髋膝文献精译荟萃(第5期)

首页 >> 热点关注 >> 正文

髋膝文献精译荟萃(第5期)

来源:304关节学术 编号 : #133900#
2018-06-05
我要评论

第一部分:关节置换相关文献

文献1

骨小梁金属袖套重建骨缺损后胫骨假体是否需要使用延长杆

译者:张轶超

目的:本研究目的在于探讨当采用骨小梁金属袖套重建胫骨缺损后胫骨假体是否需要使用延长杆来维持假体稳定性及其应力分布,以及骨密度是否影响假体稳定性。全膝关节置换术中,骨小梁金属袖套常被用来修复大块骨缺损。胫骨假体可以使用延长杆来增加稳定性,但目前仍不清楚使用骨小梁金属袖套进行重建后是否必须使用延长杆,因为使用延长杆也可能会产生一些负面作用。
方法:使用骨小梁金属袖套对2B型骨缺损(Anderson骨科研究所分型)进行重建。对7个尸体的双侧胫骨进行假体植入;每个尸体的一侧植入带延长杆的假体,另一侧不使用延长杆。对所有的样本
的胫骨假体内侧和外侧交替加载同一体重大小的力。对假体与骨的微动、骨应力、骨密度和相关系数进行测量并计算。

结果:未带延长杆的胫骨假体仅显示出有更大的内翻(差异的中位数为0.14°,P < 0.05),但这么小的度数没有临床意义。应力分布无差异。骨密度仅对前后位倾斜有影响[ρ=-0.72(p<0.01)]。
结论:使用骨小梁金属袖套重建大块骨缺损后,胫骨假体是否使用延长杆在生物力学稳定性和应力分布上没有差别。如果体内研究能确定延长杆不是必须的,骨科医生进行假体植入时可以不使用延长杆。


Tibial component with and without stem extension in a trabecular metal cone construct

PURPOSE: The purpose of this study was to investigate stability and strain distribution of a tibial plateau reconstruction with a trabecularmetal cone while the tibial component is implanted with and without a stem, and whether prosthetic stability was influenced by bone mineral density. Trabecular metal cones are designed to fill up major bone defects in total knee arthroplasty. Tibial components can be implanted in combination with a stem, but it is unclear whether this is necessary after reconstruction with a trabecular metal cone. Implanting a stem can give extra stability, but may have negative side effects.

METHODS: Tibial revision arthroplasties with trabecular metal cones were performed after reconstruction of a 2B bone defect according to the Anderson Orthopedic Research Institute classification. Components were implanted in seven pairs of cadaveric tibiae; one tibia of each pair was implanted with stem and the other without. All specimens were loaded to one bodyweight alternating between the medial and lateral tibial component. Implant-bone micro-motions, bone strains, bone mineral density and correlations were measured and/or calculated.

RESULTS: Tibial components without a stem showed only more varus tilt [difference in median 0.14° (P < 0.05)], but this was not considered clinically relevant. Strain distribution did not differ. Bone mineral density only had an effect on the anterior/posterior tilt [ρ: -0.72 (P < 0.01)].

CONCLUSION: Tibial components, with or without a stem, which are implanted after reconstruction of major bone defects using trabecularmetal cones produce very similar biomechanical conditions in terms of stability and strain distribution. If in vivo studies confirm that a stemextension is not mandatory, orthopaedic surgeons can decide not to implant a stem.


文献出处:Meijer MF, Boerboom AL, Stevens M, et al. Tibial component with and without stem extension in a trabecular metal cone construct. Knee Surg Sports Traumatol Arthrosc. 2017 Nov;25(11):3644-3652.


文献2

应用超声检查评价行走和跑步后股骨内髁软骨的变形情况

译者:马云青

目的:探讨应用超声评价健康人群在走路和跑步后股骨内侧髁软骨变形情况。

实验设计:25位没有骨关节炎病史和膝关节外伤史的志愿者作为受试对象 。在测试前和测试后分别应用超声对受试者股骨内侧髁软骨的厚度进行测量,测试分三种不同的情况,每种情况测试 30分钟:1)以自己习惯的行走速度步行, 2)以自己习惯的速度跑步, 3)坐在治疗床上(作为对照)。软骨变形程度的评价依据测试前后软骨厚度改变的百分比计算。最后比较三种不同情况下软骨变形情况。

结果:三组受试者间软骨厚度的基础值无差异 (F1,24=0.18,p=0.68)。测试后三组间的软骨变形情况存在差异 (F1,24=47.54,p<0.001)。步行组 (%D=-6.7,t24=6.90,p<0.001,d=-1.92) 和跑步组 (%D=-8.9,t24=8.14,p<0.001,d=-1.85)与坐姿组(对照组)(%D=+3.4) 比较软骨变形明显。而步行组和跑步组间比较无差异 (t24=1.10,p=0.28,d=0.33)。超声测量股骨内侧髁软骨厚度在一次测试时的可信度和准确度 (ICC2,k=0.966,SEM=0.07mm),在之后的 7至 16天多次测为 (ICC2,k=0.964,SEM=0.08mm) 和 (ICC2,k=0.919,SEM=0.11mm)。

结论:对于正常人股骨内髁软骨变形的定量分析,超声是一种精确、可靠的影像学检查方法。与对照组相比步行和跑步均可造成更大的软骨变形,但行走与跑步对软骨变形的影响不存在差异。

Ultrasonographic Assessment of Medial Femoral Cartilage Deformation Acutely Following Walking and Running Matthew

Objective: To determine the magnitude of medial femoral cartilage deformation using ultrasonography (US) following walking and running in healthy individuals.  

Design: Twenty-five healthy participants with no history of osteoarthritis or knee injury volunteered for this study. Medial femoral cartilage thickness was assessed using US before and after three separate 30-minute loading conditions: 1) walking at a self-selected speed, 2) running at a self-selected speed, and 3) sitting on a treatment table (i.e. control). Cartilage deformation was calculated as the percent change score from pre to post loading in each loading condition. The magnitude of cartilage deformation was compared between the three loading conditions.  

Results: There was no difference in baseline cartilage thickness between the three sessions (F1,24 =0.18, p=0.68). Cartilage deformation was different between the loading conditions (F1,24 =47.54, p<0.001). The walking (%Δ=-6.7, t24 =6.90, p<0.001, d=-1.92) and running (%Δ=-8.9, t24 =8.14, p<0.001, d=-1.85) conditions resulted in greater cartilage deformation when compared to the control condition (%Δ=+3.4). There was no difference in cartilage deformation between the running and walking conditions (t24 =1.10, p=0.28, d=0.33). US measured medial femoral cartilage thickness demonstrated reliability and precision within a single session (ICC2,k =0.966, SEM=0.07mm) and between additional sessions separated by seven (ICC2,k =0.964, SEM=0.08mm) and sixteen days (ICC2,k =0.919, SEM=0.11mm).

Conclusions: US demonstrated to be a reliable and sensitive imaging modality at quantifying medial femoral cartilage deformation in healthy individuals. Both walking and running conditions created greater cartilage deformation when compared to the control conditions, but no difference was observed between the walking and running conditions.  


文献出处:文献为审稿文章,尚未见刊。


文献3

中国人群中股骨与胫骨冠状位侧弓发生率及其对全膝关节置换的影响

译者:张蔷

目的:了解中国人群中股骨与胫骨冠状位侧弓情况的发生率,以及其对全膝关节置换手术中截骨的影响,尤其是应用髓内定位的情况下。

方法:终末期骨关节炎病人拍摄整个下肢的全长片,测量冠状位股骨与胫骨侧弓的角度。如果角度大于2°则认为侧弓明显。

结果:93例患者,58(62%)例股骨存在冠状位侧弓,41(44%)例有平均5.3°的侧弓;17(18%)例有平均4.4°的侧弓。显著的胫骨侧弓则相对少见(30例,32%)。如果大于2°的截骨误差是无法接受的,显著的侧弓会增加截骨误差的发生率。

结论:中国人群终末期骨关节炎病人中,股骨或胫骨的冠状位侧弓发生率相对较高。如果全膝关节置换中应用髓内定位,显著的侧弓会增加截骨误差。


Coronal bowing of the femur and tibia in Chinese its incidence and effects on total knee arthroplasty planning

Purposes: To study the incidence of femoral or tibial bowing in the coronal plane in a Chinese population, and how it affects the accuracy of bone cuts for total knee replacement when an intramedullary alignment system is used.

Methods: Standing radiographs of the entire lower limb of each patient with end-stage primary osteoarthritis of the knee were analyzed. All radiographs were digitized and the extent of bowing in the coronal plane measured. A bowing was marked if an angulation was more than 2 degrees. The projected error of cutting was then calculated.

Results: Of 93 lower limbs, 58 (62%) of the femurs had marked bowing in the coronal plane; 41 (44%) had a mean lateral bowing of 5.3 (standard deviation [SD], 3.2) degrees; 17 (18%) had a mean medial bowing of 4.4 (SD, 1.9) degrees. Marked tibial bowing in the coronal plane was less common (30 tibias, 32%). If a cutting error of more than 2 degrees was considered unacceptable, significantly more unacceptable cuts would ensue in the groups with marked bowing (p=0.003 for femurs and p<0.001 for tibia, respectively).

Conclusion: The incidence of femoral or tibial bowing in the coronal plane was high in a Chinese population with end-stage osteoarthritis of the knee. This phenomenon may increase bone cut errors in total knee replacement if an intramedullary alignment system is used and the extent of bowing is not recognized.


文献出处:WP Yau, KY Chiu, WM Tang, TP Ng. Coronal bowing of the femur and tibia in Chinese its incidence and effects on total knee arthroplasty planning. J Orthop Surg (Hong Kong). 2007 Apr;15(1):32-6.


第二部分:保髋换相关文献

文献1

关节切开清理联合切开复位内固定术治疗儿童移位型股骨颈骨折

译者:罗殿中

本研究旨在明确关节部分切开联合切开复位内固定术治疗儿童股骨颈骨折是否可降低股骨头骨骺血供破坏的风险。自1989年2月至1994年2月,共纳入13例骨骼发育未成熟的患儿,均接受关节部分切开、清理关节囊内血肿,同时结合切开复位内固定术治疗。其中男3例、女10例;年龄5岁至16岁;骨折原因包括11例交通事故、1例高处坠落以及1例交通事故合并坠落伤。

通过髋关节核磁及其他影像学检查评估术后是否发生股骨头骨骺坏死。患者随访时间为2年至5.5年,平均2年8月。截止末次随访,根据Ratliff 评价标准,12例患者获优良效果,另1例患者获一般效果。无股骨头骨骺坏死、髋内翻、骨折不愈合或骨骺早闭发生。该结果证实了关节切开清理血肿可能会降低儿童股骨颈骨折切开复位内固定术后股骨头骨骺缺血坏死的风险。

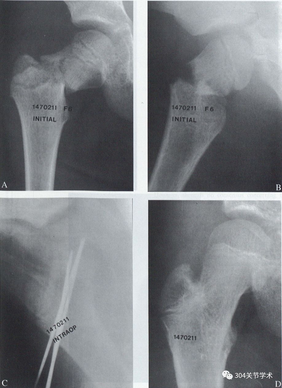
典型病例:6岁女,A、B显示III型移位型股骨颈骨折,移位程度占30%-40%;C 伤后48h内,行关节切开血肿清理,同时行切开复位克氏针固定术;D术后41月,骨折愈合无并发症发生。


Arthrotomy and open reduction of the displaced fracture of the femoral neck in children

The objective of the study was to examine the efficacy of limited arthrotomy coupled with open reduction and internal fixation to minimize potential complications of vascular disruption of the capital femoral physis and femoral epiphysis. It was a patient outcome study. Skeletally immature patients with femoral neck fractures were treated according to a protocol in which all patients underwent limited arthrotomy with decompression of the intercapsular hematoma, open reduction and internal fixation. Radiographic and magnetic resonance imaging studies were carried out on patients to assess whether avascular necrosis developed in the postoperative period. Patients were followed for a mean length of 2 years 8 months, with a range of 2 years to 5.5 years. Twelve patients had good results and one had fair results using Ratliff criteria. No patient developed avascular necrosis (ischemic necrosis), coxa vara, nonunion or premature epiphyseal closure. This study supports the hypothesis that limited decompression of the intracapsular hematoma in children with femoral neck fractures may be a factor in obviating the subsequent appearance of ischemic disruption of the epiphysis and physis.


文献出处:Song KS, Kim YS, Sohn SW, Ogden JA. Arthrotomy and open reduction of the displaced fracture of the femoral neck in children. J Pediatr Orthop B. 2001 Jul;10(3):205-10.


文献2

对8-10岁儿童进行10个月强化学校体育锻炼对骨骼矿化和肌肉健康状况产生积极的影响:FITFIRST随机对照试验

译者:程徽

实验目的:调查8-10岁儿童的肌肉骨骼健康状况是否受到高强度有规律体育课程的影响。

设计和参与者:295名8-10岁的丹麦学童被随机分配到小场地球类运动组(SSG组)(n=96,四所学校,五个班级),循环力量训练组(CST组)(n=83,四所学校,四个班级)和对照组(CON组,n=116,两所学校,五个班级)。

干预方式:SSG组或CST组在10个月内进行每周3次每次40分钟训练。使用全身双能量X射线吸收测定法(DXA)扫描来确定面积骨密度(aBMD),骨矿量(BMC)和瘦体重(LBM)。用单腿站立平衡、立定跳远和20米短跑测试来确定肌肉健康状况。

结果:训练10个月后与训练前对比,发现各项干预均有利于全身aBMD的增长(SSG组较CON组高8mg/cm2,95%置信区间3-13;CST组较CON组高7mg/cm2,95%置信区间2-13,p<0.05)和腿部BMC的增长(SSG组较CON组高11g,95%置信区间4-18;CST组较CON组高11g,95%置信区间3-18,p<0.05)。与CON组和CST组相比,SSG组的腿部aBMD升高更多(SSG组较CON组高19mg/cm2,95%置信区间11-39,p<0.05;SSG组较CST组高12mg/cm2,95%置信区间3-21,p<0.05),CST组与CON组相比BMC升高更多(CST组较CON组升高25g,95%置信区间10-39,p<0.05)。两种训练类型均能升高平衡评分(SSG组较CON组每分钟摔倒次数少2.4次,95%置信区间为0.3-4.5,CST组较CON组每分钟摔倒次数少3.6次,95%置信区间为1.3-5.9,p<0.05)和立定跳远距离(SSG组较CON组多10%,95%置信区间5-16%;CST组较CON组多9%,95%置信区间3-15%,p<0.05)。短跑成绩和LBM无组间差异(p>0.05)。

结论:综上所述,全学年每周3次每次40分钟的小场地球类运动或循环力量训练,可改善8-10岁儿童的骨骼矿化和并从各方面的提升其肌肉素质,这表明组织良好的高强度体育课程对促进儿童肌肉骨骼系统健康起积极的作用。


Positive effects on bone mineralisation and muscular fitness after 10 months of intense school-based physical training for children aged 8-10 years: the FIT FIRST randomised controlled trial

OBJECTIVES: We investigated whether musculoskeletal fitness of school children aged 8-10 years was affected by frequent intense PE sessions.

DESIGN AND PARTICIPANTS: 295 Danish school children aged 8-10 years were cluster randomised to a small-sided ball game group (SSG) (n=96, four schools, five classes), a circuit strength training group (CST) (n=83, four schools, four classes) or a control group (CON, n=116, two schools, five classes).

INTERVENTION: SSG or CST was performed 3×40 min/week over 10 months. Whole-body dual-energy X-ray absorptiometry (DXA) scans were used to determine areal bone mineral density (aBMD), bone mineral content (BMC) and lean body mass (LBM). Flamingo balance, standing long jump and 20-m sprint tests were used to determine muscular fitness.

RESULTS: Analysis of baseline-to-10 months change scores showed between-group differences in favour of the interventions in whole-body aBMD (SSG vs CON: 8 mg/cm2, 95% CI 3 to 13; CST vs CON: 7 mg/cm2, 95% CI 2 to 13, p<0.05) and leg BMC (SSG vs CON: 11 g, 95% CI 4 to 18; CST vs CON: 11 g, 95% CI 3 to 18, p<0.05). SSG had higher change scores in leg aBMD compared with CON and CST (SSG vs CON: 19 mg/cm2, 95% CI 11 to 39, p<0.05; SSG vs CST: 12 mg/cm2, 95% CI 3 to 21, p<0.05), and CST had higher change scores in whole-body BMC compared with CON (CST vs CON: 25 g, 95% CI 10 to 39, p<0.05). Both training types resulted in higher change scores in postural balance (SSG vs CON: 2.4 fewer falls/min, 95% CI 0.3 to 4.5, CST vs CON: 3.6 fewer falls/min, 95% CI 1.3 to 5.9, p<0.05) and jump length (SSG vs CON: 10%, 95% CI 5 to 16%; CST vs CON: 9%, 95% CI 3 to 15%, p<0.05). No between-group differences were observed for sprint performance or LBM (p>0.05).

CONCLUSIONS: In conclusion, 3×40 min/week with SSG or CST over a full school year improves bone mineralisation and several aspects of muscular fitness of children aged 8-10 years, suggesting that well-organised intense physical education classes can contribute positively to develop musculoskeletal health in young children.


文献出处:Larsen MN, Nielsen CM, Helge EW, et. Positive effects on bone mineralisation and muscular fitness after 10 months of intense school-based physical training for children aged 8-10 years: the FIT FIRST randomised controlled trial. Br J Sports Med.2018 Feb;52(4):254-260.


文献3

合并盂唇损伤的髋关节发育不良患者在进行髋臼周围截骨术时是否有必要进行关节切开或关节镜手术?

译者:肖凯

     接受髋臼周围截骨术(PAO)的发育性髋关节发育不良(DDH)患者通常合并盂唇撕裂。对于MRI上显示盂唇全层撕裂的DDH患者,单纯PAO与PAO联合关节切开或关节镜哪种才是最佳的手术方案?这是本研究着重探讨的问题。本研究共纳入两组患者,单纯PAO组(47髋)与PAO合并关节切开或关节镜组(PAO-A)(60髋)。两组病例均有平均随访28个月的髋关节发育不良骨关节炎结果评分(HOOS)、改良Harris评分(mHHS)、VAS评分及临床与影像学资料。我们对两组病例的再手术率及术后并发症发生率进行比较。单纯PAO组患者年龄较PAO-A组年轻(25.2±9.7 VS 31.3±8.3)。单纯PAO组的髋臼畸形相对更重:外侧CE角(7.6°±9.63° VS 10.8°±6.85°)、前CE角(4°±12.92° VA 10.8°±9.92°)。单纯PAO组术前的mHHS评分(65.2±15.3 versus 57.8±14.8)及HOOS评分(66.3±17.5 VS 55.8±20.1)相对更高。两组患者的末次随访结果无明显差异:mHHS评分(86.8±12.4 VS 83.3±17.2)、HOOS评分(86.5±13.3 VS 82.5±16.8)、VAS评分(2.5±2.8 VS 2.5±3.1)。两组患者间再手术率无明显差异(6.4% VS11.6%, P=0.51)。单纯PAO组整体的术后并发症发生率低于PAO-A组(26% VS 68%),但是主要并发症的发生率是相当的。基于我们的数据,我们还不能十分确切地说单纯PAO适用于所有合并盂唇损伤的DDH患者,至少关节切开或关节镜手术在某些病例中是有意义的。


Periacetabular osteotomy for developmental hip dysplasia with labral tears: is arthrotomy or arthroscopy required?

Patients with developmental dysplasia of the hip (DDH) who undergo periacetabular osteotomy (PAO) often have labral tears. The objective of this retrospective study was to compare PAO alone with PAO combined with arthrotomy or arthroscopy in DDH patients who had a full-thickness labral tear on magnetic resonance imaging. In total, 47 hips in the PAO group (PAO) were compared with 60 hips in the PAO with concomitant arthrotomy or arthroscopy (PAO-A) with respect to Hip Disability and Osteoarthritis Outcome Score (HOOS), modified Harris Hip Score (mHHS), Visual Analog Scale (VAS), clinical and radiographic outcomes at a median of 29 months. Reoperation rate and complications were compared between two groups of treatment. The PAO group was younger than the PAO-A group (25.2 ± 9.7 versus 31.3 ± 8.3). The PAO group was more likely to have worse dysplasia: lateral center edge angle (7.6°±9.63° versus 10.8°±6.85°) and anterior center edge angle (4°±12.92° versus 10.8°±9.92°). The PAO group had a higher preoperative mHHS (65.2 ± 15.3 versus 57.8 ± 14.8) and HOOS (66.3 ± 17.5 versus 55.8 ± 20.1). There were no significant differences in final functional outcome scores across treatment groups: mHHS (PAO; 86.8 ± 12.4 versus PAO-A, 83.3 ± 17.2), HOOS (86.5 ± 13.3 versus 82.5 ± 16.8) and VAS (2.5 ± 2.8 versus 2.5 ± 3.1). There was no difference in reoperation rate between two groups (6.4% versus 11.6%, P = 0.51). The overall complication rate was lower in the PAO group (26% versus 68%), but major complications were comparable. On the basis of our data, we were not able to conclusively demonstrate a clear benefit for the routine treatment of all labral tears; however, arthrotomy or arthroscopy may play a role in some conditions.


文献出处:Thanacharoenpanich S, Boyle MJ, Murphy RF, et al. Periacetabular osteotomy for developmental hip dysplasia with labral tears: is arthrotomy or arthroscopy required?  J Hip Preserv Surg. 2018 Jan 11;5(1):23-33.


文献3

关节囊成形术治疗发育性髋关节脱位术中关节囊不足的处理方法

译者:张振东

关节囊成形术为年轻发育性髋关节脱位患者的保髋治疗方法之一,若适应证选择合适,该手术方式或可对股骨头软骨正常的髋脱位患者提供有效的保髋机会。本文描述了1例27岁女性发育性髋关节脱位患者,总结了结合髋关节外科脱位行关节囊成形术的治疗经验。正常情况下,该手术是经髋臼缘游离关节囊后,将关节囊完整包裹股骨头后,复位股骨头至磨锉后的髋臼中,以在股骨头软骨与关节囊之间形成新的关节界面。而本文这例患者,术中由于关节囊不足以包裹股骨头,故选用40mm*70mm大小、厚度3mm的脱细胞真皮同种异体移植物代替关节囊附于髋臼内,并复位股骨头后,将移植物周缘与患者自身关节囊修补缝合。复位股骨头的方法采用“降落伞”法,即将移植物4个角分别缝合牵拉,形如降落伞(图),将其贴附于磨锉后的髋臼后,维持4个角的牵拉力,保持移植物位置不变,轻柔复位股骨头。术后支具维持髋关节外展位3月,并逐渐调整减小外展角度。3月后逐渐开始负重并增加关节活动度。该患者截止术后8月,股骨头位置良好,髋关节活动度为屈髋100度,后伸10度,行走不需要支具且无跛行。

脱细胞真皮同种异体移植物

术前

术中

术后即刻,外展支具固定

术后8个月


Capsular augmentation in Colonna arthroplasty for the management of chronic hip dislocation

Colonna capsular arthroplasty represents an option for the management of chronic hip dislocation in young patients with dysplasia. In the appropriate patient, modern capsular arthroplasty procedures may provide an opportunity for hip preservation in patients with preserved femoral head cartilage and not appropriate for total hip arthroplasty. Here, we review our experience with surgical dislocation of the hip and capsular arthroplasty in a 27-year-old female with congenital hip dysplasia and chronic superior hip dislocation. Due to inadequate native capsular tissue, a decellularized dermal allograft was used for interposition and capsular arthroplasty augmentation. The femoral head with preserved articular cartilage was reduced into the enlarged native acetabulum using a parachute technique to hold the allograft in position. Post-operatively, the patient was placed in a hip abduction brace and made non-weight bearing for six weeks. A conservative physical therapy protocol was implemented to allow gradual increase in weight bearing and range of motion over the first 12 weeks post-operatively.


文献出处:Sloan M, Kamath AF. Capsular augmentation in Colonna arthroplasty for the management of chronic hip dislocation. J Hip Preserv Surg. 2018 Jan 11;5(1):34-38.


文献4

早期新生儿DDH超声普查的低发病率:易患因素的分析与评估

译者:杨金鑫

目的:不同的矫形中心,DDH筛查的方法和时间也各不相同。因此,基于物理检查的超声筛查得出的DDH发病率也各不相同。此外,在过去几十年中,DDH的各种易患因素和DDH发病率的变化也一直被大家所争论。本文的目的在于采用最近的队列研究估计早期DDH的发病率和易患因素,该队列研究是基于DDH的超声普查。

方法:我们中心的DDH筛查结果:5356个连续新生儿,采用R. Graf发表的超声和物理筛查方法,在出生两周内进行筛查。采用单变量和多元线性回归模型对易患因素进行分析。

结果:超声检查异常的DDH患儿有0.24%。出生体重、家族史、女性等易患因素与α角呈显著负相关。早产对DDH有潜在的保护作用。

结论:我们的数据显示两周龄以内的婴儿DDH发病率很低。尽管分析了易患因素的重要性,但必须考虑到这些因素对早期DDH的影响很小。总之,我们赞成对6到8周龄新生儿行DDH超声普查。


Low incidence of early developmental dysplasia of the hip in universal ultrasonographic screening of newborns: analysis and evaluation of risk factors

PURPOSE: Different timing and approaches to screening for developmental dysplasia of the hip (DDH) are used in the orthopaedic community. Thus ultrasonographic screening programs and reports based on clinical examinations produced differing incidence rates of DDH. Furthermore different risk factors and a change of incidence of DDH in the last decades were discussed. The purpose of this study was the evaluation of incidence and risk factors of the very early DDH in a modern cohort based on a universal ultrasound screening program.

METHODS: We analysed the results of the screening program performed at our institution: 5,356 consecutive hips of newborns were screened ultrasonographically and clinically according to the system published by R. Graf within the first two postnatal weeks [1]. A set of risk factors was analysed by univariate and multiple linear regression models.

RESULTS: Sonographic signs of developmental dysplasia of the hip were found in 0.24 % of the newborns. A significant negative influence of the risk factors birth weight, family history of DDH and female gender on the α-angle was found. Early or pre-term delivery showed a protective potential for DDH.

CONCLUSIONS: Our data show a very low incidence of DDH in the first two postnatal weeks. Despite the significance of the risk factors analysed, it has to be considered that these factors only showed low impact on the risk of early DDH. In conclusion we favour universal ultrasound screening for DDH at the age of six to eight weeks.


文献出处:Kolb A1, Schweiger N2, Mailath-Pokorn y M, et al. Low incidence of early developmental dysplasia of the hip in universal ultrasonographicscreening of newborns: analysis and evaluation of risk factors. Int Orthop. 2016 Jan;40(1):123-7.


已评论0

请您登录后再评论

返回顶部