骨肿瘤是指发生在骨内或起源于各种骨组织成分的肿瘤,以及由其他脏器恶性肿瘤转移到骨骼的肿瘤统称为骨肿瘤。骨肿瘤可分为良性和恶性,但其间有时没有截然的界限,甚至同一肿瘤中可同时存在良性和恶性的组织学特征。为了进一步明确诊断,显微镜下的病理所见必须结合临床情况和X线表现,全面加以分析,三者缺一不可。
判断骨病变是否为肿瘤,是良性还是恶性,是原发还是转移,推断肿瘤级别类型,关键在于确定肿瘤的良恶性。我们首先看一下影像学上如何进行区分。
一、判断是否肿瘤
首先是肿瘤与感染鉴别,可从病史,骨质破坏与骨质增生、病变范围,骨膜增生、软组织的改变等方面进行鉴别。

左为亚急性化脓性骨髓炎,右为骨肉瘤
二、判断肿瘤良恶性
1、骨质破坏
囊状破坏,膨胀性破坏,溶骨性破坏。

左股骨上段囊状骨破坏区,边缘光滑,无硬化边
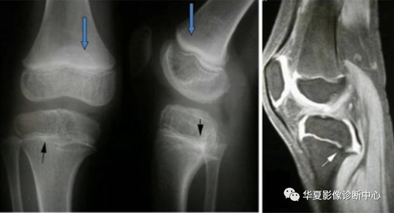
2、软骨破坏
侵犯关节软骨:关节面模糊,中断消失。关节间隙狭窄,宽窄不一,并见肿瘤影。
侵犯骺板软骨:先期钙化带境界模糊,密度不均,中断消失,骺板软骨出现软组织影。

股骨远端正常骨骺,侵犯骺板软骨:出现软组织且宽窄不一
3、肿瘤骨形成
象牙样:密度很高,境界不清,无骨结构。
絮状:密度较高,境界模糊,无骨结构。
针状:垂直骨体,排列紧密,针状影。

4、肿瘤软骨钙化
形态:环状,弧状,点状具有诊断意义,大小,良性者形态完整,境界清楚,密度均匀。恶性者相反。(如下图)

5、残留骨及反应骨
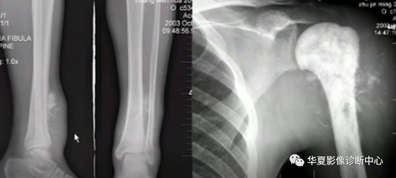
骨质增生,骨膜反应,良性者边续,局限,清楚,厚在2mm以上,恶性者间断,相对广泛。

骨样骨瘤良性骨膜反应,骨肉瘤恶性骨膜反应
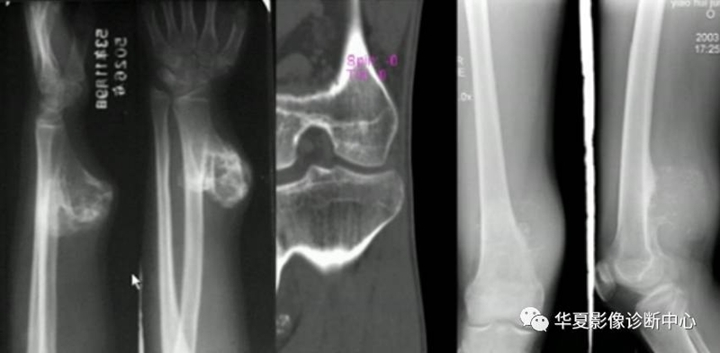
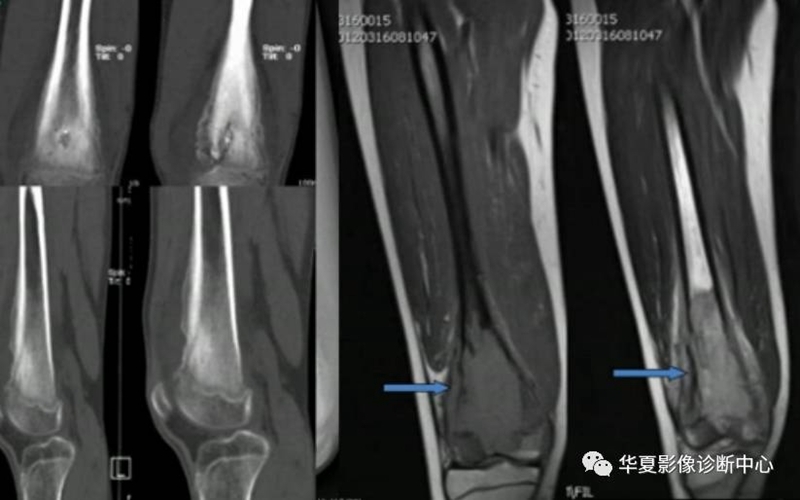
6、软组织改变
良性受压推移,恶性软组织肿块。(如下图)

三、恶性是原发还是转移
这个较简单些,结合临床病史,一般不难。
四、推断肿瘤的组织学类型
主要有纤维源性、软骨源性及成骨源性肿瘤。

纤维源性肿瘤

软骨源性肿瘤

成骨源性肿瘤
总之,临床上评估骨肿瘤影像,应密切结合注意以下几个方面,即患者年龄、症状、体征及实验室检查,病灶部位及数目,骨质破坏方式,骨膜反应,软组织改变等。同时,大多数骨肿瘤为单发,如遇多发病变则鉴别诊断需加调整。

常见骨肿瘤汇总