作者:Frankie Leung, Lau Tak-Wing
翻译:俞斌 审校:李泽湘
本文内容目录
1.前言
2.适应证和禁忌证
3.手术方法
4.术后处理
5.并发症
6.预后
7.典型病例
8.总结
前言
股骨远端骨折在低能量损伤中常发生在伴有骨质疏松的老年人中,在高能量损伤中常发生在伴有严重关节内骨折的患者中。伴有股骨髁骨折的关节内骨折特别不易治疗,如果关节面未得到精确的重建,常会导致不满意的功能结局和以后关节早期的退变。
在过去,大多数股骨远端骨折运用非手术方法治疗,常会大大增加并发症发生率,包括骨不连和畸形愈合。关节功能不能完全恢复。然而,关节内和关节周围骨折的治疗原则是关节面的解剖复位,力线、肢体长度和旋转移位的恢复和稳定的内固定。这些有利于肢体进行早期关节活动和力量的训练。
股骨远端骨折也通常会发生脆性骨折。在各种各样的骨质疏松性骨折中,这些股骨远端周围骨折常会给骨科医生带来挑战。股骨远端皮质骨薄弱和骨松质缺失,导致内固定困难。目前,不同的内固定方法可用于股骨远端骨折,然而骨不连和骨畸形愈合仍常会发生。更糟糕的是,并发症如关节僵直,肌肉萎缩和深静脉血栓常可见。借鉴间接复位和夹板固定的方法,钉板系统可以像髓内钉系统一样微创置入。这促进了微创接骨板(MIPO),低创稳定系统(LISS)和锁定加压钢板(LCP)的发展。定角锁定装置作为一个独立的装置可增加骨折处额外的刚度,从而阻止早期骨的萎缩和畸形愈合。另外,可能也需要额外的骨移植。
适应证和禁忌证
处理原则与其他各种承重关节内骨折相同,也就是骨折的解剖复位,肢体力线恢复,关节面恢复平整,稳定的内固定和早期功能锻炼。由于生物学内固定方法的进步,LCP应作为股骨远端骨折手术治疗的首选内固定方式。
手术方法
麻醉
可使用全麻或脊髓麻醉。
体位和术中透视使用
患者仰卧于可透视手术床。患侧臀部可垫高来减少患肢外旋。腘窝需用足够的垫物支撑直至膝关节屈曲大约30°~45°。
关节外骨折时,可在外侧股骨髁作一外侧切口。关节内骨折时,需切开复位,可在髌旁外侧作一切口。
复位技巧

在图像增强器下用手法牵引进行骨折复位

借助股骨撑开器进行肢体长度恢复和复位的维持
在透视机下手法牵引复位骨折。良好的复位关键在于骨长度、轴线和旋转的复位。若手法复位不能良好复位,可借助股骨牵引器置于腿部前侧或外侧进行精确的长度复位,并保持复位的位置。
内固定和钢板
可使用LISS或股骨远端LCP(DF-LCP)。DF-LCP的近端可塑形呈波状贴于股骨外侧弓形部。

决定钢板的长度
运用隧道工具或钢板在外侧肌肉下作一隧道。确定钢板长度。最佳的钢板长度应跨越骨折处并且足够长。

钢板平整放于外侧髁倾斜的平面
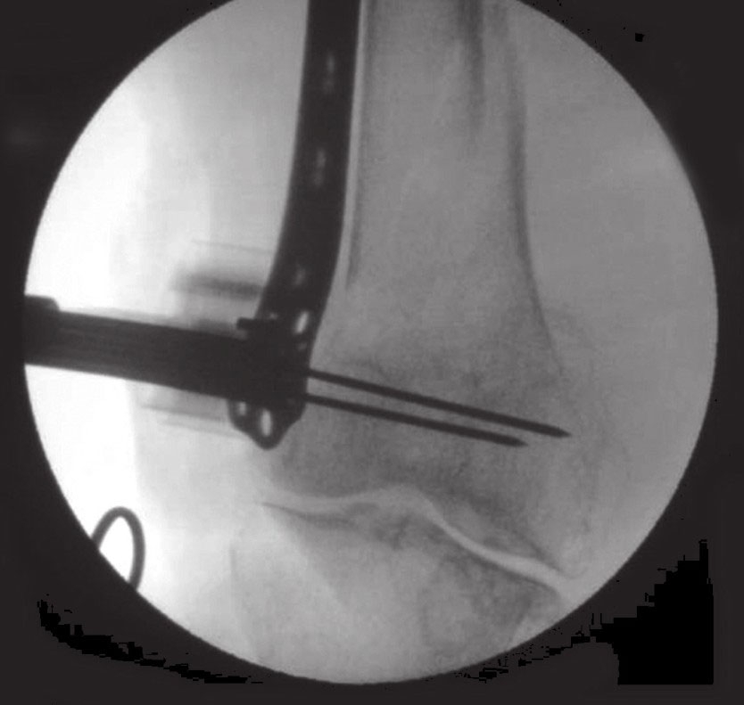
远端锁定螺钉放置需与膝关节平行。钢板需平整放置于外侧髁的倾斜表面上。

钢板底面边缘需与股骨后侧皮质平行
钢板位置需在前后位和侧位透视下确认。钢板后缘需与股骨后侧皮质平行。
首先放置远端锁定螺钉。股骨干侧方移位能通过位置螺钉或牵引装置进行调整复位。然后使用多个头部锁定螺钉固定近端部分。依据骨的质量决定是否选择使用双皮质螺钉。

透视确保螺钉和钢板的位置正确
缝合切口前,透视确保螺钉和钢板的位置正确。
缝合切口
需缝合髂胫束带。进行有效止血。选择性行切口内引流。
术后处理
额外的外部制动常不需要,早期进行肢体主动活动。术后进行早期持续被动运动可能有帮助恢复。通常,在早期4~6周进行非负重行走锻炼,再进行4~6周部分负重行走锻炼。最后进行完全负重行走。
并发症
并发症不常见。在我们的患者中,未发现有感染。但是,有2例在早期发生内固定失败,都是发生LISS钢板近端固定松动。在2例患者中,因为骨折发生在股骨远端,使用了相对短的5孔钢板而不是长钢板。翻修手术时,将股骨近端使用双皮质螺钉固定。在2例患者中,远端的内固定被证实是足够稳定并安全的。这2例患者骨折最后都获得良好愈合。
Schuetz等也发表了他们的多中心研究结果。85%患者可见正常的骨折愈合。屈伸功能的恢复角度约为健侧的80%。在62例患者中,6例需要骨移植和3例患者因内固定失效而进行重新内固定。
预后
在过去的20年间,由于越来越注重软组织的保护和内固定器械的不断改进(从髁接骨板,DCS到更先进的角稳定锁定钢板,切开复位内固定术后疗效大大改善。
锁定钢板系统为骨质疏松的骨块提供了一个更为安全和稳定的内固定。瑞典学者Marti对尸体的股骨进行了一项生物力学实验,他比较了LISS和两种传统钢板系统——股骨踝支撑钢板和动力髁螺钉的生物力学性能。他发现,具有固定角的单皮质螺钉系统相对于其他两系统可以承受更大的负荷。一些其他的早期临床研究也证实了满意的临床结果,其骨折愈合率高于90%。
与早期的股骨远端骨折内固定方法相比,由于使用间接复位骨折的技巧和使用95°固定角的器械,93%~100%骨折患者早期愈合,感染只发生在0~2%的患者中。
由于LCP和LISS的发展,更多满意疗效的报道被发表。许多学者报道间接复位和LCP内固定可进行早期活动,有较低的感染率,并且骨折愈合率>93%。学者们认为,它的成功要归功于LCP是兼具有生物学的、力学稳定的内固定系统和术中严格遵循了骨折内固定的原则。随后,Ricci等使用LISS治疗26例股骨远端骨折,他们的结果无一例骨不连和感染,骨折都早期愈合。同样的结果也在Weight和Collinge报道的27例不稳定股骨远端骨折使用相同内固定原则的患者中重现。
著者本人所在的机构也进行了一项临床研究,16位骨折患者入组。平均年龄75岁,从62~101岁。大部分患者为低能量损伤,其中15患者在平地摔倒受伤。一位患者是车祸中被汽车撞倒。13位患者为单处骨折,3位为多处骨折。根据AO分型,8例A型骨折,3例B型骨折和5例C型骨折。关于疼痛的严重程度,9例无疼痛,3例受力后疼痛,2例静息时疼痛,2例需要口服止痛药。关于肢体的活动度,6例无影响,9例轻微受限,1例膝关节屈曲严重受限。关于下肢功能,使用总分60分的Oxford膝关节评分进行评价。评分范围从22~60分,平均46分。全部骨折愈合时间平均为30周(16~68周)。未使用移植骨。
典型病例

图A和图B受伤后前后位和侧位X线片显示左侧股骨远端关节内粉碎性骨折
一位79岁的妇女,由于在家中平地摔倒被送入医院。
闭合性复位和夹板固定非手术治疗难以很好恢复力线。这常会导致骨折再移位和压疮。并发症如畸形愈合、骨不连或由于骨块尖锐的断端戳伤皮肤等常会发生。手术内固定可以提供早期肢体活动支持,可以有效防止肢体挛缩和一些感染,如肺部感染和泌尿道感染。

图A和图B术后前后位和侧位X线片显示关节面平整,骨折力线良好

图A和图B患者在6个月时,感觉无疼痛且能进行良好的关节活动
最后,进行了远端股骨锁定钢板内固定。术后,X线片表现满意,感觉无疼痛且能进行良好的关节活动,得到了良好的功能恢复。
总结
解剖复位关节面、恢复肢体力线、肢体长度和旋转移位的纠正在股骨远端骨折内固定中是最重要的。这些都可以借助现代锁定内固定系统实现。坚实的理论知识和对手术技巧的透彻理解,加上认真的术前计划仍是十分重要。锁定内固定系统对包括股骨远端假体骨折在内的几乎所有股骨远端骨折类型提供了一种完美和安全的治疗方式。并且,没有必要行I期骨移植。
来源:
书名:关节内骨折治疗精要
作者:[印]拉杰什·马尔霍特拉
译者:禹宝庆,张殿英,苏佳灿