学术支持:解放军总医院第七医学中心 杜培
5月16日,在两位沙龙主席——解放军总医院第七医学中心李放教授、北京医院孙常太教授的组织与主持下,2019年第二届老年脊柱沙龙成功召开。我国骨科前辈党耕町教授以及来自北京地区的数十位脊柱外科专家们围绕着老年颈椎、腰椎疾病的两个真实的疑难病例进行了详细的讨论,现场学术氛围浓厚。

沙龙主席李放教授、孙常太教授

党耕町教授全程参与病例讨论

沙龙现场讨论气氛热烈
病例报告1

汇报医师:首都医科大学附属北京友谊医院 李想

术前X线检查

术前MRI及MRM检查
第一次手术基本信息
患者为75岁女性。在2000年出现腰痛,伴左下肢放射痛,间歇性跛行300米,保守治疗后症状有所缓解;2002年下肢痛加重,CT、MRI提示L3/4、L4/5、L5/S1椎间盘突出,椎管狭窄,于2002年11月第一次入院手术,行腰椎长阶段固定融合术治疗。
第二次手术基本信息
第一次手术9年后,患者左侧腰痛伴臀部痛3年,无明确的下肢根性症状,疼痛与体位改变有关,下肢肌力、肌张力正常,病理征阴性。行局部关节突封闭可以有效缓解疼痛,佩戴外固定支具症状能够减轻。
讨论专家意见
与会专家就其发生邻近节段变的原因,翻修手术方式选择以及预防邻近节段病相关策略进行了深入讨论。在座专家一致认为脊柱固定融合术前,应充分考虑患者的个人情况,了解邻近节段椎间盘的状况、慎重考虑融合方式及内固定器械可能带来的影响,从而决定相应的手术方式。
病例报告2

汇报医师:北京医院 张良
基本情况:




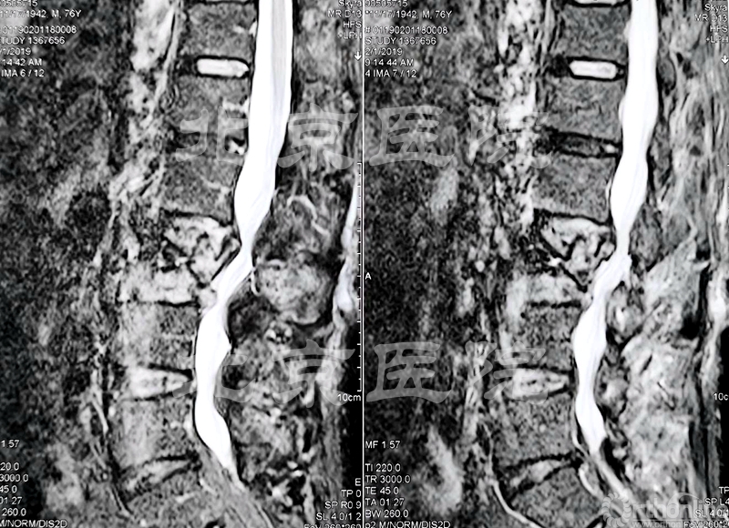
术前影像检查
患者为76岁男性,腰痛多年加重一月伴有腿疼,多年前曾有腰部外伤史,由于资料缺失原因不详。患者患有类风湿关节炎多年,需要常年使用激素治疗;伴有腰椎间盘突出症病史20多年,偶尔发作,合并有重度骨质疏松症;腰部BMD:-3.9(0.162g/cm2).
经检查发现患者脊柱外观无侧弯,腰部平直微向后凸,L2-L4椎体压叩痛阳性;腰椎前屈40度、左侧弯20度、右侧弯20度;双侧支腿抬高试验阴性,双下肢肌力、感觉及反射正常,双侧股神经牵拉试验阳性;双侧病理征未引出,双侧髋关节4字试验阴性。
讨论专家意见
与会专家围绕患者再次入院治疗情况、其前后路手术方式选择、进一步治疗方案、抗骨质疏松治疗策略进行了讨论分析。专家一致认为,在治疗骨质疏松患者时,要积极、早期介入骨质疏松的治疗,有助于患者的康复。


讨论掠影

沙龙合影
经过两个多小时精彩的学术交流与思想碰撞,本届沙龙增进了彼此间的友谊,加强了业内专家的合作交流,让北京地区乃至全国地区的老年脊柱医学获得了长足的发展。