来源:中日友好医院郭万首
整理:骨科在线
单髁关节置换术近期在国内得到广泛开展。无论是病例选择、手术技术,还是术后评估,都离不开影像学的支持。做好单髁手术,下面这11张X线片不能不掌握。
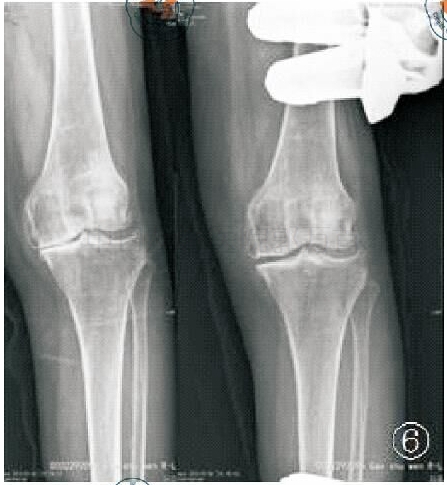
X线片一:术前前后位

标准的负重前后位 X 线可判断内侧间室关节软骨的磨损,若内侧间室关节间隙变窄,股骨内侧髁与内侧胫骨平台呈“骨对骨”接触状态,符合单髁手术适应证。
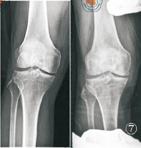
X线片二:术前侧位


侧位 X 线对于判断前交叉韧带功能完整性方面非常有价值,如果胫骨平台磨损最低点在胫骨平台的前部或中央部,磨损部位没有延伸至胫骨平台后缘,说明前交叉韧带完整,可行单髁手术;如果磨损部位延伸至胫骨平台后部,或者股骨向后半脱位,说明前交叉韧带缺失或功能严重损害,不符合单髁手术适应证。

侧位示意图
X线片三:外翻应力

外翻应力X线可用来辅助评价外侧间室关节软骨厚度是否正常及内侧副韧带功能是否完整:①如果外侧间室关节间隙变窄提示外侧间室软骨磨损(约<5 mm),这是单髁关节置换的禁忌证。②如果内侧间室关节间隙分离大于等于5 mm,说明内侧副韧带没有短缩,即内翻可
充分矫正,如果外翻应力X线下内翻畸形不能有效矫正,内侧间室关节间隙仍然狭窄,说明内侧副韧带短缩,则单髁关节置换手术不适合。③如果外翻应力X线可以完全矫正内翻畸形及半脱位,可以选择单髁关节置换术。否则,不适合行单髁关节置。

外翻应力示意图
X线片四:内翻应力

内翻应力X线是判断内侧髁间室软骨丢失的最可靠方法,如果临床怀疑内侧间室存在软骨磨损,并通过内翻应力X线不能证实内侧间室软骨磨损,则其不适合行单髁关节置换术。
X线片五:术前模板测量

术前使用X线模板来选择股骨假体的型号,将模板的轮廓紧贴X线片的股骨内侧髁,股骨假体的中央栓应与股骨干的长轴平行。不论是股骨髁远端还是股骨后髁,模板轮廓的外表面均应超出X线大约2 mm,以保证关节软骨的厚度。
X线片六:术后正位、髌骨轴位、侧位

前后位X线:患者仰卧于 X 线床,双脚并拢,双膝标准正位状,中心线对准髌骨下缘直射入,即以胫骨侧假体关节面为中心照射。侧方X线:患者仰卧于X线床上,屈膝 20°~30°,膝部外侧缘紧靠暗盒,髌骨与暗盒垂直,中心线对准关节线垂直射入,即以股骨部假体为中心。
对于胫骨假体:①在前后位,假体与胫骨轴成角90°(容许5°误差)。其外侧靠近髁间嵴,内侧缘达到胫骨内侧骨皮质,并允许轻度伸出,但不要超出胫骨皮质内侧2 mm。骨—假体界面应该显示出薄层连续骨水泥层并向骨质渗透几毫米。骨水泥在外侧面及龙骨周围渗入的范围比在中间渗入的更深。②在侧位,胫骨假体需要后倾7°,即假体水平面向后下倾斜与胫骨纵轴成7°角(容许5°误差)。假体后缘应该达到后侧皮质,但悬出不超过 2 mm。若悬出过多,可能意味着胫骨假体龙骨槽开槽时损害了胫骨后侧骨皮质。


胫骨假体前后位、侧位示意图
对于股骨假体:①在前后位,假体因为伸直位股骨假体相对于胫骨内旋了15°通常看起来很像一个凹背座椅。在冠状面上,股骨假体中心杆轴线平行于股骨机械轴线,也就是与股骨解剖长轴大约呈7°(容许10°误差),否则股骨假体为内翻或外翻,降低关节面的有效接触面积。②在侧位,假体中央固定柱轴线应该平行于股骨解剖长轴,容许10°以下屈曲及5°以下过伸。


股骨假体前后位、侧位示意图
X线片七:生理透亮线

生理性透亮线在X线片上显示宽度通常小于2mm,并且被一层纤细的密度增强骨板所限定。
X线片八:并发症之对侧间室骨关节炎

X线片显示对侧间室的关节间隙变窄或消失,关节软骨下硬化。对侧间室边缘出现骨赘不一定提示对侧间室骨关节炎进展。
X线片九:并发症之活动垫片脱位

X线检查可以发现衬垫移位的位置,同时还可能提示造成移位的原因,如骨赘、骨水泥残留、金属假体移位等。
X线片十:并发症之假体周围感染

假体周围感染的影像学最终表现就是假体下方有一边界不清晰的X线透亮区,不同于生理性透亮线。感染或者松动假体周围的病理性透亮线更宽,并出现增强线,透亮带的边缘有特征性病理表现。
专家介绍

郭万首,主任医师,医学博士,教授;中日友好医院骨关节外科曾任骨关节外科(骨坏死与关节保留重建中心)主任,北京大学医学部、中国医学科学院北京协和医学院、北京中医药大学博士研究生导师;中华医学会北京分会骨科专业委员会委员,关节学组副组长,中华医学会骨科专业委员会关节学组委员,中国医师学会骨科学分会关节学组委员,中国康复医学会骨与关节及风湿病专业委员会常委,中国中西医结合骨伤科分会关节工作委员会副主委