全膝关节置换术应用于临床以来,已成为公认的治疗膝关节骨性关节炎、类风湿性关节炎等疾病终末期患者的最佳选择。而膝关节是人体解剖结构复杂、对运动功能要求极高的关节,其运动模式复杂,因此,对于膝关节假体的设计提出了很高的要求。如何在临床中选择高质量的假体以及改进假体设计、提高手术技巧,已经逐渐成为膝关节置换术中不可忽视的重点话题之一。本文将介绍目前临床常见的全膝关节置换假体。
全膝关节置换假体
1.CR假体
保留后交叉韧带型假体(CR假体)依靠后交叉韧带保持胫骨后方稳定,无后方稳定限制,假体形合度更低,限制性更小。运动产生的应力可以被膝周围韧带吸收,使假体与骨之间承受的剪切应力大大降低。保留PCL,术中截骨量小,不需要髁间截骨,易保持正常关节线位置。
CR有一定手术适应证,包括:膝关节后交叉韧带无松弛或挛缩,膝关节无严重畸形或屈曲挛缩,某些疾患如:类风湿、陈旧性关节结核、PCL缺失、损伤或功能不全,不宜使用CR,否则容易出现膝关节后脱位。保留PCL人工全膝关节是最早使用的膝关节假体,设计上有优势,在全膝置换中应首先考虑使用此类假体,对无屈伸挛缩及内外翻畸形的骨关节炎患者可获得良好疗效,但保留PCL手术技术要求较高,术后关节功能恢复效果与不保留后交叉韧带手术的效果相差不大,曾一度减少使用。文献报告保留后交叉韧带时,假体后方的承受的应力相应增大,可导致聚乙烯垫片后方磨损加剧。
近年PCL在本体感觉中的作用受到关注,加之技术进步和CR的应用有增多趋势。但目前临床上尚无统一意见。
2.PS假体
不保留后交叉韧带型假体(PS假体)的设计目的是增加稳定性,减少假体间的接触应力。它的特点是吻合性高,一般有凸轮设计。PS的优点是:①切除了PCL,较容易进行伸屈间隙平衡;②可以通过轻微增加屈曲间隙来增加膝关节的屈曲度;③假体前后向稳定性好。适用于膝关节严重屈曲畸形和外翻畸形的患者及伸膝装置受损的患者,如髌骨切除或髌韧带受损。
PS的潜在缺点为:①高吻合性使应力更多的通过假体传导,从而增加了假体-骨界面间的剪切应力,松动率高于CR;②安装假体时去除骨量较多,增加翻修手术难度。
PS手术适应证广泛,手术操作难度较低,是目前临床应用最广泛的膝关节假体。
3.活动平台型假体
活动平台型假体又包括旋转平台型假体和滑动平台型假体。该型假体胫骨平台托盘上的聚乙烯衬垫与托盘不固定,衬垫可以在托盘上自由滑动和旋转活动。该假体模拟人体正常膝关节的结构,在股胫关节中植入类似半月板的垫片,股胫关节呈圆-圆接触,吻合度较高,减少了假体的接触应力,且垫片可以在关节内微动,理论上较固定平台型假体有更好的术后活动度、关节功能以及更低的假体磨损率,更符合膝关节复杂运动的生物力学特性。

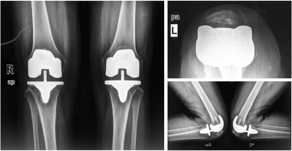
活动平台型假体置换术后X线片
注:L:左边;R:右边。
活动式负重面假体双髁接触面积大约是固定式负重面假体的5倍,接触应力可降至固定式负重面假体的1/5。在胫骨假体安装时,只需要考虑平台假体对胫骨面覆盖,安装后胫骨旋转可自动适应髌股滑动,避免因了胫骨旋转异常导致的髌股滑动轨迹异常,并可减少髌骨撞击综合征、髌股关节弹响和膝前痛。但滑动平台假体对侧副韧带稳定性及软组织平衡性要求更高,对于严重的膝内外翻畸形,术中需要广泛松解。侧副韧带相对脆弱的患者不宜使用旋转平台假体,因屈伸间隙不平衡及侧副韧带稳定性不良,可能出现旋转平台型假体聚乙烯衬垫脱出的情况。
4.高屈曲度假体
这一假体的设计与标准平台假体相比有着更高的屈曲率和后踝面积,与人体生理特点更加贴合,术后能够使患者达到较大关节灵活度,并降低了假体的后期磨损与脱位率。正常人体膝关节的活动角度为135˚,正常活动能够达到90˚,满足走路、爬楼梯、坐立等,活动达130˚以上,可跪、蹲等,生活更加的方便。高屈曲度假体,能够提升患者的关节活动度,但因为膝关节本身受较多因素影响,所有应用的实际效果与普通假体无较大差别性,其设计使得踝间的截骨量大大增加,使得后踝切除,使得假体翻修的手术难度进一步增大。
翻修假体
在进行人工关节置换术后翻修时,可先考虑使用限制型较小的普通膝关节假体,对于有较大骨缺损,或韧带功能不全者,应考虑使用翻修假体。
1.单纯增加固定稳定性假体

假体示意图
膝关节假体翻修通常有不同程度的骨缺损,使用表面关节难于获得良好固定,股骨侧和胫骨测必须加延长杆才能获得良好固定,目前多个厂家均生产类似产品。单纯性的增加稳定性假体的限制性较多,通过延长杆以提升稳定度,其适用于关节韧带功能较优的患者,而那些股骨、胫骨端发育不良、病变等情况的患者则不适用。
2.踝限制性型假体

髁限制性假体术后X线片
髁限制型假体(LCCK假体)股骨侧盒状凸轮与胫骨胫骨侧增高的衬垫凸起柱高度吻合,只允许有<2°的内外旋或内外翻运动,可部分限制假体内外翻及旋转活动。股骨和胫骨都是有柄设计,可分散假体界面应力,增加假体固定强度。
髁限制型假体有一定侧方稳定性,主要用于严重膝关节内、外翻畸形,且常规软组织松解不能实现侧副韧带平衡或有一侧侧副韧带功能不全患者。这种限制性更高的假体,胫骨衬垫凸起柱产生承受较大应力,可导致聚乙烯变形和磨损,还会造成衬垫向后微动,而导致产生聚乙烯及金属磨屑;这种应力还会传导到骨水泥或假体与骨之间界面从而导致假体松动。
3.旋转绞链膝关节假体

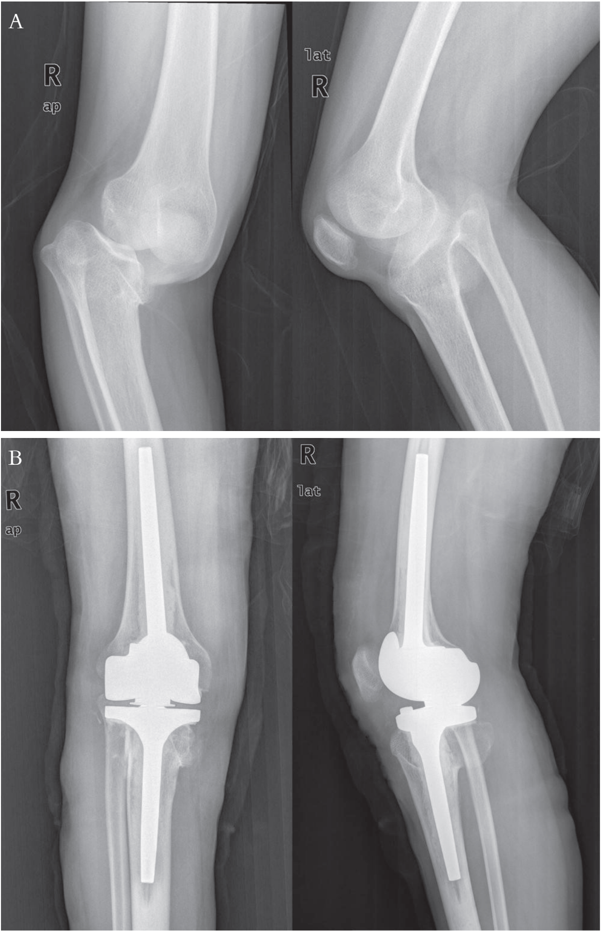
旋转铰链型假体置换术前后X线片
注:A:术前×线片;B:术后×线片。
旋转绞链膝关节假体在绞链膝关节基础上,使股骨假体连接在胫骨假体突起的旋转轴上,并依靠衬垫将股骨假体与胫骨假体连成一体。股骨假体相对胫骨衬垫不但有屈曲活动,还有一定的旋转运动。假体有良好的内在稳定性,不依赖膝关节的韧带和软组织,不需要进行软组织平衡,术中可切除内、外侧副韧带。股骨和胫骨假体均为抗旋转设计、有长柄分散假体界面应力,固定可靠。假体轴心距胫骨关节面的最低点约22.5mm,运动轴置于生理区域,较少发生髌股关节并发症。
旋转绞链膝关节假体主要应用在严重的膝内外翻畸形、严重膝关节屈曲挛缩畸形、强直膝、有严重骨缺损或侧副韧带功能缺陷的膝关节翻修病例。特别适用于内、外侧副韧带均受损或无法平衡屈伸间隙的患者。尽管旋转绞链膝增加了旋转功能,但仍是限制型假体,置换后假体与骨连接界面承受应力更大,再次翻修很困难。
4.定制肿瘤膝关节假体
这种假体在铰链假体或旋转铰链假体基础上加长股骨或胫骨部分的假体,假体完全依靠髓内固定,固定界面承受应力大,故松动率较高。主要用于股骨远端或胫骨近端肿瘤切除后置换,该假体是根据骨肿瘤的部位、大小,并结合患者临床情况个体化设计制造的,可满足不同患者的需求。与其他保肢方法相比,有不易感染、骨关节炎发生率低、移植物与机体的排异反应轻,可提供满意的外观和稳定的关节功能等优点,易被患者接受,被认为是目前膝关节恶性肿瘤保肢治疗的较好的方法。该假体亦可用于严重股骨髁和胫骨平台骨缺损翻修或创伤导致的股骨髁或胫骨平台毁损的治疗。
结束语
综上所述,在进行膝关节置换前要评估膝关节畸形或损伤程度、韧带状况及骨缺损情况,并考虑到患者年龄及是否有骨质疏松等情况,尽量选择限制性小,截骨量少的假体。力争降低术后松动率、使翻修更容易。尽可能恢复关节功能,提患者术后生活质量。
参考资料:
1.肖建生,人工膝关节置换假体的选择.中国医疗器械信息,2017.
2.郑润龙,黄迅悟,人工膝关节置换假体的选择.中国医疗设备,2015年第30卷,10期.