乳腺癌是全世界女性最常见的恶性肿瘤。辅助性放疗可以增加局部区域控制,减少局部区域的复发,进而改善整体存活率。中国抗癌协会乳腺癌诊治指南与规范(2017年版)[7]指出:全乳切除术后放疗可以使腋窝淋巴结阳性的患者5年局部-区域复发率降低到原来的1/4-1/3。但是,放疗也可以诱发其他多种恶性肿瘤。近年来不断有文献报道乳腺癌放疗可诱发隆突性皮纤维肉瘤[8]、血管肉瘤[9]等软组织恶性肿瘤。
今就乳腺癌放疗诱发的骨肉瘤患者1例,并参考相关文献探讨恶性肿瘤放疗诱发骨肉瘤的病因、诊断、治疗和预后。
患者,女,44岁,于2008年05月在当地医院诊断为左侧乳腺癌,行乳腺癌改良根治术,术后行6周期化疗和放疗(具体不详)。2015年8月05日因自觉左侧锁骨有赘生物感就诊湖北省肿瘤医院,胸部CT示左锁骨转移,外院病理切片会诊示乳腺癌,ER+,PR+,Her2(+++)。

影像学图片:图a,20160919左侧锁骨切除前 胸部CT;图b,20170208左侧锁骨区穿刺前胸部CT;图c,20170318全身化疗2周期后胸部MRI
患者及家属拒绝再次化疗,予内分泌治疗(法乐通+诺雷德)和唑来磷酸抗骨转移。2016年2月29日因自觉左锁骨疼痛较前进行性加重就诊湖北省肿瘤医院,胸部CT平扫增强示“左乳癌”术后改变,较前无明显变化;左侧锁骨胸骨端病灶较前无明显变化。2016年3月8日在全麻下行左锁骨骨肿瘤切开活检术,术后病检示骨软骨瘤。2016年10月19日在全麻下行左锁骨切除术,术后病理示骨增生性改变,结合病史考虑放疗后骨增生改变。
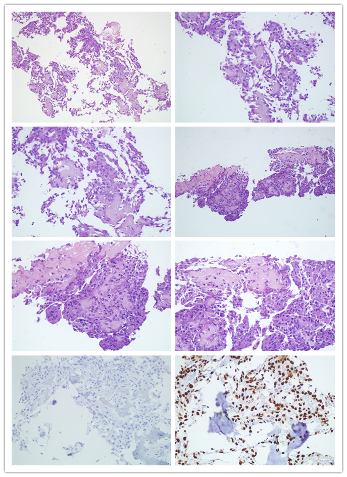
2017年1月27日发现左锁骨区肿物,约豌豆大小,后肿物逐渐增大。2017年2月7日在彩超下行胸壁肿物穿刺活检,病理诊断:(胸壁肿物穿刺活检)恶性肿瘤,结合免疫组化及原锁骨切除病史,考虑为骨肉瘤。

病理切片:20170207胸壁肿物穿刺活检病理考虑为骨肉瘤,PCK(-),SATB2(+)
IHC示:肿瘤细胞GATA3(-)SATB2(+) Vim(+) PCK(-) ER(-) PR(-) HER-2(-) KI-67(Li:60%)。2017年2月8日锁骨上区MRI示:1、“乳癌”术后、“左锁骨切除”术后改变,左侧术区肿块,考虑肿瘤复发,累及甲状腺左侧叶、胸骨及上纵隔;2、上段胸椎结节影,较前稍增大;3、右侧锁骨上区多发小淋巴结肿。于20170217以“IFO3.0D1-5ivgtt”方案化疗1周期,于20170316开始以“DDP40mgD1-3”方案化疗1周期,并予抑酸、止吐、保肝及对症支持治疗。
讨论:
放射治疗作为恶性肿瘤的重要治疗手段,可以治疗鼻咽癌、胸腺瘤、前列腺癌和乳腺癌等肿瘤,但同时可诱发骨肉瘤[1-4]。放疗诱发的骨肉瘤的发生率为0.01%~0.03%,占骨肉瘤总体发病率的5.5%[5]。国内外相关研究多为个案报道[2-4],鼻咽癌放疗后诱发骨肉瘤的报道相对较多[1,6],乳腺癌放疗后诱发骨肉瘤罕见。
放疗诱发肿瘤的诊断标准最初由Chan等提出,后由ARlen等修改,有以下4点:1)患者必须已经接受放射治疗;2)至少有三年的潜伏期;3)肿瘤组织学类型与原发肿瘤不同;4)肿瘤范围在放射野或邻近放射野[13-14]。本例患者因局部隐痛不适复查胸部CT发现,后表现为局部多发浸润性肿块,伴有疼痛和肿胀,肿瘤增大后出现溃疡、渗液和感染。CT表现为肿瘤骨和软组织肿块形成。患者的最终诊断依靠病理诊断。放疗诱发肉瘤的诊断比较困难,需与骨坏死、骨转移、感染和肿瘤复发等鉴别。
外科手术被认为是放疗诱发肿瘤的主要治疗方式。但由于肿瘤部位涉及重要血管神经,加上肿瘤放化疗后边界不清,使肿瘤完整切除更加困难。一项回顾性研究显示,完整切除的肿瘤的5年生存率为63%,相反切缘阳性的5年生存率仅为10%[15]。另一项研究显示,在多因素分析中,切缘与总生存无关,但对于只接受手术治疗的患者,切缘阴性有更高的1年生存率和2年生存率[1]。放疗诱发的肿瘤对放疗不敏感,且已累积大剂量放疗,再次放疗作用比较有限[1,16]。而辅助化疗被建议用于高级别肿瘤、肿瘤大小大于5cm或切缘阳性的患者[14]。
乳腺癌放疗诱发骨肉瘤的预后资料较少。Rudman Franjo等[4]报告1例乳腺癌放疗诱发骨肉瘤,术后1年出现对侧腋窝淋巴结转移。Liao Lie-Qiang等[1]回顾性分析了53760例鼻咽癌患者,47例出现放疗诱发的骨肉瘤,所有患者已经死亡,1年生存率、2年生存率和三年生存率分别为53.3%、35.6%和13.5%。
因此,乳腺癌放疗诱发的骨肉瘤罕见,诊断较为困难,根治性手术是主要治疗方式,必要时可考虑辅助放化疗,预后差。长期随访观察有助于早期发现和诊断。
参考文献
[1] Liao Lie-Qiang,Yan Hong-Hong,Mai Jun-Hao, et al. Radiation-induced osteosarcoma of the maxilla and mandible after radiotherapy for nasopharyngeal carcinoma[J]. BioMed Central, 2016, 35(1): 89.
[2] Papalas ja Wylie-JD-Vollmer-RT. Osteosarcoma after radiotherapy for prostate cancer[J]. Ann Diagn Pathol, 2011, 15(3): 194-197.
[3] Yoshihisa Kadota,Tomoki Utsumi,Masayoshi Inoue, et al. Radiation-induced osteosarcoma 17 years after mediastinal irradiation following surgical removal of thymoma[J]. General thoracic and cardiovascular surgery, 2010, 58(12): 651-653.
[4] Rudman Franjo,Stanec Sanda,Stanec Mladen, et al. Rare complication of breast cancer irradiation: postirradiation osteosarcoma [J]. Annals of Plastic Surgery, 2002, 48(3): 318-322.
[5] Salvati m Ciappetta-P-Raco-A. Osteosarcomas of the skull. Clinical remarks on 19 cases[J]. Cancer, 1993, 71(7): 2210-2216.
[6] Mian Xi,Meng-zhong Liu,Hai-xia Wang, et al. Radiation-induced sarcoma in patients with nasopharyngeal carcinoma: a single-institution study[J]. Cancer, 2010, 116(23): 5479-5486.
[7] 中国抗癌协会乳腺癌专业委员会. 中国抗癌协会乳腺癌诊治指南与规范(2017年版)[J]. 中国癌症杂志, 2017, 27(9): 695-760.
[8] Plichta JK,Hughes K. Radiation-Induced Angiosarcoma after Breast-Cancer Treatment [J]. N Engl J Med , 2017, 376(4): 367.
[9] Lin CT,Chang SC,Chen TM, et al. Postradiation Dermatofibrosarcoma Protuberans: Case Report and Literature Review [J]. Acta Chir Belg , 2016, 115(1): 87-90.
[10] Imene Chabchoub,Olfa Gharbi,Sami Remadi, et al. Postirradiation osteosarcoma of the maxilla: a case report and current review of literature[J]. Journal of oncology, 2009, 2009(-): 876138.
[11] Ramona Mayer,Christian Aigner,Heidi Stranzl, et al. Radiation-induced osteosarcoma of the chest wall [J]. Breast J , 2002, 8(5): 320-322.
[12] Sugimoto T,Yuki Y,Oizumi H, et al. Radiation induced osteosarcoma of the chest wall [J]. Nihon Kyobu Geka Gakkai Zasshi , 1996, 44 (11): 2054-2057.
[13] R Seethala-Raja,M Sturgis-Erich,Kevin Raymond-A, et al. Postirradiation osteosarcoma of the mandible with heterologous differentiation[J]. Archives of pathology & laboratory medicine, 2006, 130(3): 8-385.
[14] Juliette Thariat,Antoine Italiano,Fabrice Collin, et al. Not all sarcomas developed in irradiated tissue are necessarily radiation induced—spectrum of disease and treatment characteristics[J]. Critical reviews in oncology/hematology, 2011, 83(3): 393-406.
[15] Bodil Bjerkehagen,Sigbjørn Smeland,Lise Walberg, et al. Radiation-induced sarcoma: 25-year experience from the Norwegian Radium Hospital[J]. Acta oncologica (Stockholm, Sweden), 2008, 47(8): 82-1475.
[16] Patel Akash-J.,Rao Vikas-Y.,Fox Benjamin-D., et al. Radiation-induced osteosarcomas of the calvarium and skull base[J]. Cancer, 2011, 117(10): 2120-2126.