学术支持:陆军总医院脊柱外科 杜培
2018年8月16日,第三季度老年脊柱沙龙如期而至。20余位来自北京地区各大医院的知名骨科专家出席沙龙。在两位沙龙主席——陆军总医院李放教授、北京医院孙常太教授的组织与主持下,专家们围绕着老年颈椎、腰椎疾病的两个真实的疑难病例进行了分析与讨论。

沙龙主席李放教授

沙龙主席孙常太教授
我国知名骨科老前辈、德高望重的原北医三院党耕町教授同时出席了此沙龙并全程参与病例讨论,他现场解答了许多后辈在临床上遇到的疑惑。

党耕町教授

沙龙现场
病例报告1
汇报医师:
空军总医院陈宇飞医师
病例资料:
女性,84岁
现病史:颈肩部疼痛7月,双上肢麻木2月,四肢无力,大小便障碍1月,无发热、盗汗、乏力等症状
既往史:高血压50年,房颤10余年,房颤射频消融术后6年,脑梗30年,后遗右下肢活动障碍;否认结核、牛羊等接触病史
查体:颈3-4棘突压痛(+);双上肢、胸2以下、双下肢、会阴区感觉减退,右侧为著;双上肢肌力0-I级,双下肢肌力II-III级;双上肢腱反射活跃,双下肢腱反射减弱;Hoffmann(-),巴氏征(+),髌、踝阵挛(-);JOA评分1分。
实验室检查:WBC:4.9G/L,中性粒细胞:76%;C反应蛋白:24.6mg/L、血沉:45mm;结核杆菌γ干扰素释放试验(+);降钙素原(-);布氏杆菌凝集试验(-);肿瘤全套(-);D二聚体:3420;EF:52%;左室壁节段性运动异常;双下肢动脉硬化伴斑块形成;左侧胸膜局限性增厚、粘连,小气道功能下降。
影像检查:





专家讨论内容如下:
刘宝戈教授:患者高龄84岁,根据临床表现、影像及化验指标诊断锁定结核。高位瘫痪,病程进展快,无论手术与否,其瘫痪加重、甚至死亡的风险都极高。因此需和家属沟通是否行手术治疗,如家属要求保守治疗,则安心卧床、制动、抗涝治疗即可。若选择手术,则需进行完整的麻醉评估,一定需行术前胸部CT检查,了解患者肺功能状态及是否有肺内活动性结核,若肺功能欠佳或有肺内活动性结核,则只能保守治疗。若评估可耐受麻醉,则首选前路手术,控制手术时间尽量在2小时以内,降低高龄患者麻醉风险及术后瞻望的可能性。选择切除颈3-4受感染侵及的椎体,行钛笼自体髂骨植骨,为防止因老年女性骨质疏松钛笼塌陷,钛笼上下端需加用终板盖。
伍骥教授:如果术前评估心肺功能不能麻醉,那是绝对手术禁忌。现患者射血分数52,肺功能尚可,加之高龄,只是相对禁忌症,但脊髓功能损害进行性加重,是绝对的手术指征。建议选择手术治疗。结合患者1.高龄、骨质疏松2.影像可见患者较胖 3.高位颈脊髓压迫。且结核感染病灶骨质破坏多,前路钛笼重建极易失败,且明显增加手术时间和难度,建议若行前路手术,则仅限于清除病灶,不要扩大手术范围,取自体髂骨重建,术后颈围保护,提高手术的安全性。
李中实教授:同意伍骥教授方案,常规结核手术应术前抗涝2周,但为抢救脊髓功能,可缩短疗程,尽快手术。结核病灶以椎间隙为中心,为低毒力感染,且本病例未见明显脓肿形成,手术可不完全刮除颈3、4椎体,术中病灶清除后可撑开间隙,取自体髂骨植骨。
孙常太教授:患者病变节段在颈3-4,脊髓受压明显,行前路手术时脊髓向后方躲避空间很有限。结合患者本身有颈椎病椎管狭窄的表现,可考虑先行后方减压,侧块钉固定的方案。二期行前路手术,保障前路手术的安全性。这种方案得到伍骥教授的认可,他认为,因患者前方未见明显脓肿,从脊柱稳定性重建的角度,甚至可考虑单纯后路手术。或者先后路手术,根据患者术后脊髓功能恢复的情况决定是否二期前路手术治疗。
党耕町教授:对于本例高龄老年颈椎感染病例一定要考虑到两点:第一,就是对于她来讲,救瘫痪就是救命。高龄,高危瘫痪,一旦丧失下地活动能力,呼吸肌功能受损,则卧床并发症很快出现。患者在一月前还能生活自理,因此应积极手术,抢救瘫痪。第二点,就是患者的骨质状况,颈3、4病灶还有无健康的骨组织。这涉及手术病灶清除的范围及重建方式的选择。结核引起瘫痪的原因有四点:1.脓肿 2.病理骨折 3.脊髓血管缺血 4.脊髓结核。本病例考虑为1、2为主,颈3有骨折后方脱位的表现。手术治疗前是不是可以考虑牵引,或者尝试牵引脊髓压迫就明显解除从而避免手术,都是值得考虑的方向。
李放教授:本病例很有意义。颈椎结核少见,又同时合并高龄,瘫痪,这种情况就更罕见,学习此病例对老年脊柱疾病的理解可获益良多。正是基于抢救脊髓功能,同时又要考虑尽量消除麻醉风险,因此明确应手术治疗,并且尽可能的微创。也就是做,但是尽量小做。患者虽影像学虽有颈椎病椎管狭窄的表现,但既往明确无相关症状,同时脊髓压迫明确来自前方,因此前路手术为首选。结核病灶是破骨与成骨同时存在,不需要扩大清除病灶范围以缩短手术时间。因结核病灶骨质脆弱,钛笼重建失败率高,因此反对用钛笼,直接用髂骨植骨。
病例的最终治疗方案无前路病灶清除,颈3-4髂骨植骨,颈2、5螺钉固定,2-3,4-5椎间融合。术后患者取得良好的疗效,近期随访已恢复基本自离能力。颈2螺钉及钛板有移位但无症状。与会专家基本认可此方案,建议进一步观察随访,不必调整内固定。
病例报告2
汇报医师:
首都医科大学附属北京友谊医院杨雍教授
病例资料:
男性,73岁,VAS6(腰4,双下肢6)
主诉:腰痛2年,加重伴间歇性跛行3个月,小于50米
既往史:高血压病
查体:下腰部及椎旁压痛(+),下肢抬高试验40度(+)
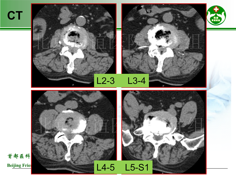
影像片:




专家讨论内容如下:
伍骥教授:手术的感染以及其它相关并发症的发生和手术方式及手术时间密切相关,长节段腰椎融合术,需处理的椎板,植骨间隙,甚至横突间等等方面,极大的增加了正常组织结构的破坏,延长手术时间,也就大大增加了术后感染的风险。对于本例患者的治疗方案选择,应做到更加精准和微创化的方案选择。
刘宝戈教授:患者老年病人,术前白蛋白水平较低。老年人术前全身营养状况和术后感染及术后康复密切相关。个人认为外科和内科对低蛋白的理解不一致。对于外科患者,白蛋白低于30g/l,则需补蛋白,对于感染性、消耗性疾病更应重视。在感染治疗的过程中,常见白细胞一旦使用抗生素就很快降至正常值,因此应更加关注C反应蛋白及血沉两项指标。
孙常太教授同意此意见,并提出对于老年患者需术前预估其失血量并备血,不止备用红细胞,也应准备血浆,术中自体血回输仅回收红细胞,且有部分破坏。因此需注意补充血浆,维持患者蛋白水平,从而增强患者的全身营养状态来对抗感染的发生。
张华俦教授:患者治疗选择手术减压范围偏大,同时发生感染后获得第一次金黄色葡萄球菌细菌学证据时选择抗生素方案合理性欠佳,泰能为碳青霉烯类抗生素,对革兰阴性菌效果佳,应及时使用抗阳性球菌的万古霉素。现迁延感染,有内固定松动,为避免细菌定植,应取出内固定,不用担心脊柱稳定性的丢失。清创后同时长期留置冲洗引流,直至感染指标正常。若此方案仍控制不佳,甚至可以敞开切口,通过换药逐渐愈合。
何勍教授:对于多节段腰椎退变患者,可以考虑长节段减压,短节段融合的方案来减小手术。对退变压迫重的责任节段行融合,腰4-5、腰5-骶1狭窄节段进行侧隐窝的减压即可,同时能保留后纵韧带,对于减小手术加快恢复有好处。本病例现已迁延半年,保留内固定的坏处大于好处,因慢性感染细菌会通过在内植物表面形成荚膜从而规避抗生素打击。一旦停用抗生素,感染极易复发。
李放教授:脊柱手术感染的危险因素包括:后路手术,男性,长节段(大于5)手术,手术时间长(大于3小时),本例患者均有。因此行后路长节段手术时,术中一定追加预防性抗生素,同时严格无菌操作,关切口前反复冲洗并切除坏死肌肉组织。对于早期感染,可清创后使用高规格抗生素控制,基本可以保留内固定。但是慢性感染,应及时取出内固定,否则因细菌荚膜的产生,对菌体形成抗生素保护,停用抗生素后会反复迁延,甚至最后产生耐药性,难以控制,增加患者的痛苦和经济花费。


部分沙龙嘉宾讨论病例
“会当凌绝顶,一览众山小”,老年脊柱沙龙为北京地区的脊柱专家提供了一个相互论道、共同学习的平台,通过每季度的沙龙,大家共攀老年脊柱疾病的高峰,收获到切实解决临床难题的方法。

沙龙合影