常是前方髂腹股沟入路,尽量复位骨折,降低骨折的并发症。采用髂腹股沟入路,无法显露后方。需要恢复髋臼的完整形态,后期才能进行髋关节置换术。有时候需要采用后方入路,才能显露髂腹股沟入路不能显露的区域。
对于年轻患者,尽量恢复关节面的平整性。关节面外部分轻度的复位不良是可以接受的,例如髂骨翼、髂嵴。
Stoppa入路
最近,我们成功采用类似于Stoppa入路(将一块腹直肌从耻骨支上剥离)在腹壁肌和血管束下方建立腹股沟下方窗口,用于固定部分低位前柱骨折、耻骨支骨折和联合损伤,例如耻骨联合分离或者耻骨支骨折。我们发现这种入路手术并发症少;当四边体向内侧移位,存在突出畸形时,复位和固定四边体较容易。

Stoppa入路,在腹直肌、神经血管束的深层进行操作

Stoppa入路,在四边体上进行钢板内固定
通过该入路,可以直接处理四边体,可以直接观察到真性骨盆的边缘。当股骨头穿入骨盆或者下表面骨折很粉碎时,采用此入路很有用。采用此入路可以直接在四边体、骨盆边缘放置钢板,控制骨折向内侧移位。
自由放置同侧腿,在膝关节下方放置无菌包,使髋关节屈曲,腰大肌松弛。髋关节屈曲使神经血管束的张力降低,有利于操作。该入路完全在关节外操作,不能观察到关节内情况。
在下腹正中耻骨联合上方2cm做一横行切口以及一个垂直的下腹部正中切口。腹直肌的外侧缘及它在耻骨结节上的止点,是髂腹股沟入路第三窗口的边缘。可以沿腹白线垂直切开腹直肌。这一入路完全在腹膜外。分离腹膜并向后侧推移非常重要。可以使用缝线标记腹直肌的边缘。可以对腹直肌的止点进行剥离,但是需要留取部分组织,便于术后修复其止点。需要使用不同型号的Malleable拉钩。向内侧牵拉时,需要保护膀胱。
手术医生站在对侧,可以直接观察到四边体。拉钩的助手站在骨折侧,而手术者位于对侧。死亡冠动脉位于腹壁下或髂外及闭孔血管之间。部分患者,死亡冠动脉非常明显,会导致致死性出血。术中需要明确该动脉,使用缝线进行结扎或者直接使用夹钳夹闭。
找到四边体之后,沿真性骨盆的边缘切断髂耻筋膜,保护闭孔神经。手术过程中,不要进入腹腔。向后方进行拉钩时,不要损伤腰骶丛神经。手术结束时,需要仔细修复腹直肌。
预后
最近Giannoudis报道的一项关于髋臼骨折手术治疗疗效的Meta分析显示,术后5年,75%~80%的患者可以获得优良效果。其他晚期并发症的发生率低于10%,包括异位骨化、股骨头缺血性坏死。只有8%的患者需要进行二次手术,通常是髋关节置换术。影响术后疗效的因素包括:骨折类型,是否合并脱位,股骨头损伤,合并损伤以及合并症。这些因素都不受外科医生的控制。其他因素,例如手术时间、手术入路、复位质量、局部并发症等受手术医生的影响。
髋臼骨折的治疗具有挑战性。应该早期将患者转入三级医院,因为手术时机是最重要的影响因素。通过单一切口并获得良好的复位很重要,这样可能获得良好的结果。
典型病例

A和B(A)前方入路固定横行骨折;(B)骨盆内钢丝环扎
32岁男性患者,高处坠落伤后左侧髋臼出现横行骨折。采用髂腹股沟入路处理骨折。采用骨盆内钢丝环扎辅助复位和固定骨折。
总结
大部分骨科医生对前方髂腹股沟入路并不熟悉,在采用该入路进行手术治疗之前,需要加强学习。我们发现,早期进行手术治疗,80%的骨折可以通过单一切口进行复位。前方入路出现异位骨化的可能性小。如果患者将来需要全髋关节置换术,患者后方区域的结构是完整的。Stoppa入路非常直接,在许多病例中,可以不使用髂腹股沟入路。Stoppa入路可以直接复位和固定四边体。术中需要保护神经血管束。
参考资料:《关节内骨折治疗精要》
作者:[印]拉杰什·马尔霍特拉
译者:禹宝庆 张殿英 苏佳灿