编者按
早发性脊柱侧凸(Early Onset Scoliosis, EOS)是指10岁以前发生的10度以上的脊柱畸形,病因包括先天性、综合征、神经肌肉型和特发性。其中,早发性特发性脊柱侧凸(Early Onset Idiopathic Scoliosis, EOIS)根据年龄,可以进一步分为:婴儿特发性脊柱侧凸(4岁前确诊)和幼儿特发性脊柱侧凸(确诊年龄为4至10岁之间)。
关于EOIS的自然史,1岁以前的婴儿特发性脊柱侧凸(Infantile Idiopathic Scoliosis, IIS),尤其是6个月以前发生的,进展风险较低,大部分能够缓解;1岁以后发生的IIS,仅20%-30%能自行缓解。幼儿特发性脊柱侧凸(Juvenile idiopathic Scoliosis, JIS),绝大部分(80%-100%)都会进展,支具治疗仅可使少部分JIS保持长期稳定,但大部分需要手术治疗。
EOIS的真实发病率尚不明确,但有些研究显示发病率低于1%。由于EOIS涉及到胸廓发育、身高和肺成熟之间复杂且精细的平衡,因而其临床管理变得十分棘手。
目前尚缺乏大数据的研究用于指导临床治疗EOIS。因此,2018年,来自美国纽约大学上州医科大学骨科的Rustagi T系统回顾了美国15年(1997-2012)间早发性特发性脊柱侧凸(EOIS)外科手术类型的趋势[1],并分析了住院时间,住院并发症以及总的住院费用,为临床开展EOIS治疗提供了有价值信息。
同时,笔者对二十年来EOS外科治疗不同技术的进展亦进行了简要回顾,旨在使读者了解现状与未来。
王 冰
中南大学湘雅二医院脊柱外科
骨科在线编委会脊柱专业副主编
一、EOIS外科治疗趋势分析
1.研究方法
Rustagi T回顾性研究的数据来源于美国医疗保健费应用项目(HCUP)和儿童住院数据库(KID),为期15年(1997-2012)。数据库每三年更新一次,包含21岁以下住院患者的详细资料。
该数据库由超过44个州的4000多家美国医院提供的年均量多达700万名患者组成。特发性脊柱侧凸病例以ICD-9-CM代码(国际疾病分类,第九次修订临床修改本)=737.30从KID数据库(1997年-2012年)中获取。然后从特发脊柱侧凸病例中筛选出年龄在0岁至10年之间诊断为特发性脊柱侧凸的患者。
此外,通过ICD-9 CM程序代码筛选出的EOIS患者中,行后路和前路脊柱手术的患者分别列组(表 1)。利用ICD-9 CM程序代码将EOIS患者中行前后路联合手术治疗的患者放在第三组(前后路联合手术)。收集的其他数据有:患者性别、出院诊断(合并症)、住院时间(LOS)、死亡率和住院费用。记录手术相关住院并发症。
研究分组变量为手术类型(前路,后路,前后路联合)。每个手术组分别评估每个不同变量(性别、死亡率、住院并发症率、出院诊断、住院时间和住院总费用)的趋势。

2.数据分析
住院费用的成本通胀调整到2012年,并利用美国劳工部劳动统计局通货膨胀计算器完成[20]。
数据分析使用IBM SPSS统计软件版本22(IBM公司,Armonk,纽约)。对连续变量采用方差分析,并对分类变量进行了卡方检验。采用线性回归试验来评估变化趋势。P≤0.05被认为具有统计学意义。
3.结果
15年期间,共有897例EOIS患者,其中546例(61%)需要手术治疗。EOIS患者的脊柱畸形手术率显著下降(从1997年的75%到2012年的47%),P=0.019(图 1)。

图1 15年研究期内美国EOS手术术式趋势
在手术队列中,男性与女性的分布分别为37%和63%。总死亡率为0.1%。住院时间平均为8天,出院诊断数平均为5.3。6%的患者合并并发症。
总平均住院费用(成本通胀调整为2012年)是119613美元(表 2),在成本通胀调整为2012年时(图 2),所有类型手术的平均住院费用均有所增加。对于后路手术,1997年的平均成本为45947美元,2012年的176791美元(P<0.001)。对于前路手术,费用增加2.8倍,(P<0.002);而对于前后路联合手术,费用增加了1.98倍,(P<0.004)。
手术方式上,62%(n=342)的患者行后路手术,13%(n=71)的患者行前路手术,24%(n=133)的患者行前后路联合手术。后路手术从1997年的33%显著增加到2012年的91%,(P<0.004)。前后路联合手术从50%降至4.3%(P<0.001)。前路手术也从17%降到4.3%,(P<0.126),但此无统计学意义。
前路手术及前后路联合手术组未见死亡病例;在后路手术组中,仅有2003年1例死亡(1.7%)。手术队列平均住院并发症率约为6%。在组内,后路手术的平均住院并发症率为5%,前路手术为3%,前后路联合手术为6.5%。并发症发生率变化不显著。前路和前后路联合手术组,并发症的发生率虽无统计学差异,但有所下降,分别从12.5%和13%降至0%。
手术组平均输血率为22%。在后路手术组中,平均输血率为21%,前路手术组为17%,前后路联合手术组为21%。三组在研究期间平均输血率没有明显的趋势变化。
手术队列平均出院诊断数(合并症)为5.3。合并症的平均数量在联合手术中平均为6.7,相较于后路手术的5以及前路手术的4.7,三组手术组在研究期间均未发现显著的趋势变化。
手术队列平均住院时间为8天。后路手术平均为7天,前路手术为6天,前后路联合手术为9天。后路手术的住院时间是相对恒定。前路手术组的住院时间从1997年的8天至2012年的5天,有明显的下降(P>0.008)。在前后路联合手术组中,住院时间长短交替,但总体差异并不显著(P=0.27)。(表 2)


图2 15年研究期内不同术式住院费用趋势
4.研究结论与局限
15年的研究数据显示EOIS 患者后路手术显著增加,但总体手术率明显下降;患儿住院费用显著增加,后路对于前路手术,费用增加2.8 倍,而对于前后路联合手术,费用增加了1.98 倍。研究结果为进一步开展EOS的治疗,特别是制定降低成本策略提供参考。
但该研究是通过 ICD-9-CM 代码检查计费数据得出,不可能深入探讨某些能够独立影响结果的医疗/外科手术复杂性和患者因素;数据库也未提供纳入研究患者的门诊随访数据,可能会影响相关并发症统计。
二、EOS外科技术回顾
外科治疗EOS目前主要有三大类技术,即撑开技术(传统生长棒技术、纵向可延伸式钛肋假体技术、自动撑开生长棒),生长引导技术(Luque trolley技术、Shilla技术以及其它如板-棍系统、滑动环式椎弓根钉脊柱侧凸矫形系统)以及凸侧压缩技术(椎体U形钉侧凸矫形技术和椎弓根螺钉栓系技术)。
1.撑开技术
分为“手术撑开型”技术和“自动撑开型”技术。前者主要包括传统生长棒技术与VEPTR技术,治疗期间需定期手术切开延长维持矫形;后者主要包括遥控型和磁控型生长棒技术,只需定期门诊体外撑开,而无需手术切开。
1.1 传统生长棒技术
属于“手术撑开型”生长棒,包括最早的Harrington系统及其改进技术、单/双生长棒系统。鉴于哈氏棒和单棒系统存在的诸多问题,Akbarnia等[2]于2005年首先应用了双生长棒技术用于增强整体稳定性。其原理为应用Isola连接器作为延长及连接的枢纽,横联固定双棒以抵抗旋转。
2010年,Bess[3]回顾性分析140例(897次生长棒手术)EOS患者,随访5年后,62%出现自发融合,19%部分融合。2010年,Yang等[4]回顾性分析327个病例,结果表明,无论双棒或者单棒技术,矫形效果较之Harrington系统都有明显提高;而较之于单棒技术,双棒系统的并发症率更低。
目前,生长棒作为非融合技术治疗EOS已被国内外学者认可,其适于畸形进展迅速、支具控制不佳者,理想手术年龄为6-9岁,至12-14岁行终末融合。

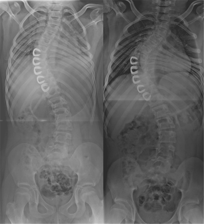
图3 6岁EOIS患儿,术前冠状面全脊柱正位X片(左),采用双生长棒技术,两端固定,顶椎撑开,术后6月复查正位X片(右)
1.2 纵向可延伸式钛肋假体技术
纵向可延伸式钛肋假体技术(vertical expandable prosthetic titanium rib,VEPTR)最初用于胸廓发育不良综合症(TIS),EOS患者因肋畸形而部分伴有胸廓发育不全。该技术利用凹侧钛合金肋骨撑开器扩张肋骨和胸廓,促进肋骨的生长发育,从而间接矫正脊柱畸形(图 4)。
VEPTR无需长节段剥离,故而避免了脊柱自发融合。因此,VEPTR在部分矫正畸形并保留了脊柱纵向生长能力的同时,扩大了胸腔,可明显改善患儿肺功能。
2009年,Hasler等[5]对比生长棒和VEPTR的矫形效果,显示VEPTR在冠状面的矫形效果不及生长棒,然而其控制矢状面和骨盆倾斜的效果较之生长棒更好。
2017年,Gantner等[6]回顾性分析了32例VEPTR患者,随访2.6-3.6年,结果显示对于EOS患儿,VEPTR可以较好地代替生长棒达到治疗效果,但其长期随访显示矫形效果下降。VEPTR的主要并发症为无症状型近端内固定移位。
2018年,Heflin[7]提出在VEPTR中使用近端平行固定改进,降低了近端内固定移位率。
总之,VEPTR技术更适于以肋骨畸形为主的CS或多发并肋引起的胸廓发育不良综合征,但其仍属于“手术撑开型”技术,并不能避免多次手术。

图4 A:EOS患儿术前冠状面全脊柱正位X片,左侧胸廓发育不全;B:左侧VEPTR肋骨撑开术,间接纠正脊柱畸形,以维持肺的发育
1.3 自动撑开生长棒
传统生长棒技术和纵向可延伸式钛肋假体技术都属于“可撑开”技术,在保留脊柱、胸腔及肺发育的同时纠正及控制畸形,改善胸腔容积。
但二者均需多次手术反复撑开,并发症发生率随之增高,影响患儿的心理生理健康,家庭要承受巨大经济负担。
而自动撑开型生长棒的出现,在理念上可以避免EOS患者多次撑开手术,从而减少相关并发症。主要包括:
1.3.1 遥控生长棒技术
1998年,Takaso等设计了遥控可延长生长棒,通过遥控器控制代替传统切开延长手术。整个装置包括遥控接收装置、远程控制器、生长系统。
Takaso在比格犬动物中应用了该技术。动物模型初始Cobb角为25°,术后每3周行体外遥控延长,Cobb角分别矫正为20°(3周)、15°(6周)、8°(9周)和3°(12周)。显示了良好的矫形能力。但动力及电池等问题限制了其进一步在临床的应用。
1.3.2 磁力控制生长棒
2012年,Akbarnia等[8]报道了MCGR的动物实验及初步临床结果(图 5),实验动物研究中,磁力控制生长棒(magnetically controlled growing rod, MCGR)最终延长达预期80%,且未发现相关并发症。2013年Akbarnia[9]再次报道了14例临床初步结果(图 2 右),平均随访10个月(5.8-18.2),未观察到相关严重并发症,其结果初步验证了其安全性。MCGR相关研究随之成为热点。
2017年,Gardner[10]回顾性分析28例EOS患者,认为MCGR不同于传统生长棒,在长期随访后并未出现无法进一步延长的情况。

图5 左图A:Akbarnia[8]于2012年首次报道MCGR,整个装置包括:带有可延长撑开器的生长棒(B),体外控制伸缩的螺旋磁芯(C)。右图为Akbarnia[9]于2013年报道中的1例5.5岁神经肌肉性EOS患儿。术前正侧位X片(A,B)示右胸弯45°;双棒MCGR术后正侧位X片(C,D);E和F为患儿术后7个月的定期延长后正侧位X片,示T1–T12和T1–S1分别达到12mm和31mm
2.生长引导技术
亦称为“自动滑移型”生长棒,依靠生长棒在钢丝或滑动螺钉上自动滑移来实现延长。主要包括Luque trolley系统、Shilla系统以及其它如板-棍系统(Plate-Rod System for scoliosis,PRSS)、滑动环式椎弓根钉脊柱侧凸矫形系统等。
2.1 Luque trolley技术
1982年,Luque首次提出Luque技术,用椎板下钢丝连接生长棒,利用钢丝在矫形棒上的滑动实现自动滑移。
Luque技术依靠脊柱自身的生长引导钢丝在矫形棒滑移,不需要反复的延长手术,应力的分散弥补了Harrington系统的不足,但仍为骨膜下剥离,脊柱自发融合率仍较高。且椎板下钢丝的连接,尤其是钢丝的断裂可能损伤脊髓。另外,钢丝滑移能力并不确切,脊柱的生长可能无法达到预期的程度。
2011年,Ouellet等[11]改进了luque技术,即中央并联滑动型生长棒,同时报道5例接受Luque trolley手术的EOS患者,结果显示:Cobb角由术前60°降至21°,且术后2年随访无加重,显示了良好的矫形能力与矫形效果的维持能力。但出现了2例因滑移不足而行切开延长病例,且其设计并未降低脊髓损伤的风险。
Ouellet等[12]于2014年将Trolley Gliding Vehicle(TVG)技术(图 3 A)生长棒应用于小鼠动物研究,用以评估其稳定性,结果显示132个移动面中出现19个小关节融合(图 6)。

图6 Ouellet[12]于2014年报道的Trolley Gliding Vehicle(TVG)技术(A);B:现代Luque Trolley装置、Shilla装置及改进Luque装置对比[11];C:Ouellet[12]于2014年报道的现代Luque Trolley装置小鼠动物模型中,出现的关节面活动都、小关节融合及椎间盘高度改变等表现
2.2 Shilla技术
Shilla系统包括矫形棒、单向和万向的椎弓根螺钉。在顶椎区予以4对螺钉有限融合,上下端椎予以带滑槽的椎弓钉,该系统允许脊柱沿棒的两端生长。
2010年,McCarthy[13]于11例动物模型中应用Shilla技术治疗,结果显示:平均的生长长度为48mm,解剖仅观察到微小的磨损但无断钉断棒等;McCarthy[14]于2014年又报道了38例行Shilla技术治疗的患者,术后3个月予以支具保护,随访2年以上(图 3),术前Cobb角平均为70.5°,术后6周为27°;2年随访示肺容量改善13%,躯干高度(C7-S1)增长12%,出现了3例棒相关并发症,2例感染。
2017年,Luhmann等[15]多中心回顾性比较了Shilla系统和生长棒系统,结果表明二者在并发症率上无明显差异,且Shilla技术在畸形的矫正与矫形效果的维持上更有优势。同时Shilla手术创伤更小,手术次数少3-4倍。但Shilla系统对于置钉要求较高,钉棒易出现无法滑动的状态。
Shilla技术适合特发EOS,Cobb>50°,单或双弯(柔韧性好)患儿,主要并发症在于金属反应及内固定失败等。

图7 McCarthy等[14]报道了38例行Shilla技术治疗的患者,随访2年以上。A:3岁婴儿特发性脊柱侧凸患儿术前正位X片;B和C为术后3月影像资料;D和E为术后2年正侧位X片
2.3 其他生长引导技术
2004年,叶启彬[16]等报道了一种板-棍系统(PRSS),有4个主要部件:板棍、圆棍、钉钩及横位连接体。上端固定,下位椎体与棒可相互滑动,因而PRSS矫正装置能随脊柱生长自动延伸,并以板棍凸侧加压加速软骨退变从而抑制生长。共应用34例,随访平均29.6个月,其中15例平均矫正丢失8°,无严重并发症。2007年,周劲松等[17]描述了滑动环式椎弓根钉脊柱侧凸矫形系统,该系统由锁定椎弓根钉、滑动环式椎弓根钉及矫形棒组成。并以该模型造出脊柱侧凸动物模型。
3.凸侧压缩技术
骨骼纵向生长受到多种因素的调控.其中最主要的就是压力。Hueter-volkmann原理认为对于骨骼的生长受应力的影响,终板承受的压力过大,则其生长受抑制。凸侧压缩技术依据此原理,产生类似凸侧骨骺阻滞效果,以期纠正脊柱生长不平衡,控制侧凸发展。凸侧压缩技术主要包括椎体U形钉侧凸矫形技术与椎弓根螺钉栓系技术,目前认为适合于侧凸度数不大的EOS患者[18]。
3.1 椎体U形钉侧凸矫形技术
即椎体骑缝钉技术(vertebral body stapling),旨在予以凸侧加压进而抑制凸侧生长,以期控制畸形。
1951年,Nachlas和Borden使用骑缝钉造出幼犬脊柱侧凸及椎体旋转动物模型;2004年,Braun等在羊脊柱侧凸模型中尝试用镍钛形状记忆合金(shape memory alloy,SMA)行前路SMA骑缝钉固定手术,结果显示确有矫形疗效,但脱钉率达27%。Betz等先后报道了21例与39例SMA骑缝钉固定手术,总结认为该手术适于:未发育成熟的、侧凸度数不大( <45 )的患儿。
Stücker[18]通过对椎体骑缝钉技术术后随访发现Cobb>35°患者畸形持续进展,而<35°则无明显进展。可见椎体骑缝钉技术适合侧凸度数较小的患者,但由于骑缝钉跨越了活动的椎间盘,承受的应力较大,故而易松动、脱出乃至断裂。

图8 A:椎体U形钉侧凸矫形技术,应用形状记忆合金骑缝钉
3.2 椎弓根螺钉栓系技术(vertebral body Tethering)
为降低应力,减少脱钉风险,有学者针对椎间盘存在活动性这一特点,将骑缝钉固定改进为半限制性栓系,限制纵向生长但仍允许固定节段一定程度的椎间活动。
Newton等在动物模型上利用椎弓根螺钉栓系技术造出脊柱侧后凸畸形模型。Braun等在山羊模型上应用骨钉-韧带栓系技术治疗山羊脊柱侧凸,结果显示椎体栓系固定系统较U形钉侧凸矫形技术具有更佳的矫形效果和更强的抗脱出能力。
Braun等又比较了二者三维矫形能力,发现栓系技术在冠状面上矫形能力优于U形钉侧凸矫形技术,但对于矢状面和水平面矫形能力较弱。
2017年,Boudissa等[19]前瞻性行6例Tethering技术,平均随访21.6个月,术前平均主胸弯为45°±10°(35°—60°),平均腰弯为33°±5°(30°—40°)。术后平均胸椎曲度为38°±7°(30°—50°),平均腰椎曲度为25°±9°(15°—40°),在最后一次随访期间,矫正保持不变,无明显相关并发症。资料显示了椎体Tethering技术良好的矫形能力与维持能力。
目前,椎体U形钉侧凸矫形技术及椎弓根螺钉栓系技术的研究主要集中在动物实验上,临床长期随访资料还比较少,多为小样本,临床指征尚未明确,也未被广泛接受,仍需长期随访资料及大量的临床样本的支持。

图9 椎弓根螺钉栓系技术:前路多节段栓系
总结
●不同非融合技术各有其不同的适应症,必要时可采用混合技术;
●目前对于撑开技术,国内外学者致力于避免多次切开的延长手术,体外控制是其一大方向;而生长引导技术则旨在给予机械撑开力的同时,提供术后继续矫正作用,逆转Hueter-volkmann定律,用以克服残留脊柱侧凸引起的不对称生长,但该技术目前仍尚未被广泛接受,还需更长时间的随访,以及开展多中心、前瞻性的研究来验证其有效性和安全性。
作者简介

徐洁涛
中南大学湘雅二医院脊柱外科,硕士研究生,师从国内脊柱外科专家王冰教授

王冰
教授、主任医师,博士生导师
现任中南大学湘雅二医院脊柱外科、湖南省脊柱外科治疗中心副主任,脊柱外科实验室主任。
担任中国康复医学会脊柱脊髓专业青年委员会副主任委员,中国医促会骨科疾病防治委员会委员秘书长、脊柱内镜学组副主任委员,中国医师协会骨科医师分会脊柱内镜专家委员会副组长,中华医学会骨科学分会青年委员会和基础学组委员,AOSpine中国部讲师,湖南省康复医学会脊柱脊髓专业委员会主任委员,中国脊柱脊髓杂志常务编委,The Spine Journal和Spine中文版编委等职。
擅长内镜微创脊柱外科和各类复杂脊柱畸形的矫治。在国家级和国际核心刊物上以第一作者和通讯作者发表论文90余篇,SCI论文30余篇,主持国家自然科学基金3项。
参考文献
1.Rustagi T, Kurra S, Sullivan K, et al. Surgical treatment of early onset scoliosis in the united state: A trend analysis of 15 years (1997-2012). The Spine Journal, 2018,May
2.Akbarnia, B.A., et al., Dual growing rod technique for the treatment of progressive early-onset scoliosis:a multicenter study. Spine, 2005. 30(17 Suppl):p. S46.
3.Bess, S., et al., Complications of growing-rod treatment for earlyonset scoliosis: analysis of one hundred and forty patients. Journal of Bone & Joint Surgery American Volume, 2010. 92(15): p. 2533.
4.Yang, J.S., et al., Growing rod fractures: risk factors and opportunities for prevention. Spine, 2011. 36(20): p. 1639.
5.Hasler, C.C., A. Mehrkens, and F. Hefti, Efficacy and safety of VEPTR instrumentation for progressive spine deformities in young children without rib fusions. European Spine Journal, 2010. 19(3): p.400-408.
6.Gantner, A.S., et al., Spinal deformity changes in children with long-term vertical expandable prosthetic titanium rib treatment. Spine J, 2018. 18(4):p.567-574.
7.Heflin, J., et al., Parallel Proximal Fixation In Rib-Based Growing Rod System: A Novel Approach To Deal With Proximal Anchor Migration. Spine (Phila Pa 1976), 2018.
8.Akbarnia, B.A., et al., Innovation in growing rod technique:a study of safety and efficacy of a magnetically controlled growing rod in a porcine model. Spine, 2012. 37(37):p. 1109-1114.
9.Akbarnia, B.A., et al., Next generation of growthsparing techniques: preliminary clinical results of a magnetically controlled growing rod in 14 patients with early-onset scoliosis. Spine, 2013. 38(8): p. 665-70.
10.Gardner, A., et al.,Does the law of diminishing returns apply to the lengthening of the MCGR rod in early onset scoliosis with reference to growth velocity? J Spine Surg, 2017. 3(4):p. 525-530.
11.Ouellet, J., Surgical technique:modern Luque trolley, a selfgrowing rod technique. Clin Orthop Relat Res, 2011. 469(5):p. 1356-67.
12.Ouellet, J.A., et al., Evaluation of the Modern Luque Trolley Construct for the Treatment of Earlyonset Scoliosis Using a Gliding Implant in an Immature Animal Model. Clin Spine Surg, 2017. 30(4):p. E460-e465.
13.McCarthy, R.E., et al., Shilla Growing Rods in a Caprine Animal Model: A Pilot Study. Clinical Orthopaedics and Related Research, 2010. 468(3):p. 705-710.
14.McCarthy, R.E., et al., The Shilla growth guidance technique for early-onset spinal deformities at 2-year follow-up:a preliminary report. J Pediatr Orthop, 2014. 34(1):p. 1-7.
15.Luhmann, S.J., et al., Radiographic Outcomes of Shilla Growth Guidance System and Traditional Growing Rods Through Definitive Treatment. Spine Deform, 2017. 5(4):p. 277-282.
16.叶启彬, et al., 不需植骨融合治疗生长中儿童脊柱侧弯的新装置. 临床骨科杂志, 2004. 7(1):p. 1-5.
17.周劲松, 一种新型生长型脊柱侧凸矫形系统的研制及动物实验研究. 2007, 中国人民解放军军医进修学院.
18.Stücker, R., [Results of treatment of progressive scoliosis with SMA staples]. Der Orthopäde, 2009. 38(2):p. 176.
19.Boudissa, M., et al., Early outcomes of spinal growth tethering for idiopathic scoliosis with a novel device:a prospective study with 2 years of follow-up. Childs Nerv Syst, 2017. 33(5):p. 813-818.
20.美国劳工部劳动统计局通货膨胀计算器:http://www.bls.gov/data/inflation_calculator.htm