
在传统的脊柱开放手术中,医生通过裸眼手术,手术切口相对较大,基本可以达到主要的手术目的,但受裸眼视力限制,在手术视野、精细化、辨别神经血管组织等方面仍存不足。脊柱显微镜的出现,打破了这些限制,大大提高了手术的精细化和安全性,增强术者对手术操作信心。
笔者通过三个脊柱显微镜的手术案例,分享一些自己团队的心得体会,希望能够启迪同道,抛砖引玉。
CASE 1
患者为53岁女性。主诉:颈部不适伴左上肢无力、右下肢麻木1月余。查体发现颈后轻压痛,活动正常。右上肢肌力Ⅴ 级,感觉运动正常,左手握力III-IV级,左小指、环指感觉麻木,右下肢皮肤感觉麻木。双侧Hoffmann(-)。

颈椎CT示:C6水平椎管内占位


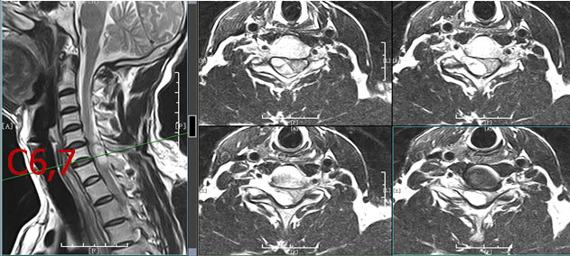
颈椎MRI
诊断:脊膜瘤
手术治疗方案:显微镜辅助下颈椎后路减压内固定术

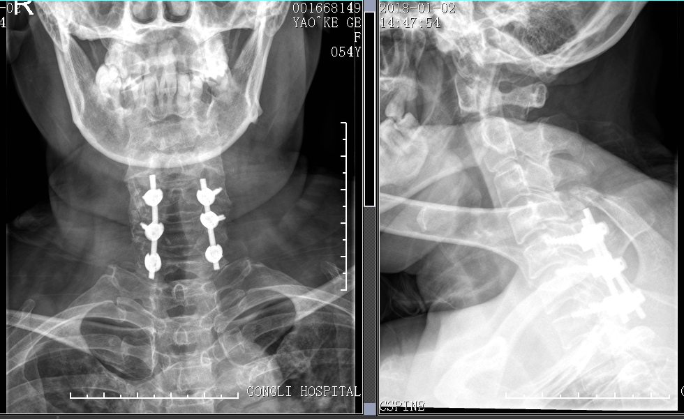
术后X片
患者术后恢复情况良好。
CASE 2
患者为46岁男性
主诉:突发四肢麻木无力10余小时。既往有心脏支架植入病史(长期口服抗凝药),肝硬化及胃大部切除病史。
查体:神清,精神可,对答切题,双上肢肌张力稍高,右上肢肱二头肌肌力III,肱三头肌III,握力II,左上肢肱二头肌、肱三头肌、握力III级,双手Hoffman征(-)。双下肢肌张力不高,肌力II级,双下肢膝、踝反射亢进,巴氏征(+)。




颈椎MRI
手术方案:显微镜辅助下颈椎后路全椎板减压内固定术

患者术中体位

术后X线片
(患者术后步态视频)
颈椎后纵韧带骨化症的显微切除技术
采用显微外科技术通过颈椎前路去除骨化的后纵韧带可使脊髓获充分减压,从而取得满意疗效。共分为四种:磨除法、整块切除法、悬吊法、蛋壳法。

CASE 3

颈椎CT
诊断:颈椎后纵韧带骨化、颈椎过伸伤、颈椎间盘突出
手术术式:显微镜辅助下ACCF

术后CT矢状位

术后CT横断面
结语
脊柱手术中使用显微镜进行手术存在以下优点:
1.显微镜自带光源,呈现共轴视野,术中视野更清晰可辨。
2.无需长时间低头操作,手术过程更符合人体工程学。
3.显微镜下操作要求更为精准细致,降低术中神经损伤风险。
4.手术视野共享,助手与主刀相互配合更为默契。
5.显微镜下视野可以同步传导至显示器屏幕并录制,有利于年轻医生交流学习。
脊柱显微镜技术有一定的学习曲线,需要通过特定的理论和实操培训,术中操作严格遵循无菌术原则,避免感染等并发症。以上为笔者近年来的脊柱显微外科领域的手术案例,如果不成熟之处,请大家批评指正。

上海市浦东新区公利医院杨铁毅教授团队合影
