郭林 股骨冠状位关节外畸形的TKA

首页 >> 热点关注 >> 正文

郭林 股骨冠状位关节外畸形的TKA

来源:骨科在线 编号 : #131391#
2017-04-25
我要评论

导读:文中,来自重庆西南医院的郭林教授为大家介绍了股骨冠状位关节外畸形的TKA的相关知识,并详细阐述了关节外畸形的概念、诊断、关节内滑移截骨技术等相关内容。

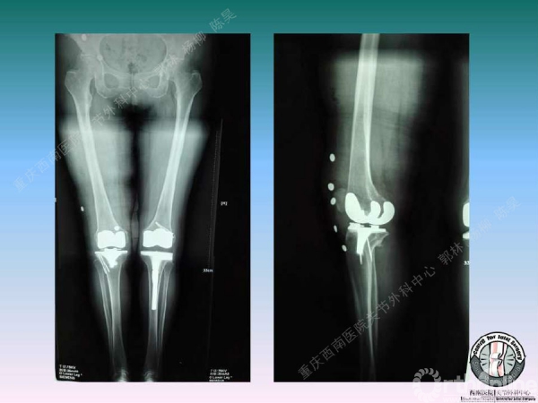
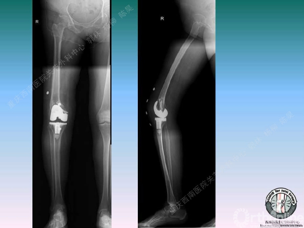
了解一下关节外畸形

关节外截骨纠正关节外畸形

关节内松解矫正关节外畸形

滑移截骨纠正关节外畸形


关节内滑移截骨的缺点和并发症


OXFORD单髁置换治疗股骨头坏死


已评论0

请您登录后再评论

返回顶部