第六届首都骨科高峰论坛已胜利闭幕。本届会议广邀来自五个国家的脊柱畸形与脊柱微创领域的多名国内外知名专家,场面宏大,高朋满座。
国内多名学术大咖对脊柱畸形与微创技术进行了多场精彩发言,并进行了激烈讨论,而来自海外的四名教授带来的学术内容更是整个会议的焦点。
相同的问题,从不同的国家、视野、人群出发,是否得出不同的结果?下面我们对来自美国的美籍华人——Pro.Dean Chou的精彩发言进行一下简单的回顾和总结。

Pro. Dean Chou
与青少年患者不同,许多成人脊柱侧凸患者都具有伴随症状,他们前来就诊的主要目的可能是背部疼痛或下肢神经症状。
针对脊柱侧凸的术式我们不在此文赘述,但是如何选择最适合患者的术式才是问题的关键。Chou教授在治疗仅存在下肢神经根性疼痛无法忍受的侧凸患者时,认为局部融合才是最适合的手术。
那么患者在什么情况下会觉得疼痛难以忍受呢?Chou教授认为有以下几点:
①严重的矢状面失代偿;
②严重的冠状面失代偿;
③严重的神经根压迫。

以上原因会使脊柱产生局部弯曲,进而使中央管、侧隐窝和椎间孔狭窄,而更加严重的弯曲会导致椎体侧方滑移。狭窄的骨性结构必然引起神经根的压迫,导致下肢疼痛。
侧弯本身引起的背部疼痛症状是无法完全缓解的,局部凹侧的神经根性症状可通过相应节段的减压和融合使症状消失。


凹侧神经根管受压
为什么神经根管的压迫会导致严重的下肢症状呢?
①因为身体重力的原因,神经根管上下方被压迫,而非腹侧或背侧的压迫;
②压迫刺激背侧神经节——神经最敏感的部位。
由椎间隙减低引起的椎间孔狭窄,椎板切除术通常无效,最好的办法是将上下椎体撑开以释放椎间孔。

椎间隙高度丢失导致椎间孔狭窄
引起神经根性症状的主要部位位于局部弯曲处、主弯凹侧和椎体侧方滑移处。那什么是局部弯曲呢?即位于主弯下方的次弯——腰骶结合处。通常是L4-S1节段,可能仅是L5-S1节段。

局部弯曲

左:凹侧神经根受压;右:椎体侧方滑移
面对这样的患者,Chou教授提出了观点:我们可以单独融合引起症状的节段么(即仅融合局部弯曲)?如果行局部融合,同长节段融合的效果对比如何呢?

Chou教授等人对此进行了研究,对于仅存在L4-S1,T10-S1,T3-S1单独神经根性症状的患者进行局部融合手术,同长节段固定畸形比对研究。对失血量,住院时间,脊柱-骨盆参数,翻修率,手术节段延长发生率,并发症等进行比对。


从结果上看,三组手术在失血量方面存在显著差异,显然短节段的固定出血更少,恢复更快,住院时间也更短;
而在手术返修率方面,长节段固定翻修率更高,且具有统计学意义;
在其余影像学参数上,三组数据无明显差异,也就是说,短节段固定同样起到了长节段固定的临床效果。
最重要的方面是,观察客观影像学结果并不是手术成功的标准,解决患者的疼痛才是根本。局部弯曲融合病例中,患者下肢症状都完全消失,基本恢复平衡,生活质量有了明显提高。
Pro.CHOU等人的研究结果为:
①局部弯曲短节段融合,并发症少;
②手术返修率低;
③住院日短;
④术后效果较长节段固定无明显差异。
短节段固定的缺点为:相对长节段固定,因为其作用力矩较短,局部融合延长固定节段的可能性更高。

局部融合
从以上结果中我们可以看到,局部融合手术效果好,并发症少,那么局部融合的适应症是什么呢?
①患者存在局部弯曲(或次弯);
②不诉求侧弯彻底矫形;
③存在明显下肢神经根性症状;
④如有背部疼痛可以通过保守治疗控制;
⑤下肢症状保守治疗无效;
⑥无严重的冠状位/矢状位失平衡。
接下来我们分享几个适合局部融合手术的病例:
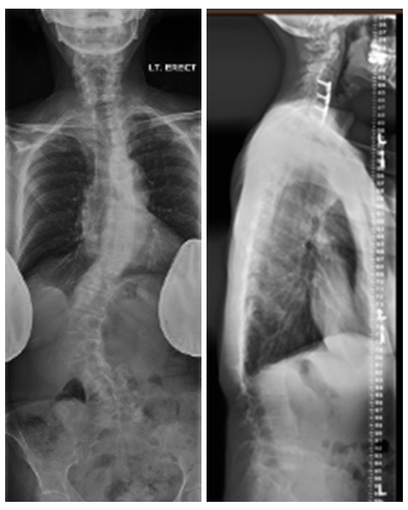
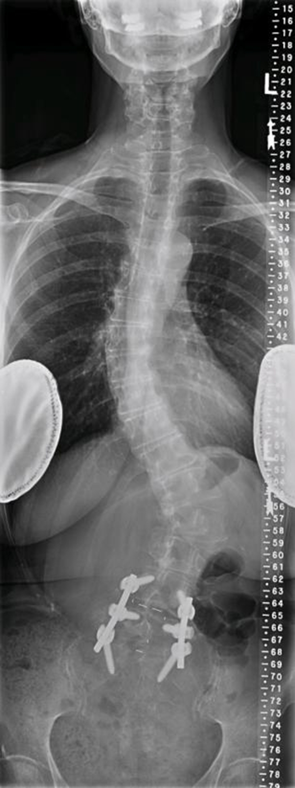
病例1
55岁,男性,背痛伴腿部疼痛10年;
曾行椎板切除术,术后效果不佳;
现右下肢疼痛明显,背部疼痛可耐受;
期望解决下肢疼痛问题。
诊断:退行性脊柱侧凸,腰椎管狭窄症。

为患者行局部减压融合内固定术术后:

术后患者恢复良好,诉下肢疼痛症状完全消失,并且较术前能站的更直。
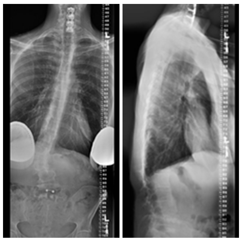
病例2
70岁,女性,右大腿前外侧疼痛;
曾行L3椎板切除术,术后效果不佳;
患者无背部疼痛,仅存在大腿前外侧疼痛,诉求解决大腿疼痛。
诊断:脊柱侧凸,腰椎管狭窄症,腰椎术后。

MRI可见局部弯曲凹侧神经根明显受压,腰椎X线可见椎体存在侧方滑移伴凹侧骨质增生硬化。

予患者行L3/4节段椎间孔减压,后路MIS固定。术后患者下肢疼痛症状完全消失。

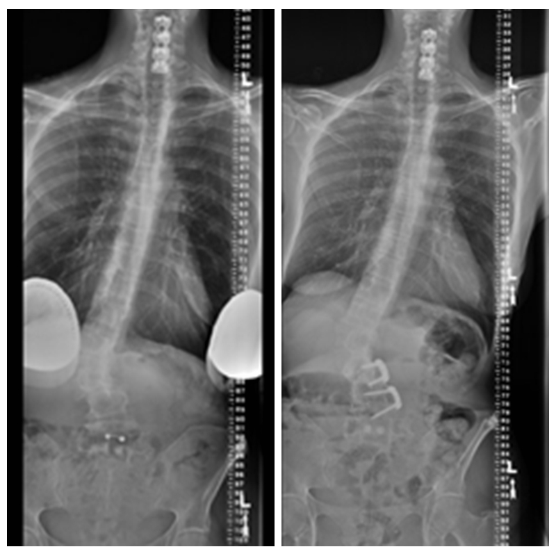
病例3
64岁,女性,左下肢疼痛多年;
背部疼痛可耐受;
曾行2次椎板减压术,效果欠佳。
诊断:退行性脊柱侧凸,腰椎管狭窄症,腰椎术后。

术前X线

术前MRI示L4/5左侧神经根管狭窄
行L4/5,L5/S1两个节段减压融合内固定术,术后患者下肢症状完全消失。

术后X线
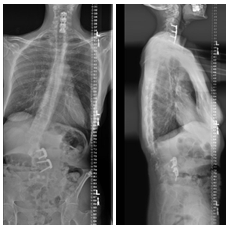
有适应症即有禁忌症,Prof.CHOU同样为我们展示了不适合局部融合的病例。
不适宜局部融合病例
51岁,女性,腰椎术前矢状位明显失平衡,术后多年加重;
期望解决下肢痛及站立问题。
诊断:腰椎局部融合术后,临近节段后凸畸形。

术前X线
予患者行后路PSO截骨,T10-骨盆固定。

术后X线
Prof.CHOU精彩的演讲结合临床的实际病例,关于局部融合手术给出了我们以下的建议:
①首先要仔细询问病史,确定患者疼痛的部位、性质;
②如果患者疼痛为神经根性症状,下肢疼痛、跛行,那么可以确定症状由局部压迫引起;
③在患者自身平衡较好的情况下,如果只存在腿痛而无腰背痛,应考虑局部融合;
④如果患者主诉为:无法直立,则应选择长节段融合。

总结
脊柱侧凸中的局部弯曲,被定义为主弯下方的腰段或胸腰段弯曲,经常是引起患者主要症状的原因。
下肢症状常为局部弯曲的凹侧神经根管狭窄引起,保守治疗通常无效,因为凹侧弯曲的机械性压迫因素引起的疼痛远较炎性症状引起的神经根性疼痛明显。
由椎间孔上下方的压迫继发于脊柱冠状位的失衡,因此通常来讲冠状位失衡程度越大,局部融合时需要矫正的角度越大。但是,局部弯曲彻底矫形难度大,且对于年龄较大人群来讲,完全矫形并无明显意义,只需解决下肢症状即可。此时只需通过将责任节段椎间隙撑开,使椎间孔获得更大空间即可。
在患者不要求对弯曲进行矫形、下肢神经症状较为明显时,局部融合即是首选。又因为局部融合不能对弯曲进行大幅度矫形,所以要求患者冠状位及矢状位平衡较好,手术进行一定的融合减压固定后,基本保持了原有的身体立线。所以对于局部融合的患者,适应症的选择应较为严格,这样一种并发症少,效果确切的手术,应在临床中多加应用。
作者简介

韩超凡
首都医科大学附属北京朝阳医院骨科
博士研究生
师从著名脊柱外科专家海涌教授
研究方向:
脊柱畸形的治疗,多次激发弥散张量呈成像技术在脊柱外科的应用,脊柱皮质骨螺钉内固定技术。发表相关SCI与核心期刊文章2篇,参与多项脊柱畸形、DTI成像技术研究。得到国家公派留学基金委资助,于美国哈佛大学进行联合博士培养。

海涌
主任医师、教授
博士及硕士研究生导师
享受国务院政府津贴专家
首都医科大学骨外科学系主任
首都医科大学附属北京朝阳医院骨科主任
从事骨科脊柱外科近30余年,擅长各种脊柱疾患的诊治,主刀成功完成手术5000余例。
主持承担国家及省部级科研情况10余项,基金800余万元,获得多项省部级科研奖励,第一/责任作者发表各类专业学术文章150余篇(SCI文章40余篇),主编/译学术专著8部,获得国家发明及实用新型专利7项。
现担任多项国际国内学术任职:
中华医学会骨科学分会委员、脊柱学组和创新转化学组委员;中华预防医学会骨科委员会常委;中国康复医学会脊柱脊髓专业委员会副主委、腰椎研究学组主任委员、脊柱畸形研究学组副组长;中国医师协会骨科分会委员;中国医疗保健国际交流促进会骨科分会常委、脊柱学组副组长;中国老年学会脊柱关节分会常委;北京医学会骨科分会副主任委员、北京医师协会骨科分会理事、北京康复医学会副会长;国际腰椎研究学会ISSLS常委亚洲首席代表、国际脊柱侧凸研究学会SRS理事、北美脊柱外科学会NASS理事、AOSpine亚太区理事;中国骨与关节杂志副主编、中华医学杂志、中华外科杂志、中华骨科杂志、中国脊柱脊髓杂志编委、SCI杂志Orthopedic Surgery、The Spine Journal编委等。