
schatzker 几型?大家可以看看?

这个是个内平台骨折伴随脱位,情况比较复杂。
今天,我们就谈谈在高能量胫骨平台损伤中需要注意的七个问题。
第一,就是脱位。
脱位首先说明了高能量损伤!需要引起注意。
需要排除血管神经的损伤,进行早期的牵引复位。
根据高能量损伤判断损伤机制,进行该机制下合并伤的排查也十分重要。


坠落伤注意排除跟骨,距骨,lisfranc等损伤等……

这样一个骨折,应该是什么机制,又应该如何治疗??
我们仔细的观察可以发现,该骨折是过伸、内翻损伤,并且导致的前面的关节面压缩。
针对这样的骨折,我们就应该把butress钢板放在前内侧进行支撑塌陷的关节面!
而不是内侧或内后侧。

脱位第二就说明了韧带损伤!
需要进行韧带损伤的排查,以及半月板的损伤可能
可进行初期修补,或进行二期修补。

第二,就是根据骨折进行分型,所谓分型知道治疗,对骨折进行分析。
不同的骨折采用的入路不同,根据胫骨平台的四柱分型,一共有四种入路可供选择,即同时也有四种钢板的放置。



这样一个骨折,属于哪型?哪个入路?哪里放钢板?
请看一下CT,这个内侧平台的一个侧向剪切所造成的骨折。

应该算是IV型中的C亚型,外侧壁完整。
对于这样一个骨折,以下的手术是否合理?

1.外侧钢板是不需要的。
2.内侧的关节面复位严重不足。

这样的错误治疗大家需要记得,外侧的锁定钢板并不能够很好的固定内侧的骨块,达不到butress的作用,想象一下,如果你想要治疗这个骨折,应该把你的手放在哪边进行承托呢?那就是应该置放钢板的位置。

第三,需要重建力线,力线比关节面更加重要。
这个就不在这里赘述了,张英泽院士的双反牵引就是较好的解决了复杂平台骨折的力线问题,值得大家一起学习。

这样的力线能用多久?即使关节面较好,也会出现功能不良和创伤性关节炎等。
第四,才是关节面的重建。
关节面属于耐心细心活,属于拼积木,一般从完整简单的一侧开始拼,用克氏针进行临时固定,这个也不赘述了,大家的应该都比我厉害,严重的关节面缺损,记得可以用髂骨修建进行替代。

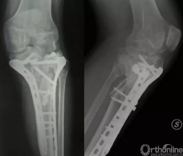
第五,腓骨头是否固定?我们看这个病例。

这是一个简单的IV型骨折,采用内侧支撑钢板固定。

该固定较好的把内侧进行了固定,但是,需要注意在这种情况下,需要检查膝关节的稳定性,
当我们进行内翻应力试验后,我们发现……


平台骨折中,大多数的腓骨头可以不固定的。
外侧平台间隙明显增大,膝关节不稳定,需要进行腓骨头的固定。
第六,关于髁间嵴。


这样的髁间嵴撕脱比较常见,我们可以采用两枚螺钉固定,但是复位就比较困难了,只能采用经皮的空心螺钉来进行加压固定。
第七,关于极度粉碎。

还能再碎点吗??

对于这样极度粉碎,文献报道,最终的关节置换率只有5-7%。
请相信自己,不要放弃,对于这样的患者,我们有以下几个要点需要阐述。
1.重建力线(最重要);
2.注意宽度;
3.尽可能恢复关节面(可以留一堆克氏针都没有问题);
4.充分植骨,保持支撑防止塌陷;
5.坚强固定。
