主任介绍

史占军
主任医师、教授、博士生导师,南方医科大学南方医院关节与骨病外科主任。
中华医学会骨科学分会委员、中国医师协会骨科医师分会常委、广东省医师协会骨科技术培训委员会主任委员、大湾区骨科技术培训委员会主任、中国民族医药学会疼痛分会副会长、《中华外科杂志》特约编委、《中华骨科杂志》编委、《中华解剖与临床杂志》特约编委、《中华关节外科杂志》(电子版)副总编辑、《中国矫形外科杂志》副总编辑、《中国中西医结合杂志》常务编委、《Journal of Arthroplasty》杂志编委。
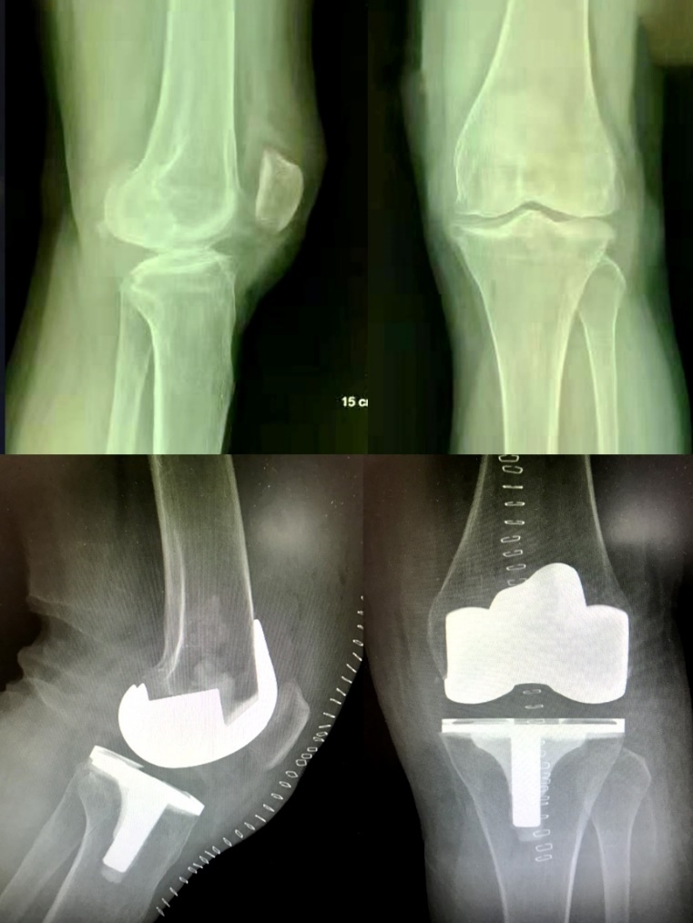
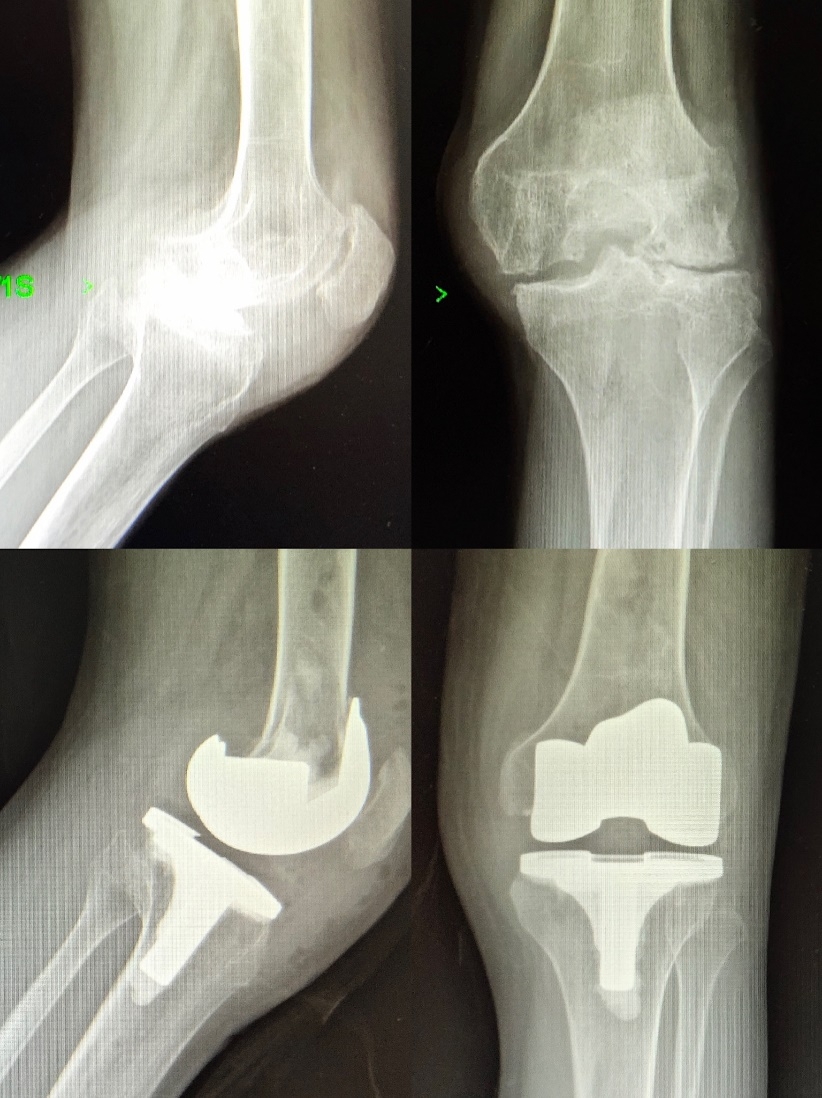
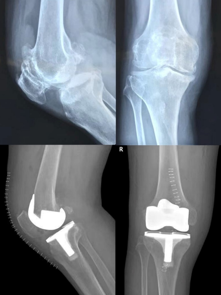
2019年8月13日和9月12日,由科室主任史占军教授主刀,为3位饱受膝关节炎病痛折磨的患者实施了全膝关节置换手术,术中首次使用了安择™膝关节,再次证明了施乐辉国产膝关节与一直以来提供的进口假体有着同样的品质。
史占军教授手术后对此款假体感受颇深,最大的改进在于前髁收窄设计,能够避免前髁的悬挂以及对周围软组织的刺激,它在假体和工具的设计上都给我们提供很好的帮助,这是南方医科大学南方医院的首款国产膝关节假体,相信它将是一个新的里程碑。



患者术前术后光片
医院介绍

南方医科大学南方医院是一所集医疗、教学、科研和预防保健为一体的大型综合性三级甲等医院,全国百佳医院。系南方医科大学(原第一军医大学)第一附属医院、第一临床医学院。医院创建于1941年,2004年8月随大学由军队移交广东省。南方医院综合排名在国内权威排行榜中稳定在15名左右,有15个专科进入中国最佳专科排行榜(复旦版)前十或得到提名,是广东省高水平医院“登峰计划”首批重点建设单位和国家区域中医(风湿病科)诊疗中心。
产品介绍
ANTHEM™膝关节系统由海内外专家共同设计,是一款改良型假体,可以解决市场上原有假体的一些问题,特别是前髁收窄设计,使其符合各类患者股骨特点,有效避免股骨的悬挂问题,减少医生在手术中的妥协,解决医生术中困扰。其简便操作、精简组合的手术工具,提供给医生高效方便的手术流程。

随着我国卫生医疗的发展和人民对高品质生活的追求,骨科关节手术的需求也日益增长。施乐辉是一家有着160年历史的医疗器械公司,在中国运营超过20年,致力于为中国病患和医生提供更好的解决方案。
施乐辉ANTHEM™(安择™)膝关节系统在推出全进口版本的同时,纯国产化的相同型号的假体同步上市是一个全新的起点。施乐辉公司将继续用同样的品质,不同的价格来更好为广大患者服务,通过进口产品国产化的技术转移方式提供更适合国人的创新产品。