来源:304关节学术
译者:罗殿中
整理:骨科在线
来自美国的Jeffrey B.Stambough,Ryan M.Nunley,Amanda G.praggs-Hughes等人发表于《J Am Acad Orthop Surg》杂志的一项研究显示,对于老年股骨颈骨折患者,关节外科医生更倾向于行人工全髋关节置换术(倾向性高于半髋关节置换),且更倾向于使用椎管麻醉。

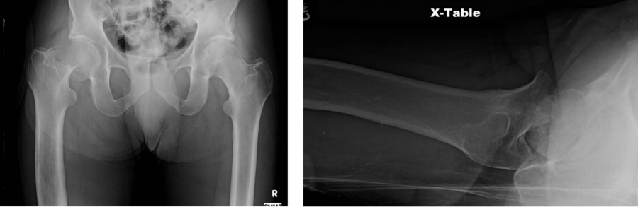
病例1:65岁的男性,不小心从台阶上摔下致右髋受伤。
病史:高血压、高胆固醇和既往吸烟史(30包年)。
患者现已退休,曾担任会计师,并且周末几乎每天都在社区的湖泊周围进行1到2英里的步行和10英里的自行车骑行。
他注意到受伤前偶尔会出现运动时腹股沟区疼痛。

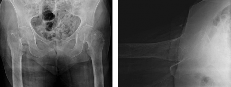
病例2:75岁女性,不慎从高出摔下致髋关节疼痛。
病史:慢性阻塞性肺疾病,并且夜间需要吸氧1 L;心房颤动(长期服用华法林);3期肾脏疾病;高血压; 黑色素瘤。
她有长期吸烟史(45包年),可正常从事日常生活,但在屋外活动需要使用拐杖。
研究人员对556名外科医生完成了在线调查,共有该调查包括两个部分:(1)外科医生的人口统计学信息;(2)要求对两个老年髋部骨折病例给出治疗决策。病例如上图所示。对股骨颈骨折的治疗考量和方案进行电子问卷调查,发出731份,收回有效问卷556份;其中390份医生经历关节外科训练、50份经历创伤骨科训练,该比例接近美国注册的比例(3156:619)。研究人员希望通过此研究对创伤骨科和关节外科医生进行调查,比较不同亚专业组间的培训及处理老年股骨颈骨折的差异,并将治疗方法与美国骨科医师学会临床实践指南进行比较。
结果显示,与创伤骨科医生相比,关节外科医生对两个病例均更推荐人工全髋关节置换术(病例1:96%对84%;病例2:29%对10%;P≤0.02)和脊柱麻醉(病例1:70%对40%;病例2:62%对38%;P <0.01)。根据临床实践指南更改治疗策略的外科医生(n = 96;接受调查的21%)更倾向于地使用THA(n = 56;受访者的58%)和骨水泥股骨柄(n = 28;受访者的29%)。
原文摘要:
Clinical Practice Guidelines in Action: Differences in Femoral Neck Fracture Management by Trauma and Arthroplasty Training
Introduction:
The purpose of this study was to survey trauma and arthroplasty surgeons to investigate associations between subspecialty training and management of geriatric femoral neck fractures and to compare treatments with the American Academy of Orthopaedic Surgeons clinical practice guidelines.
Methods:
Five hundred fifty-six surgeons completed the online survey consisting of two sections: (1) surgeon demographics and (2) two geriatric hip fracture cases with questions regarding treatment decisions.
Results:
In both clinical scenarios, arthroplasty surgeons were more likely than trauma surgeons to recommend total hip arthroplasty (THA) (case 1: 96% versus 84%; case 2: 29% versus 10%; P ≤ 0.02) and spinal anesthesia (case 1: 70% versus 40%; case 2: 62% versus 38%; P < 0.01). Surgeons who have made changes based on clinical practice guidelines (n = 96; 21% of surveyed) cited more use of THA (n = 56; 58% of respondents) and cemented stems (n = 28; 29% of respondents).
Conclusion:
Arthroplasty surgeons are more likely to recommend THA over hemiarthroplasty and have a higher expectation for spinal anesthesia for the management of geriatric femoral neck fractures.
文献出处:Stambough JB, Nunley RM, Spraggs-Hughes AG, Gardner MJ, Ricci WM, McAndrew CM. Clinical Practice Guidelines in Action: Differences in Femoral Neck Fracture Management by Trauma and Arthroplasty Training. J Am Acad Orthop Surg. 2019;27(8):287-294. doi:10.5435/JAAOS-D-17-00760